
反复发热头痛
时而放声大哭
眼前晃悠着两个影子
精神萎靡、体重骤降
神志不清、胡言乱语
这是怎么了?
家属心急如焚
6月份,林女士跟随丈夫到增城旅游,本是享受美好旅途的时候,却反复出现头痛,时间持续了半个多月。
林女士曾在外院就诊,查头颅CT未见明显异常,治疗后头痛症状仍未缓解,有时还会因为疼痛难忍而放声大哭,偶尔看东西出现重影。

数日后林女士开始出现发热,且发热时疼痛加剧,口服止痛药仍无明显缓解,辗转多家医院就诊无果。
半个月的疼痛折磨导致林女士精神萎靡,体重下降十余斤,且开始出现神志不清、胡言乱语 !其丈夫赵先生心急如焚,近日将林女士带至南方医院增城分院就诊。
专家确诊 竟是结核性脑膜炎作怪!
根据林女士发热、头痛,且出现精神行为异常、局部神经功能受损,查体可见明显的脖子僵硬,转颈和低头困难等症状,以及腰椎穿刺术及头颅磁共振增强检查等检查结果,医院神经内科专家高度怀疑结核性脑膜炎(一类难确诊、高病死率的疾病)可能,并立即启动了抗结核治疗。
治疗期间,通过微生物宏基因组测序等多项检测,明确了林女士脑脊液中存在非洲分枝杆菌,确诊为“结核性脑膜炎”。

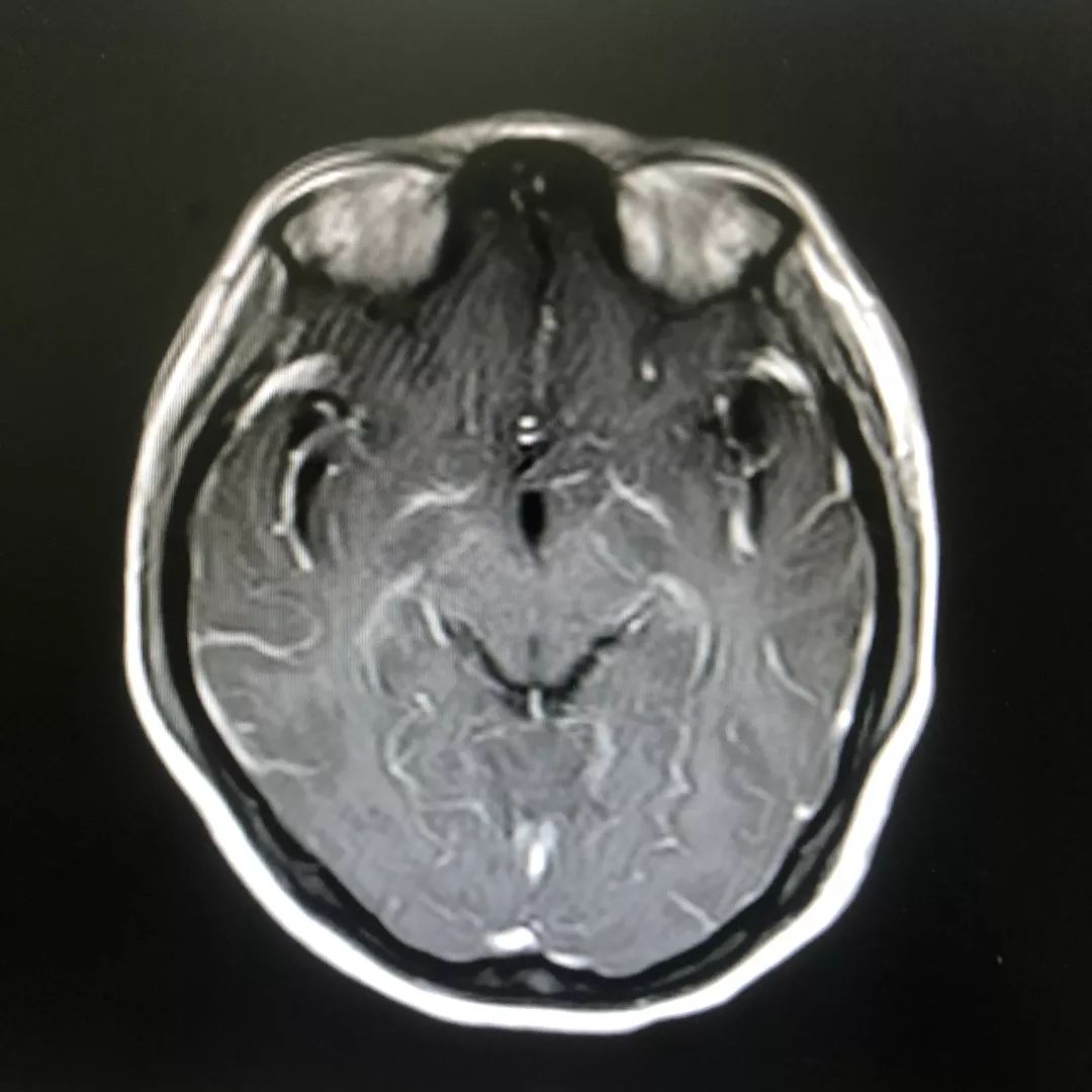
头颅增强磁共振:脑膜多发线样增强影
治疗初期林女士仍有反复低热、头痛,长时间的疾病折磨让林女士陷入抑郁,神经内科周亮主任及全体医护人员均耐心安抚患者,给予患者治疗信心。
康复出院 她笑着送上锦旗
结核治疗3周左右时,林女士的发热、头痛症状已经完全控制,脸上终于露出久违的笑容。

出院当天,激动万分的林女士和丈夫赵先生捧着一面写有“医德高尚,妙手回春”几个大字的锦旗来到医生办公室,拉着周亮主任的手,感激地说:“谢谢你们,你们是我们家的救命恩人呐!”
专家科普
结核性脑膜炎(TBM)临床表现
发病隐匿,多为慢性病程,亦可急性或亚急性起病,临床症状轻重不一,可分为结核病中毒症状和神经系统症状。
结核病中毒症状
常见不规则低热、盗汗,伴纳差、全身乏力、精神萎靡。
神经系统症状
①脑膜刺激征(多以头痛为首发症状,同时可伴恶心、呕吐);
②颅内高压症状与体征(剧烈头痛和喷射状呕吐、视神经水肿、外展神经麻痹、意识障碍等);
③脑实质损害症状(单瘫、偏瘫、交叉瘫或类似肿瘤的慢性瘫痪等症状);
④脑神经损害症状(复视、面神经麻痹、视力下降等);
⑤脊髓损害症状(尿潴留、尿*禁失**和大便秘结、*禁失**等)。
结核性脑膜炎(TBM)的治疗
TBM患者如果用药不及时,病死率极高。因此,早期和彻底治疗是争取良好预后的关键。高度怀疑TBM患者应尽早开始抗结核药物治疗,以提高治愈率、降低病死率、减少后遗症。
今日精选
完成征拆签约!增江河边这些房屋被拆除!
穿越70载,透视增城“商圈”巨变!
70年辉煌巨变!增城制造,全球共享!
来源:南方医院增城分院
编辑:赖衍瑶
编审:陈演坛
校审:曹剑萍
增城日报全媒体出品
合作、报料联系小编微信号 :zcrb-qmt
