
球员摔伤牙后,冰岛主教练会这样说:快看看牙齿是折断还是脱位,都有救!是的,他是一名牙医。
也许您也像世界杯赛场上的球员一样喜爱在球场上驰骋,或是不小心摔倒,甚至与人发生了冲突,无论什么原因导致了牙外伤,要记得——先看看牙是折断还是脱位。牙医叮嘱:正确处理,你的门牙还有救!
折断和脱位
正确应对牙齿外伤的第一步,需要我们判断自己的牙齿损伤的程度。外力撞击可引起牙齿的折断,其中按照折断位置又可分为冠折、冠根折和根折。

A:冠折未露髓;B:冠折露髓;C:冠根折;D:根折
除了牙折之外,牙齿在突然受到外力打击之下,还有可能会出现整体的位置移动,我们称为“牙脱位”。

不完全脱位 唇向脱位

嵌入型脱位 完全性脱位
如何应对
如果您的牙齿是“折断”,尽量保留折断的牙冠,及时到医院就诊,医生会针对不同的折断程度进行恰当的处理。
如果您的牙齿是“脱位牙”,尤其是完全性脱位牙,那么就需要注意了!脱落后的30分钟是该牙预后的“黄金时间”,如果患牙30分内得到了正确的处理和良好的保护,约90%的牙齿可以避免牙根吸收并成功再植。
在处理脱落的牙齿时要注意,最重要的一点就是保护牙根表面的“肉样”组织,医学上称之为牙周膜,脱落牙表面牙周膜的多少直接决定了牙齿再植的成功率。
我们可以用干净的清水或生理盐水轻轻冲掉表面的脏物,千万不要去“搓洗”牙根或者把牙根表面的“肉样”组织都去掉。清洗时可握持牙冠部分,尽量少碰根部。

条件允许的话,我们可以将清洗过后的脱位牙放回牙槽窝内或放于牛奶、生理盐水、洁净清水的杯子里,若条件有限,我们甚至可将脱位牙置于舌下,并及时到医院就诊。
对于脱位牙,保持牙周膜的湿润尤为重要,不要用纸、纱布、棉花去包裹患牙,这些都会加速牙周膜脱水从而造成内部细胞死亡甚至诱发二次感染。
图解牙科大夫是怎样治疗的
单纯的牙冠折断,医生通过“补牙”的方式就可以恢复我们牙齿的正常外形。
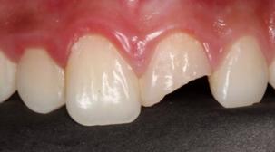
术前:

橡皮障下修复治疗中:


修复术后:

如果牙冠折断后把我们牙齿内部的“牙神经”露出来了,我们就需要先做“杀神经”(即根管治疗)治疗,之后再通过“烤瓷冠、全瓷冠”恢复牙齿的外形与功能。
术前:

根管治疗+全冠修复后:

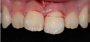
“旧冠再利用”术前牙冠大面积折断,露牙髓:

折断的牙冠:

根管治疗术前、术后:

根管治疗后牙冠重新粘接:

不像牙冠折断这样直观,牙根折断尤其是深部的牙根折断常常没有自觉症状,因此受到外伤后,我们都建议您及时到口腔科就诊,以免延误了最佳的治疗时期。
牙根折断X线片及示意图:

总而言之,面对突发情况,我们要沉着应对,不管你的教练是不是牙医,都要及时到正规医院就医,相信医生有很多方式可以“拯救”我们牙齿。
(口腔科 邱静怡)