有一种奉献,叫做坚守;有一种行动,叫做忠诚。一场疫情打乱了我们原本井然有序的生活。在这场没有硝烟的战“疫”中,出现了很多人,也发生了很多事。有的让人感动,有的让人难过,有的甚至让人惊叹……但让我们这些在医院里工作的医护人员看到更多的是爱,是希望......
18床张爷爷明天就要出院了,想起这段时间在医院接受治疗的时光,虽然病好了,张奶奶却舍不得这段时间在医院和他日夜坚守的医生护士们。对张爷爷张奶奶而言,他们不仅仅只是医生和护士,更是给了他们第二次生命的恩人,是共同进退的伙伴。张奶奶和她的子女给医护人员送来了锦旗,感谢这段时间对张爷爷的照顾,更感谢他们在特殊时期依然坚守自己的岗位,对每一个病人都认真负责,从不放弃。

张爷爷和老伴两个人疫情期间一直在上海的女儿家,四月份回武汉没几天张爷爷就发病了,而且一发病就昏迷了,真的是躲过了疫情,没躲过疾病。他跟这个老伴是二婚,虽然是二婚但是几十年了一直感情很好,对老伴、对两边的儿女都很好,所以发病后两边的儿女对他也特别尽心尽力,这个老伴自己是癌症患者,虽然不能24小时全天候陪伴在张爷爷身边,但是也是东奔西跑的找医院,疫情期间所有医院都不敢随便接收病人,张爷爷发病后又发烧,她跑了五家医院,才终于找到我们医院接收了张爷爷。不仅如此,张奶奶每天还变着戏法的为张爷爷弄各种吃的,只为了张爷爷有胃口吃东西,吃饱了才有力气对抗他们共同的敌人:病魔。
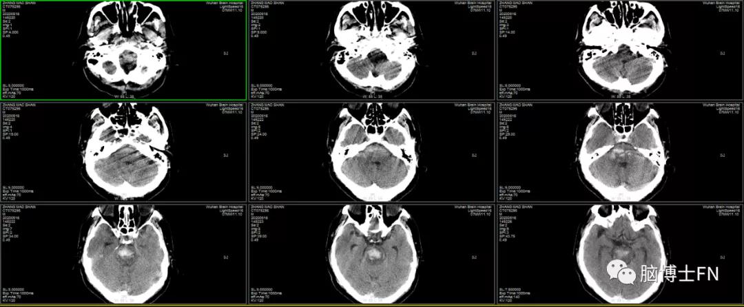
入院头部CT

由于是在疫情期间,科室严格禁止探视,张奶奶一直想要进入病房看望张爷爷,得知不能随意进出,老人家十分焦虑、担心、沮丧…科室杨护士长便走到大门口耐心的向她解释,交谈,慢慢的她能够理解,也非常感谢我们的医务人员不厌其烦的向她解释患者病情,哪怕知道今天病人的眼睛眨了一下都能高兴好半天。每每看到老人家等待的身影,我们总是很感慨,被他们这种不离不弃的真情所感动!医护最需要的是尊重和信任,患者最需要的就是希望与放心,我们相信只要有良好的、有效的沟通,大家目标一致,定能共克疾病,同享健康!
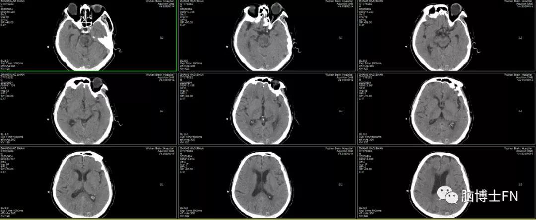
出院头部CT

知道是特殊时期,张奶奶并不给护士添麻烦,而是每天在大厅门口静静地等待着护工,等待着医生和护士告诉她患者的病情,积极配合医生护士的工作。然后她请护工拿手机拍几张张爷爷的照片给她看,每次看着看着她的眼睛里都是泪花,有想念、有期待,但更多的是不能时时刻刻陪伴在张爷爷身边的无奈。

疫情虽然拉远了张爷爷和张奶奶的距离,但是仍然阻挡不了她那颗日夜牵挂、时刻惦记的心。张爷爷意识昏迷,只能偶尔睁眼。今天张奶奶终于在病床边见到了她日思夜想的老伴,在病床边她轻轻地跟张爷爷说道:“你好了,有啥子想吃的我都给你做,你要相信,我们一定能康复,要相信医生,他们肯定能把你治好,我们就耐心的等待。”张奶奶这一声声叮咛,让在旁的人不禁红了眼,因为她话语中,有支持,有鼓励,更多的是对我们医护人员的肯定与信任。祝愿张爷爷能早日康复,也祝愿他们能白头偕老......
科室介绍

武汉脑科医院神经外科二病区常年聘请世界三大神经外科中心之一的北京天坛医院著名教授作为客座专家,由北京天坛医院轮派神经外科专家常驻,主持专家门诊,并与专家共同开展各种显微神经外科和功能神经外科手术。主要开展各种颅脑外伤、脑肿瘤、脑血管病、功能性神经外科疾病(如癫痫、帕金森病、三叉神经痛和面肌痉挛等)、脊柱脊髓疾病和小儿神经外科疾病的诊断及手术治疗。其疗效和治疗水平处于国内领先水平,得到同行的高度认可,其手术技巧、手术难度、手术成功率也达到全国先进水平行列,是武汉市卫计委“临床重点专(学)科”、湖北省卫计委“临床重点专(学)科”和中部医疗服务中心“临床重点专(学)科”。
科室目前有医生12名,护士20名,其中高级职称4名,中级职称5名。其中博士1名,硕士8名。科室目前开放床位58张(含抢救室、视频脑电图室和立体定位室)。科室拥有美国Biologic 和Nicolet 128导视频脑电系统、32导术中脑电监测系统、德国Zeppelin和瑞典Leksell立体定向仪、美国Cosman射频仪、以色列Ommega微电极记录仪和配套的手术计划系统、美国Medtronic神经导航仪,同时拥有进口的德国Zeiss88显微镜、Pentero900荧光显微镜和Leica显微镜、德国Storz脑室镜和Think脑室镜、全套德国Aesculap显微手术器械、美国Medtronic和德国Aesculap动力系统、Mayfield手术头架、日本电动手术床、多功能监测仪、多功能呼吸机、自体血液回收机等一系列神经外科手术器械和医疗设施等。患者在科室可以享受北京天坛医院的医疗技术服务。