
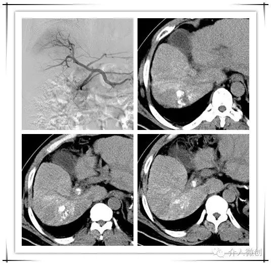
中年男性患者,诊断为原发性肝癌并门脉右支癌栓,术前甲胎蛋白升高(AFP:484ug/ml)。先予以行肝动脉化疗栓塞术(TACE),术后复查CT提示肝内病灶部分碘油沉积,门脉右支癌栓亦可见碘油沉积。


术前术后影像对比
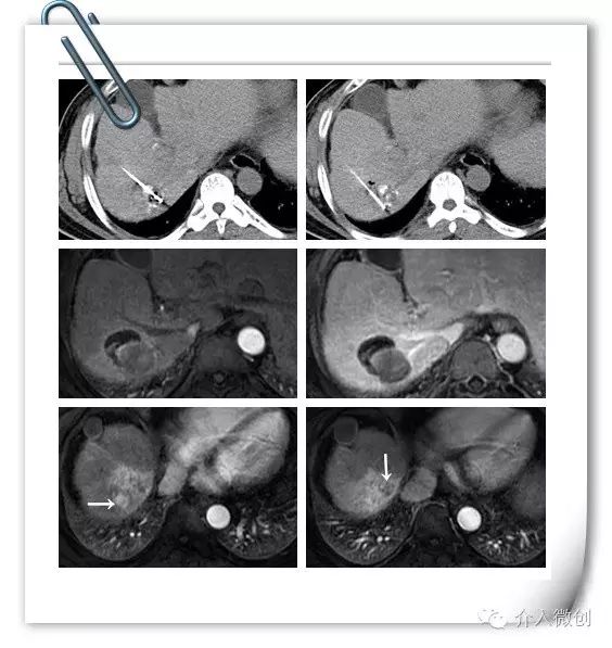
针对病灶碘油沉积欠缺情况,予以行CT引导下射频消融,治疗后病灶中心出现气化。

射频消融治疗
射频消融后1个月复查MRI提示病灶完全消融,边缘可见胆汁瘤,患者无发热、黄疸等不适。但近膈顶部可见2个小结节新发病灶,甲胎蛋白(AFP:244ug/ml)亦未明显下降。

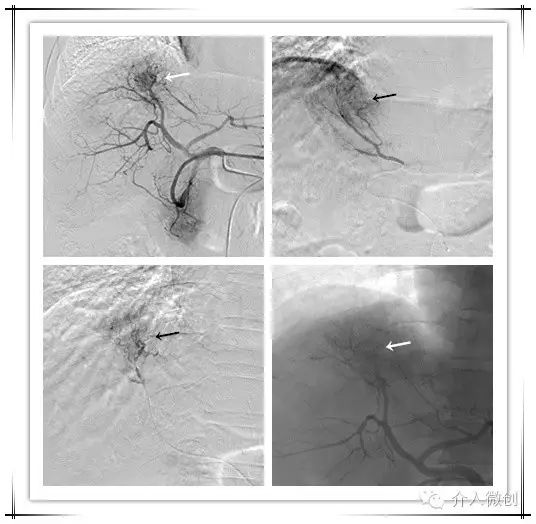
针对新情况,为该患者制定治疗计划:肝动脉化疗栓塞术+射频消融术控制肝内新发瘤灶,并联合碘125放射性粒子植入控制门脉右支癌栓。

DSA造影显示右肝膈顶可见新发病灶肿瘤染色
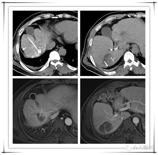
CT引导下肝癌射频消融术+门脉癌栓放射性粒子植入术,术后2周复查肝脏MRI提示肝内病灶得到有效控制,甲胎蛋白(AFP:14 ug/ml)亦明显下降,术后1个月甲胎蛋白已降至正常范围(AFP:3.9 ug/ml)

射频消融+放射性粒子植入
