



在日常接诊中,经常遇到这样的情况: 外伤导致牙齿的部分 折断 、 脱位 。碰到这种情况,我们 如何正确的“ 自救 ” ,关乎着天然牙的预后, 影响着我们的美观、发音、咀嚼功能 。

理论知识科普
牙外伤: 是指牙齿受到急剧创伤(特别是打击或者撞击)而引起的牙体、牙髓和牙周组织损伤,牙齿受到外力猛烈碰撞或者突然咬坚硬的食物时,会发生震荡、折断、脱落等情况,有些牙齿会完全脱位甚至会掉出来。
牙外伤分为:齿震荡、牙齿折断、牙齿移位和全牙脱位。
1、牙震荡: 是指牙齿受到外力作用后没有明显变化,只是有轻微酸痛感,伴有叩击痛,可能对冷刺激有一过性敏感症状,是最轻的一类牙外伤。
2、牙齿折断(牙折): 是指牙齿硬组织折断,包括牙冠折断、牙根折断、冠根折断。
3、牙齿移位: 是指牙齿位置移动,包括嵌入性脱位(牙齿受到垂直力挤压变短)、脱出性脱位(牙齿受到外力影响变长)和侧向脱位(牙齿受到外力作用向里或向外移位)。
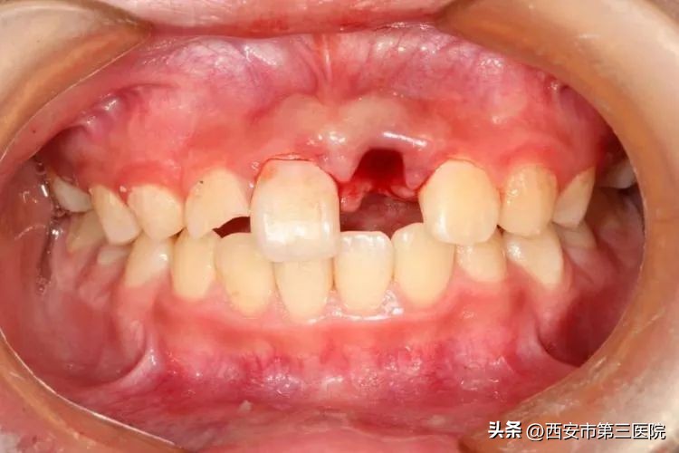
4、全牙脱位: 是指牙齿从牙槽窝当中完全脱离,掉落到口腔或者外界环境当中,是最严重的一类牙外伤。

自救科普
乳牙完全脱位一般不需复位,只需消毒压迫就可以。
恒牙完全脱位时紧急处理非常关键,因为关系到牙齿再植能否成功。
一、自救方法:
1.部分牙齿折断: 立即找到折断部分牙齿,及时就医,方便医师根据具体情况行“断牙再接”,或是“树脂充填”“贴面”等恢复缺损部分,改善前牙的美观。
2.完全脱位牙齿: 立即找到脱位牙齿,复位至牙槽窝内或保存在存储液中,及时就医。

二、存储介质:
唾液;牛奶;其他植物提取液:椰汁,绿茶提取物;生理盐水;纯净水;HBSS(Hank,s平衡液:一般用于配制细胞培养过程中的培养基或者清洗细胞,较难获得)。




存储介质根据获得难易程度及储存效果: 牛奶〉唾液〉生理盐水〉水(水为撕脱牙最差的保存介质)。
三、及时、按时复诊的必要性:
1. 乳牙脱位后一般不做再植处理。
2. 恒牙脱位后再植的最佳时间为牙齿脱位后 0.5小时,一定是保存在存储介质中,干燥保存显著降低脱位牙的再植成功率。有文献报道牙齿脱位后〉1小时,牙齿再植的成功率显著降低。
3. 牙齿再植后的定期复查: 牙齿再植后2周、4周、1月、3月、6月、1年、3年定期复查,必要时拍射牙片,医生根据临床实际情况及牙根的发育状况,做出进一步的处理。

