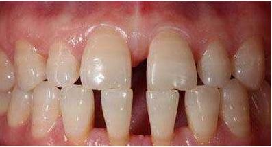
形象值百万,如果让你给自己的形象打分,你会打几分呢?外在的形象固然重要,牙齿问题同样也占据了很大一部分。牙齿稀松、牙缝大会给个人形象大大减分。
牙缝变大自古以来都没有好的说法。古人云:"牙缝大意味着守不住财",也就是说与财富不沾边,这都是没有科学依据的。但是随着科技文明的发展,科学为牙缝变大打上了不好的标签。
研究发现,牙缝变大不仅会损害牙齿健康,还加快牙齿老化速度。
牙缝问题每个人都或多或少的遇到过这类问题,只是不同类型的牙缝问题,不同的牙医都有不同的解决方法。

那牙缝变大到底从何而来呢?到底是什么原因引起的?
1、 遗传因素。有些人天生就如此,这是受父母遗传基因的影响。
2、 人为因素。很多家庭都习惯在家里配备牙签,饭后剔牙,而牙签会让我们的牙缝变得越来越大,这是牙医提倡用牙线的原因。
3、 牙齿缺失。牙齿掉了,很长时间没有新牙长出来,人走茶凉,旁边的牙齿逐渐疏远,渐渐有了隔阂缝隙。
4、 牙齿病变。智齿不正常生长,会排挤周围牙齿,因此牙齿逐渐产生缝隙。不正确的清洁方式,特别容易导致牙齿萎缩,加大牙缝。同时牙周病会导致加速牙槽骨吸收,时间久了暴露牙根,牙齿缝隙随之变大。
5、牙结石牙周炎等口腔问题,牙结石导致牙龈病变,牙齿变松,牙缝增大。

很多人对牙缝变大的事情不放在心上,认为没什么大不了的,不影响正常生活。
可是对于牙缝变大的危害又了解多少呢?
1、 影响美感。谁不喜欢一口漂亮整齐的大白牙呀?一张嘴牙齿稀稀松松,给个人形象减分,错失无数好机会。
2、 影响健康。稀松的牙齿,加重牙齿咀嚼的负担,加快牙齿老化速度。其次,食物没有经过充分的咀嚼,不易消化,加重肠胃负担。最后,牙齿无法正常咬合,面部肌肉容易产生疲劳,造成痛感。所以,长时间的牙缝过大会影响我们的身体健康。
3、 影响人际交往。牙缝大的人说话漏风,发音不准确,难以正常沟通交流。

牙缝问题一直困扰着不少人的生活,那牙医一般是怎么给大家解决的呢?
1、 烤瓷牙。一般建议成年人如果存在牙缝大问题时做,医生一般建议做烤瓷牙。成年人的牙齿状况已经基本定型,通过烤瓷牙为牙齿带上保护套,治疗周期短,是消除牙缝最好的解决办法。
2、 牙齿矫正。青少年牙齿发育还不是和健全,是做牙齿矫正的做好时期,对牙齿的损害程度也是最低的。通过矫正关闭牙齿之间的缝隙,使牙齿恢复整齐排列状态,治疗周期长。

3、 材料填充。牙齿咬合状态比较好,直接用树脂材料填充牙缝就行。这样可以减少对牙齿的损害,高效快捷的填补牙缝。
4、 贴瓷面。在一个牙齿修复体上,在尽可能少磨牙的情况下,在牙体表面用材料贴在牙齿上。这个使用周期比较长,一般可以使用15-20年,强烈推荐。

其实大部分的牙缝增大都是牙结石在作祟,牙结石导致牙龈炎症,牙周炎,才会使牙缝被“挤的”越来愈大。而网传的洗牙会让牙缝变大是不对的,本来由于牙结石挡在牙缝处,把牙缝挤大了,才导致洗牙后,牙结石洗掉了,感觉牙缝也增大了。

那到底怎样才能预防牙缝变大呢?
1、养成良好的卫生习惯。早上刷牙,配合正确的巴式刷牙方法;刷完牙后推荐使用漱口水再次清洁口腔卫生;饭后及时清理口腔卫生,扔掉牙签,改用牙线。牙线是十分必要的,因为刷牙刷的再干净,每天口腔内仍然会产生30%的牙菌斑,单单靠牙刷是无法彻底清洁的,每天配合牙线才能更好的清洁我们的牙齿。
2、定期检查牙齿。每半年做一次正规的口腔卫生检查,做好牙齿保护工作,做到早检查,早发现,早治疗,牙缝问题越早发现越好哦。一定要有牙齿保健意识,定期洗牙。牙结石过大会撑大牙缝,洗牙会洗掉牙齿的牙结石。

牙缝过大是有原因的,日常生活中要多加注意。对可能会造成牙缝过大的要尽量避免,日常清洁中学会配合使用牙线,养成定期洗牙的好习惯。牙齿是伴随我们终生的,初期不重视,晚期很容易影响全口牙,如果年轻的时候不护理,等到老的时候再想护理就晚了。

我是牙科医生黄征难,35年从业经历,如果你有任何口腔问题,可以先点击关注后在主页私信咨询,或评论留言!可以私信牙片,我来帮你免费问诊!