陈师傅,54岁,10天前因为气短在外院做了一个冠脉CTA,也就是心脏血管CT,提示重度狭窄。
有人建议他赶紧去医院,得放心脏支架了。

陈师傅的弟弟是我的好朋友,于是找到我。陈师傅问我:是不是一定得放支架?
我说:这个得做完心脏造影才能决定,一方面冠脉CT有时候可能会有误差;另一方面,对于一些重度狭窄的病变,有时候正好处于临界病变,单纯通过造影有时候很难判断要不要放支架,还得做一个血管内超声或FFR检查,看看到底有没有心肌缺血,才能决定要不要放心脏支架。
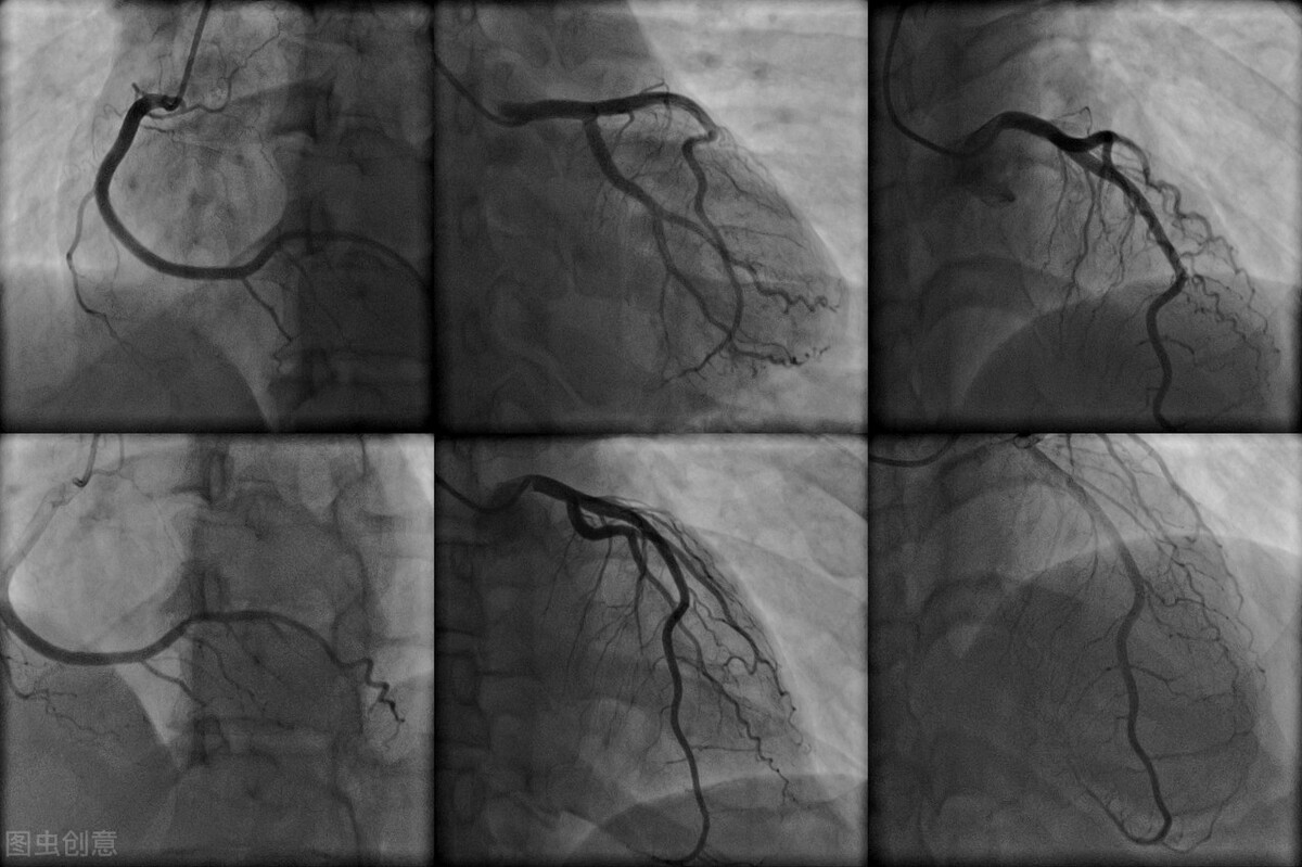
随后我们给陈师傅做了心脏造影,提示:右冠轻度斑块,左主干无狭窄,前降支可见斑块,回旋支可见75%的狭窄。
这和冠脉CTA检查的结果,基本上一样,那么75%已经属于重度狭窄,按理说应该支架治疗了。可是陈师傅并没有典型的心绞痛表现,且心电图也没有典型的心肌缺血的改变,这时候就冒然支架治疗,有点草率。