团队概述
西安市口腔医院(西安市第三医院口腔医院) 西安市中心医院和西安市口腔医院强强联合组建而成,是集医疗、科研、教学、预防为一体的专科口腔医院,西安市卫健委所属规模最大的口腔医疗机构、西安市卫健委医学优势专科学科,陕西省口腔医学会理事单位。拥有世界一流的数字化口腔诊疗设备,秉持微创、无痛、无交叉感染、无近远期碍害的口腔诊疗理念,始终坚持高端化的技术、酒店化的环境、人性化的服务、科学化的管理、平民化的价格的建院理念,竭诚为患者提供高质量的口腔诊疗服务,为西安市民的口腔健康保驾护航。


医疗设备
科室拥有20台西诺德C8+和卡瓦E50口腔综合治疗台、Vector牙周治疗仪、西诺德激光、笑气、3shape口腔扫描仪、LeicaM320F12根管显微镜等世界先进的口腔数字化设备及卡瓦口腔CT影像系统、正畸dolphin软件、椅旁CAD/CAM全瓷修复系统等。

口腔科特色和优势
舒适温馨的儿童口腔 :针对儿童龋病及根尖周炎,儿童口腔科采用笑气及化学微创、无痛激光去腐法进行治疗,笑气可以有效的减少儿童治疗过程中产生的恐惧感,甚至可以让患儿感受到“坐在太空飞船上治疗牙齿”的特殊体验。化学微创去腐法则完全不需要打磨牙齿,是一种仅采用特殊手工工具将腐质去除的技术以及无痛激光等,这些先进医疗技术的使用使得整个疗程更为舒适,同时还能在不损害健康牙体组织的前提下,彻底去除龋坏组织,补牙效果良好。
显微镜下的根管治疗术 :传统的根管治疗多借助X线片来完成,而显微根管技术则将根管治疗推进到了一个“肉眼可视化”的新时代,它可以提供20~30倍的放大效果及良好的照明环境,同时保证视野的稳定性,使得诊疗时间明显缩短,治疗更为完善,钙化根管及其他复杂根管治疗的成功率也大大增加。
精准的数字化口腔修复技术 :镶牙前需要取模,取模使用的印模材料会使多数患者产生恶心等不适感,导致他们对治疗产生恐惧。3Shape口腔数字化扫描技术,通过扫描头捕捉牙齿信息,无需印模材料,避免了传统取模技术操作时给患者带来的不适感,而数字化的扫描数据同时又增加了模型的精确性及最终义齿的精度。
赝复体修复技术 :赝复体修复技术的开展为腭裂、癌症术后的患者带来了福音,完善了术后的腭咽循环,为患者术后恢复咀嚼功能、美观提供了保障。
无痛化舒适化微创拔牙技术 :微创拔牙技术在拔牙过程中不使用凿子和锤子,减轻患者的恐惧感,手术中使用的器械均为精细器械,操作准确,支点稳定,能很大程度减轻患者损伤。此技术还显著降低了手术中及手术后的并发症,伤口感染机率大为减小,术后疼痛减轻,创口愈合较快。数字导航系统下的种植技术:与常规的种植技术相比,数字导航系统下的种植技术实现了精准医疗、微创(甚至不切开牙龈)、快速的种植手术操作,患者当天即可佩戴临时假牙,咀嚼功能恢复和美学效果尤为突出,具有修复快、恢复好、痛苦小的优势。
全面的牙周治疗技术 :牙周科开展了牙周翻瓣手术、GBR引导骨组织再生技术、Vector无痛牙周治疗技术、EMS无痛喷砂洁牙技术,针对各个时期的牙周病均有对应的完善治疗手段,保证治疗的全面性及有效性。
正畸科采用先进的Dolphin头颅影像分析设计软件,在治疗前对患者的头颅、牙列影像及模型进行专业化、精细化分析,对临床治疗提供更加精准的依据。
文:口腔科 李秦 伊远平
图:口腔科 李秦 伊远平
编辑:宣传科 刘晓雨
审核:宣传科 宫浩翔
部分图片转自网络,版权归原作者所有
如有侵权请及时联系删除