淄博6月23日讯 目前,高血压是发病率最高的心血管疾病,也是心血管疾病的第一杀手。2020年下半年,淄博市中心医院市中心医院老年医学科开展了继发性高血压筛查,截至目前,已确诊继发性高血压近50人,包括原发性醛固酮增多症(原醛)、肾动脉狭窄所致肾血管性高血压、睡眠呼吸暂停综合征(OSAS)、青春期高血压、体位性低血压及卧位高血压、妊娠高血压等,同时对嗜铬细胞瘤、肾纤维肌性发育不良、肾素瘤、大动脉炎、单基因遗传性高血压等继发性高血压诊治方面,通过临床实践,积累了丰富的经验。

一家两人筛出原醛 全面筛查药到病除
高血压分原发性高血压及继发性高血压两类。原发性高血压是一种无明确病因的独立疾病,需要终身吃药。而继发性高血压一旦找到病因并去除病因后高血压往往可以缓解甚至根治。

年过七旬的董女士有高血压病史2年,去年她血压升高明显,最高血压达230/120mmHg,服用多种降压药血压仍不达标,且时有头痛头晕的症状,严重影响了日常生活。病症折磨下,董女士前往淄博市中心医院老年医学科就诊,并入住高血压病房。住院期间,医生给予其高血压病因全面筛查。在正规洗脱药物情况下,科室医生发现董女士ARR(醛固酮/肾素比值)高达108.7pg/uIU,原发性醛固酮增多症(原醛)初筛试验阳性。于是立即给于她卡托普利确诊试验,结果显示患者醛固酮升高明显,不被RAS*制剂抑**抑制,原醛确诊试验阳性。同时肾上腺CT提双侧肾上腺增粗。

考虑原发性醛固酮增多症的诊断,医生立即针对性给与董女士螺内酯治疗。很快她的血压恢复了正常,临床症状缓解。目前,董女士仅口服一片螺内酯血压维持在110-120/60-80mmHg之间。此外,就诊期间董女士的女儿一直陪同其就医,了解到整个过程后,其女儿也提出自己及哥哥血压也升高且不易控制。兄妹俩均行原醛初筛试验,发现妹妹初筛试验阳性,进而确诊试验亦阳性,考虑原醛诊断,给以螺内酯治疗血压目前控制良好。哥哥初筛试验阴性,排除原醛,常规口服降压药。
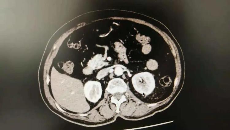
肾动脉狭窄 介入术后血压控制良好
今年75岁的孙先生患高血压多年,血压控制尚可。但近半年,他口服3种降压药血压仍达190/110mmHg左右,同时出现尿中泡沫,有头痛及腰疼等表现。入住市中心医院老年医学科高血压病房后,除常规筛查继发性高血压各项指标外,医院还给予孙先生肾、肾上腺、肾动脉CTA检查。结果,检查提示孙先生双侧肾动脉起始部管腔中重度狭窄。随后行肾核素显像评价肾功能,提示他左肾功能大致正常,右肾功能轻度受损。

结合临床,医生考虑孙先生为肾血管性高血压,转血管外科行肾动脉造影检查,提示双侧肾动脉起始部80%-90%重度狭窄,各放置支架一枚。术后当天,孙先生血压便降至124/74mmHg,术后未口服任何降压药血压维持在大致正常范围内。目前,孙先生已治愈出院。

目前,淄博市中心医院老年医学科在东、西院区设有动态血压监测室,四肢血压监测及动脉硬化度监测室。依托医院检验科进行血尿儿茶酚胺、血甲氧基肾上腺素(MNs)、血肾素、血管紧张素、醛固酮、尿醛固酮、尿游离皮质醇等特殊化验检查。依托CT室开展大量肾、肾上腺、肾动脉CTA检查,与核医学科合作开展99mTc-DTPA开博通肾核素显像等检查,在继发性高血压筛查方面已走在了全省前列。
大众日报淄博融媒体中心记者 翟咏雪 高阳 通讯员 李丽