今天接了一个案例,很有特别之处,可以与大家分享一下。
患者主诉是嘴突、露龈微笑、牙齿不齐、有缺牙。

面部检查时我们发现患者侧貌突,面部放松状态下呈开唇露齿,咬合平面向右下倾斜,中线不正。
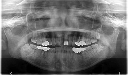
口内检查发现多颗烤瓷冠和三组烤瓷联桥(详见全景片)。

右侧磨牙关系完全远中,左侧磨牙关系中性,前牙深覆合深覆盖,下牙列拥挤。全景片示:14、24、35缺失;16,26,36,46根尖周暗影,18,28,38,48正位萌出;多生磨牙29,39,49可见。
头侧片示:上颌前突、下颌后缩、高角、上前牙轴正常、下前牙唇倾。正畸诊断:凸面型,骨性Ⅱ类高角,安氏Ⅱ1s类。

方案设计:拔除16,26,36,46,29,39,49,种植支抗钉加强支抗,拔牙间隙充分用于解除拥挤,前牙内收改善面型和露龈微笑的问题。排齐过程中纠正合平面和中线偏斜。正畸方案设计思路:充分解决健康、功能、美观的问题。由于患者牙量充足,还有第9磨牙(即智齿后面还有一颗智齿),实属罕见。1. 拔除不健康的磨牙,比如4颗根尖周病变的第一磨牙,利用存留价值更高的智齿。2. 拆除对于牙周健康影响较大的烤瓷联桥,需要保留的基牙25、34、47更换成单冠,恢复牙周健康。3. 由于3颗第9磨牙萌出间隙不足,且下颌双侧萌长方向异常,长期存留对邻牙健康影响很大、无保留价值建议拔除,消除健康隐患。4. 治疗后左侧磨牙为中性关系(I类),右侧磨牙为完全远中关系(II类)。由于47(右下7)治疗结束后需要重新更换烤瓷单冠,所以终末咬合可以根据治疗后的对合牙形态定制,虽为II类咬合,但效能也有保证。