近日,一中年男性患者因车祸导致左侧胫骨平台后交叉韧带止点撕脱骨折,骨折块移位,影像表现Meyers-McKeever Ⅲ型骨折。骨二科业务主任吕荼团队成功为其实施全镜下 Endo-Button 固定后交叉韧带胫骨撕脱骨折复位及微钢板内固定术。相较传统开放性手术,该技术对膝关节的组织结构损伤小,能够降低神经损伤、术后关节瘢痕粘连及功能障碍的风险,术后膝关节功能恢复较好。

后交叉韧带断裂附带胫骨止点骨折在临床上较常见,通常为强大能量损伤所致,发病率约占急性膝关节损伤的 3%~4.5%,是一种特殊损伤类型。损伤后的后交叉韧带止点撕脱骨折的骨折端向上、前方移位,骨折端常被周围软组织嵌顿,保守治疗骨折块不能复位,很容易出现骨折不愈合、畸形愈合,从而导致膝关节不稳及疼痛,继发半月板损伤、软骨损伤,远期导致膝关节骨关节炎。目前对于后交叉韧带胫骨止点撕脱骨折骨块移位的患者尚无统一的手术治疗方案,常规的治疗方案有开放性手术及关节镜下微创手术方案。最近一项涉及 637 例患者的系统资料回顾,与开放手术相比,关节镜下手术治疗患者的客观和主观膝关节预后得分更高。

针对这名患者病情,常规的开放性手术方法是通过腘窝“S”形入路或者膝后内侧倒“L”形入路等行骨折切开复位内固定手术治疗,手术创伤大,出血多,易损伤腘窝区血管、神经,需要二次手术取出内固定物,且无法同时修补膝关节内半月板及软骨损伤。
吕荼团队经过认真讨论和周密准备,采用三button技术固定复杂胫骨后叉撕脱骨折,并同期修补外侧半月板。术后影像显示患者骨折复位良好,解剖复位,术后胫骨后沉消失,抽屉试验(-),半月板位置、形态良好。
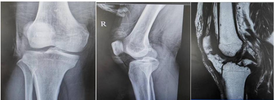
术前x线及磁共振


术后x线及磁共振


手术微创切口较小


供稿:骨二科 吕荼