随着人们生活水平的提高,越来越多人家中开始养宠。但人们科学养宠知识的贫乏和老旧仍跟不上养宠生活的普及,而在某些细节的疏忽也很容易导致以外的发生,就例如肾衰。
1 发病情况
猫比比,9月龄,雄性,免疫不全,未绝育。平时主要以猫粮、米饭、鱼肉为食,饮水较少。患猫有膀胱炎病史,就诊前3天尿频、排尿困难、尿液带血、食欲减退,有呕吐。
2检查
2.1 临床检查
体温38.6℃,体重3.45kg,心率120次/min、呼吸36次/min。可视粘膜潮红,CRT少于1s。腹围增大,触诊膀胱充盈,两侧肾脏肿大,体格消瘦。
2.2 实验室检查
2.2.1 血常规检查(CBC)
表1 血常规检查结果



3 分析诊断
从血常规结果分析,白细胞数目、中性粒细胞数目均升高,提示机体可能受到病原体侵袭,需要产生相应细胞来对抗病原体。血小板数目下降则提示机体存在出血状况,需要消耗血小板。
结合血液生化检查结果,尿素氮、肌酐均为肾脏指标,该数值的升高提升肝脏受损。
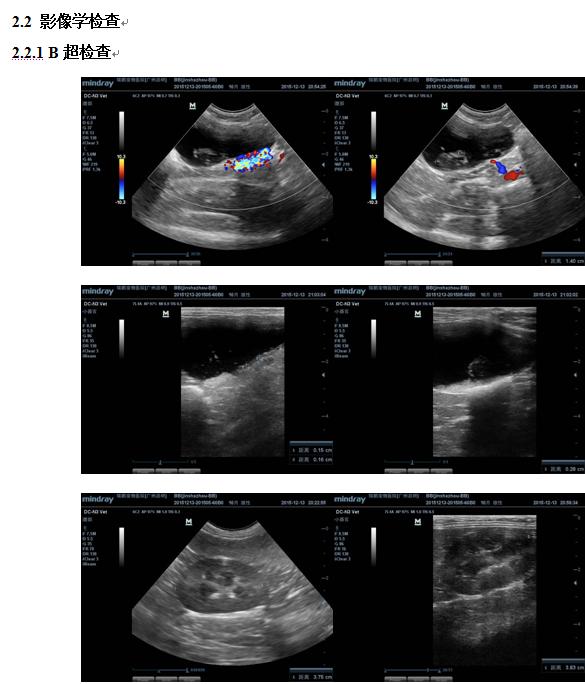
B超检查显示,膀胱充盈,部分膀胱壁不光滑,有增厚;膀胱内悬浮高回声颗粒及回声不均中低回声团块,团块回声不均,形状不规则;膀胱壁受重侧可见高回声颗粒沉积;颗粒及团块随着体位改变而移动。左右肾脏边界清晰,皮质髓质结构清晰,但形态肿大。
综上,可确诊患猫因下泌尿道堵塞引起急性肾衰竭。
4 治疗
装置导尿管,让尿液排出,同时甲硝唑冲洗膀胱,每天一次。加以消炎、利尿、止血,并大剂量进行输液,激活肾脏,饲喂猫泌尿道处方量。五天后再次复查血常规和生化指标。
治疗第1、2天,精神好转,进食少量,尿液仍有带血。
治疗第3到5天,精神可,主动进食,尿液没有带血。
治疗第6天复查血常规,生化指标如下:
表3 第六天血常规检查结果


血常规及生化指标恢复正常,取出导尿管,转服口服药,并观察排尿状况。
治疗第7到10天,排尿次数仍较多,但排尿较为通畅,精神食欲可。
第11天,宠主接走出院,定期复诊。
5.小结和体会
肾衰为犬猫的常见内科疾病之一,分为肾前性肾衰、肾性肾衰和肾后性肾衰,三种肾衰导致的原因也各不相同。如本文所述的病例算是一例典型的肾后性肾衰,因患猫下泌尿道堵塞导致尿液不能排出而积聚于体内从而向上影响肾脏。治疗时以保持尿路通畅为前提,辅以对症治疗即可。而治疗期间若加以血气检查,了解电解质是否平衡,这会对病情有更好的预判。且本文所述病例膀胱有大量高回声颗粒,疑似结晶,这跟宠主平时的饲养习惯有关。
因此本人认为,在日常养宠生活中,不能疏忽细节,才能减少以外的发生,科学养宠,防大于治,这才是给予爱宠真正的福利!
网址:http://www.rp-pet.com/rmgjcgl/1016.html