
显微镜下的耶氏肺孢子虫
耶氏肺孢子虫通常寄生在肺泡内,成簇黏附于肺泡上皮,是耶氏肺孢子虫肺炎 (Pneumocystis jiroveci pneumonia, PJP, 但习惯上仍简称PCP) 的致病菌。由其引起的肺炎一直是HIV最常见的机会性感染,未经及时诊治病死率高达100%。而运用传统的检测方法确诊PCP,对染色镜检的技术要求较高,而基于宏基因组学的高通量基因检测新方法可作为补充确认的快速鉴定手段,帮忙临床进一步确诊PCP。
肺孢子虫肺炎死亡率高,主要见于免疫力低下的人群,如HIV感染、白血病、化疗患者。近年来,由于免疫*制剂抑**广泛、长期、大剂量应用,恶性肿瘤放化疗以及器官移植患者数量的迅速增加,本病发病率有所升高。耶氏肺孢子虫肺炎在临床上多表现为不典型性肺炎,未经及时诊治病死率高达100%。早期诊断、早期治疗是降低耶氏肺孢子虫肺炎死亡率的有效手段。
近日,一项案例向我们揭示了早期揪出“耶氏肺孢子虫”确实可以挽救生命!
1.病例回放
多方确诊急性淋巴细胞白血病患儿PCP感染
14岁男性急性淋巴细胞白血病患儿,经化疗临床缓解1年多。连续干咳、呼吸困难十余天,服用感冒用药不见缓解。入院前高热2天,行走4-5米便喘不过气,于南方医科大学深圳医院就诊。
肺部临床症状严重,但双肺查体未见异常。胸部CT显示多发斑片渗出病灶,部分融合,淋巴细胞数值一直偏低。儿科张主任和李医生一同讨论并查看患儿住院期间的病历数据,高度怀疑患儿感染罕见的耶氏肺孢子虫。
耶氏肺孢子虫肺炎缺乏特异的临床症状和体症,确诊需依赖于病原学支持,儿科医生采集患者肺泡灌洗液送至检验科微生物室。

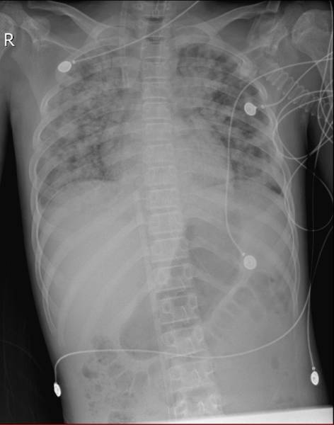
治疗前患儿胸片
检验科室采用操作复杂、技术要求较高、难度较大的六甲基四胺银染色 (GMS) 法检测肺孢子虫包囊。经过一系列繁琐紧张的工作,经验丰富的检验技术人员在显微镜下成功找到耶氏肺孢子虫包囊,并查到了包囊典型的特征性括弧样结构,为临床提供了重要的诊断依据。
同时,医院也将肺泡灌洗液样本送至华大基因做感染病原高通量基因检测,华大基因9月11日收到样本后,于13日迅速发放检测报告。应院方和患者需求,生物信息团队对测序数据进行特殊分析得到耶氏肺孢子虫碱基数/参考序列碱基为444749/8396930,覆盖度为5.30%,帮助临床确诊耶氏肺孢子虫感染。
2.诊疗历程
精心协作救命神器“人工肺”再显神通
确定治疗方向后,由于病情急剧进展,患儿于入院第三天转入ICU治疗。在呼吸机给予100%纯氧的情况下,患儿病情依然危重,床旁胸片显示患儿肺部感染十分严重。联合院内体外循环,儿科,胸外,心外科多科室专家,ICU刘主任与各位专家认为患儿具备ECMO指征。运用经皮穿刺技术为患儿应用“人工肺”,机器运转后,患儿的血氧饱和度迅速上升至97%,效果显著。
根据The Extracorporeal Life Support Organization (ELSO)官网统计资料,耶氏肺孢子虫感染者共33例接受了ECMO治疗,运用“人工肺”技术后,成功率仅为52%左右,而且运用“人工肺”技术的平均治疗天数上机时间为15天。
检索万方和知网,目前国内无耶氏肺孢子虫肺炎接受ECMO治疗的报道。重症医学科治疗及护理团队面临严峻挑战。患儿患病期间ICU团队与体外循环团队紧密合作,针对患儿的病情变化不间断的调整治疗方案,患儿在运用“人工肺”9天之后成功下机,肺部感染情况有了非常大的改善。15天后脱离危险,转回普通病房继续治疗,目前没有气促,不需氧疗,体温正常,生活能够自理,之后痊愈出院。

患儿治疗后胸片
3.医疗之路
快速准确揪出肺孢子虫造福医患
肺孢子虫肺炎死亡率高,主要见于免疫力低下的人群,如HIV感染、白血病、化疗患者。近年来,由于免疫*制剂抑**广泛、长期、大剂量应用,恶性肿瘤放化疗以及器官移植患者数量的迅速增加,本病发病率有所升高。耶氏肺孢子虫肺炎在临床上多表现为不典型性肺炎,未经及时诊治病死率高达100%。早期诊断、早期治疗是降低耶氏肺孢子虫肺炎死亡率的有效手段。本案例揭示通过加强临床检验医学工作者检验诊断技能培训,联合华大基因的基于宏基因组学的病原高通量基因检测新技术,可以帮助提高检验诊断检出率,最终造福患者。
本文由华大医学Micro-NGS感染频道提供
关注华大医学 (ID: bgidx-dyh) 公众号了解更多内容
END