病史
主诉:反复咳嗽3月余,加重伴胸闷1周。
患者于入院3个月前无明显诱因出现咳嗽,无发热、咳痰及咯血,未重视。本次入院因1周前出现咳嗽加重伴胸闷、咳少量白色泡沫痰及劳力性呼吸困难,爬坡上楼时症状明显,无夜间阵发性呼吸困难及端坐呼吸。
患者否认既往高血压、糖尿病病史;诉偶测血压波动在130~140/85~90 mmHg,未重视。“痛风”病史1年,未正规治疗。有高血压家族史,其父亲、祖母均患有高血压。
体格检查
脉搏125次/分,血压134/85 mmHg,身高182 cm,体重115 kg,体重指数(BMI)34.7 kg/m2。双肺呼吸音清,未闻及干湿啰音。心尖搏动位于左锁骨中间第五肋间外约1.5 cm,心浊音界向左扩大,心率125次/分,律齐,各瓣膜听诊区未闻及病理性杂音。颈静脉无怒张,肝颈静脉回流征阴性。肝脾未扪及。双下肢无明显水肿。
实验室检查
血常规
白细胞12.71×109/L(↑),中性粒细胞百分比79.4%(↑),血红蛋白、血小板正常(2015年10月8日)。
心肌损伤标志物
肌红蛋白208 μg/L(↑),B型脑钠肽前体2502 ng/L(↑),肌钙蛋白0.04 μg/L(↑),肌酸激酶同工酶正常(2015年10月8日)。
肾功电解质
尿素7.7 mmol/L(↑),肌酐122 μmol/L(↑),尿酸661 μmol/L(↑)。电解质正常(2015年10月8日)。
肝功
总蛋白64 g/L(↓),白蛋白 38g/L(↓),丙氨酸氨基转移酶198 U/L(↑),天门冬氨酸氨基转移酶114 U/L(↑),γ-谷酰转移酶94 U/L(↑),乳酸脱氢酶387 U/L(↑)(2015年10月8日)。
血脂
低密度脂蛋白胆固醇3.59 mmol/L(↑),总胆固醇、甘油三酯、高密度脂蛋白胆固醇正常(2015年10月9日)。
尿生化
尿蛋白定量未见明显异常。尿微量白蛋白/肌酐 35.9 mg/g,尿微量白蛋白24.2 mg/L(正常),内生肌酐清除率155.3 L/24h(正常)(2015年10月11日)。
其他
空腹血糖、糖化血红蛋白、甲状腺功能均未见明显异常。抗核抗体谱、抗中性粒细胞胞浆抗体、血沉、类风湿因子未见异常。
辅助检查
心电图
窦性心动过速,心率126次/分(图1)(2015年10月8日)。

动态心电图
窦性心律,总心室率155753次,最快窦性心室率142次/分,最慢64次/分,平均心室率111次/分,窦性心动过速;多源性室上性早搏总数12次;心率变异分析:时域稍低(2015年10月10日)。
动态血压
全天平均血压增高(148/97 mmHg);全天血压负荷值增高;血压昼夜节律异常,呈非勺形(2015年10月10日)。
超声心动图
左室舒张末径67 mm,左室收缩末径54 mm,左房前后径38 mm,左室短轴缩短率21%,左室射血分数41%。超声印象:提示左房、左室增大;左室肥厚;室壁搏动减弱伴左室功能减退(2015年10月10日)。
腹部彩超
脂肪肝;双肾结石;双肾静脉主干因气体干扰显示不清,双肾内动、静脉未见明显异常;双侧肾上腺区域未见明显占位;双侧颈动脉未见异常;余未见异常(图2)(2015年10月11日)。
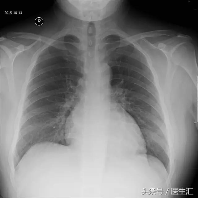
胸片
心影轻度增大(图2)(图3)(2015年10月13日)。


诊断
高血压原因待查:继发性?原发性?
高血压性心脏病
心力衰竭(心功能Ⅱ级)
阻塞性睡眠呼吸暂停低通气综合征(重度)
痛风
肾功能不全
诊疗经过
患者入院后诊断考虑心力衰竭,同时不能排除继发性高血压可能,建议进一步完善继发性高血压相关筛查,但患者拒绝。故给予呋塞米、螺内酯利尿,血管紧张素转化酶*制剂抑**贝那普利(10 mg qd)、β受体阻滞剂美托洛尔缓释片(入院时23.75 mg,后加量为47.5 mg)治疗。此外,阻塞性睡眠呼吸暂停低通气综合征有手术治疗指征,但患者暂拒绝手术治疗。
患者共住院治疗12天,出院时诉咳嗽、咳痰、活动后胸闷、呼吸困难等症状较入院时明显好转。
查体:
心率93次/分,血压135/99 mmHg;颈软,颈静脉无怒张;心率93次/分,律齐,各瓣膜听诊区未闻及杂音,心尖搏动位于左侧锁骨中线第五肋间上;腹部查体未见明显异常,肝脾未扪及;双下肢无明显水肿。复查:①肾功电解质:尿素6.1 mmol/L,肌酐113 μmol/L(↑)(较入院下降11 μmol/L),尿酸600 μmol/L(↑)(较入院下降61 μmol/L),电解质各项正常;②血常规其各项指标均未见明显异常;③肝功:总蛋白65 g/L,白蛋白38 g/L(↓),丙氨酸氨基转移酶151 U/L(↑)(较入院下降47 U/L),天门冬氨酸氨基转移酶47 U/L(↑)(较入院下降67 U/L),γ-谷酰转移酶83 U/L(↑)(较入院下降11 U/L),乳酸脱氢酶264 U/L(↑)(较入院下降123 U/L);④复查心电图:心率91次/分,提示左房扩大伴负荷过重(图4)。

出院带药情况:
呋塞米20 mg qd、螺内酯20 mg qd、美托洛尔缓释片(上午47.5 mg、下午23.75 mg )、贝那普利10 mg qd,氯化钾缓释片200 mg qd。
预后和随访:
患者出院后严格按出院医嘱用药,生活作息规律,无熬夜、夜宵等习惯,饮食清淡。运动耐量提升,运动时无明显喘累、胸闷症状。诉目前自测血压波动在 130~140/80~90 mmHg。1年后(2016年10月27日)至我院心内科门诊随访,目前体重90 kg(减重25 kg),BMI 27.1 kg/m2,血压130/90 mmHg。复查心电图提示:窦性心率不齐,心率66次/分;ST-T改变(图8);复查超声心动图见左室舒张末径缩短至53 mm,左室收缩末径缩短至36 mm,左房前后径缩短至29 mm;室间隔厚度、右房、右室大小无明显改变;左室短轴缩短率提升为32%,LVEF 56%。提示左室肥厚。(图5)

目前门诊调整药物为:美托洛尔缓释片47.5 mg qd,贝那普利20 mg qd,氨氯地平5 mg qd。