人与人之间的信任,可以不受时间和距离的限制,但是治病救人的道路,往往存在很多的限制,比如时间和距离、信任与理解,当可以跨越这些限制的时候,一切将变得简单且意义深远。
62岁的刘阿姨,银川人,半年前无缘无故的出现头痛症状,时有时无,休息一会头就不痛了,以为是在家照看小孙女累的。毕竟上了年纪的人,稍微有点劳累,出现头痛脑热、腰酸背痛的也很正常,刘阿姨并没有在意。之后慢慢的头痛持续时间越来越长,疼痛的程度也有所增加,吃止疼药都没办法缓解,刘阿姨这才告诉了自己的女儿。
女儿带着刘阿姨在银川当地医院检查后,核磁共振显示刘阿姨头部长了脑膜瘤,突如其来的脑膜瘤,让刘阿姨的女儿措手不及也难以置信。怕母亲知道真相后会胡思乱想,影响病情,刘阿姨的女儿选择暂时隐瞒,并未告诉母亲实情。
回到家后,刘阿姨的女儿开始四处打听治疗脑膜瘤的专家,托亲戚朋友、托同事,最终打听到了唐都医院神经外科张治国教授是治疗脑膜瘤的专家。
联系到了张治国教授,刘阿姨的女儿仿佛看到了希望,决定把实情告诉母亲,同时也告诉母亲已经帮她找到了一位经验丰富的专家。
安抚好刘阿姨后,一刻都不敢耽误,女儿带着刘阿姨直奔西安而来,跨越600多公里的距离,只为尽快见到张治国教授,只为母亲的尽快康复!
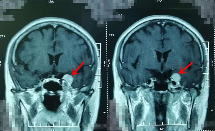
术前影像学资料


“从刘阿姨核磁检查上来看,肿瘤并不算太大,但是位置很特殊,周围多是神经与血管,这给手术增加了难度。不过你们也不要担心,这类手术在我们这里是很常规的手术,你们从银川远道而来,这是对我们最大的信任,我也得让你们放心,让刘阿姨健健康康的回家!”门诊中,张治国教授耐心细致的为刘阿姨和女儿分析着病情。
原本有些紧张的刘阿姨,听了张治国教授的话,心里也踏实了,当即就和女儿商量决定住院治疗。
完善各项术前准备后,刘阿姨被推进了手术室,张治国教授亲自为刘阿姨做手术。肿瘤基底从蝶骨嵴向海绵窦壁、岩骨生长,凭借20多年的从医经验,再加上准确精细的手术操作,张治国教授通过颞下入路手术切除肿瘤后,可以看见动眼神经、颈内动脉、小脑幕保护的很好,同时颞叶脑组织和回流静脉也完好无损,手术非常成功!
肿瘤的全切并且很好的保护了周围脑组织,为刘阿姨术后的康复提供了很好的保障。术后刘阿姨头痛症状明显缓解,目前刘阿姨已经康复出院。
临走前,刘阿姨的女儿特意来感谢张治国教授,“虽然母亲不幸患病,但是能遇到您这么优秀的医生,可以说我们也是十分幸运的!虽然相处的时间不长,但是您给予了我们很大的帮助,不仅治好了母亲的疾病,也让我们做儿女的懂得,以后应该多注意父母的身体健康,照顾他们安享晚年,非常感谢您!”
得到患者和家属的信任与认可让张治国教授深感欣慰,“治病救人,为患者服务是我们医生的职责,患者和家属的信任是对我们的肯定,患者的康复是对我们最好的褒奖!”