按照术前讨论结果和计划,随后我们给陈师傅做了一个血管内超声和FFR检查,最终结果显示,陈师傅的心脏血管狭窄并没有造影显示的那么严重,FFR证实陈师傅最严重的旋支血管远端并没有心肌缺血,所以我们并没有给陈师傅放支架。以后的治疗是以药物治疗和健康生活为主。
那么为什么重度狭窄不需要放支架呢?
一、心脏血管狭窄的的分级

心脏血管病变在25%-49%的狭窄,我们称之为狭窄Ⅰ级,甚至有时候我们对于小于50%的狭窄不叫狭窄,而称之为斑块。这种狭窄也不是冠心病,称之为冠状动脉粥样硬化。
心脏血管病变在50%-74%的狭窄,我们称之为狭窄Ⅱ级,或者叫中度狭窄。
心脏血管病变在75%-99%的狭窄,我们称之为狭窄Ⅲ级,或者叫重度狭窄。
心脏血管病变在100%的狭窄,我们称之为狭窄Ⅳ级,这属于完全闭塞。
二、狭窄程度和比例是怎么来的?

我们经常说冠脉造影是诊断冠心病的“金标准”,也就是诊断冠心病最准确的一种检查方法。可是即使是“金标准”,这个狭窄程度,也是我们通过X线照射,通过体内造影剂显影,投影在显示屏上。介入医生根据显示屏上的影响,结合自己的经验,通过肉眼来判断心脏血管的狭窄程度。
这种观察心血管狭窄程度的方法,一方面是肉眼本身存在一定的误差,比如张医生看是70%的狭窄,李医生看是75%的狭窄,王医生看是80%的狭窄。当然大部分情况下有经验的医生看到的狭窄程度是一样的。
另一方面造影是X线照射,并不是立体地看到血管内部,显示屏显示的血管图像也是平面的,对于血管拐弯的地方,可能就会看得不清楚,把轻度的看成重度,把重度看成轻度的。
当然,对于轻度狭窄或很严重的狭窄,一般不会有这么大误差,一般小于70%的狭窄,大家会公认是不要支架治疗,对于大于80%的狭窄大家公认需要支架治疗。
但对于70-80%的狭窄,可能误差就比较大,争议比较多,就像陈师傅这样的狭窄。
三、更准确的方法就是钻进血管里

对于这些临界病变,我们其实有更为准确的方法,那就是通过血管内超声,钻进心脏血管里面,把血管看个清清楚楚。
血管内超声,简单理解,就是在导管前端放一个微型超声,送到心脏血管狭窄的地方,进一步测量心脏血管狭窄的地方到底狭窄多少,同时通过FFR这个压力导丝,来测量这个狭窄的远端是否真的有心肌缺血。
如果狭窄远端通过FFR测量后确实存在心肌缺血,那么就需要支架治疗,如果FFR测量后没有心肌缺血,那么暂时不用支架治疗。
四、血管内超声的弊端

您肯定会问,那放支架前,大家都做一个血管内超声,都做一个FFR?
目前血管内超声检查并没有普及,大部分医院都没有这种设备,再者这个检查比较昂贵,需要好几万,所以无法人人都用。
再说了对于明显的轻度狭窄,或者明显的重度,也不需要这种检查;只有对于临界病变,且放支架证据不充分的时候才需要采用血管内超声检查。
五、没有血管内超声怎么办?

对于大部分患者,医院并没有血管内超声,那么我们应该怎么办?
这叫要求医生更加用心对待患者,不能完全依靠心脏造影结果,同时还要结合患者的症状,以及心电图的改变。
比如一个人心绞痛明确,且使用正规的冠心病药物后仍然发作心绞痛,那么就可以根据造影结果的重度狭窄给患者进行支架治疗。
比如一个人没有典型的心绞痛,就好比陈师傅,也没有明显的心电图心肌缺血改变,那么就可以暂时不放支架,先通过药物治疗,继续观察。
科普划重点:
心脏CT检查或心脏造影检查是为我们服务的,我们不能被心脏造影或CT所绑架,必须用心对待每一个患者,能不支架就不支架!
#非常病例#