
引言
新型冠状病毒为β属冠状病毒,其传染源主要是新冠病毒感染者,且在潜伏期即具有传染性,主要的传播途径是经呼吸道飞沫和密切接触传播。新型冠状病毒在人群普遍易感,老年人及伴有严重基础疾病患者感染后重症率、病死率高于一般人群,接种疫苗后可降低重症及死亡风险。该病例的诊断过程告诉我们,60岁以上,特别是有基础病的老人感染新冠病毒后,容易发生呼吸衰竭和急性呼吸窘迫综合征(ARDS),进展为重症或危重症,所以一定要加强警惕,一定要早发现、早干预、早治疗。
咳嗽、气喘1周,新型冠状病毒抗原阳性……CT显示双肺多发炎症
患者是一名95岁的男性,患有高血压40余年、冠心病40余年、房颤30年和痛风性关节炎10年病史。曾进行乙状结肠癌根治术,术后1年有余。2023年1月初,因其无明显诱因出现咳嗽、咳痰,伴活动后气喘,夜间需高枕卧位,自测新型冠状病毒抗原阳性,遂入院就诊。
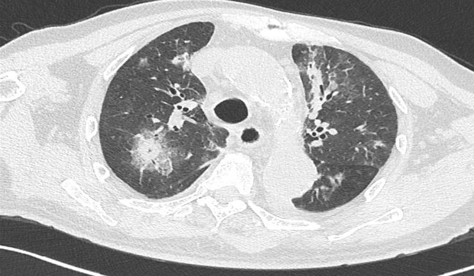
入院进行查体,双肺可闻及散在湿性啰音,未闻及明显干性啰音及胸膜摩擦音;心界无扩大,心率88次/分,心律绝对不齐,第一心音强弱不等;脐下腹正中线处可见一长约10cm陈旧性手术疤痕。 肺部CT显示双肺多发炎症 (图1)。辅助检查显示中性细胞、淋巴细胞、血小板、C反应蛋白等数据存在异常(图2)。故 初步诊断为新型冠状病毒感染(中型)、高血压病3级(极高危)、高血压性心脏病、冠状动脉粥样硬化性心脏病、心房颤动、乙状结肠癌根治术后和痛风性关节炎。

图1

图2
逐一排查,缜密研判……给予抗病毒、抗炎、抗凝等对症治疗
细菌性肺炎
多数起病较急,多有发热、畏寒、咳嗽、咳痰、胸痛等症状。发热常见,多为持续高热。咳嗽、咳痰甚多,早期为干咳,逐渐出现咳痰,痰量多少不一,痰呈脓性。少数有咯血和呼吸困难,部分有胸痛。重症患者可有嗜睡、意识障碍、惊厥等神经系统症状。血白细胞计数及中性粒细胞百分比均升高。
真菌性肺炎
多见于病情严重或免疫抑制患者,但起病缓慢,多在应用抗生素治疗中出现肺炎或加剧,可有发热、剧烈咳嗽,痰液为无色胶冻样,偶带血丝。临床症状轻而胸部X线征象严重,使用抗生素病情恶化,用抗真菌药物治疗显效。
卡氏肺囊虫性肺炎
主要发生于免疫抑制人群,患者特征为呼吸困难、发绀、干咳、发热等,胸部X线片可见双肺弥漫性间质性炎症,肺门周围炎或肺泡炎症。辅助检查可见白细胞计数正常或轻度增高,约50%的病例淋巴细胞减少,嗜酸粒细胞轻度增高,血气分析示严重低氧血症和肺泡动脉氧分压增大,肺功能测试提示进行性减退。
支原体肺炎
多发生于青少年,秋冬季节发病较多,起病急,可有发热、头痛、全身不适等,一般症状及剧烈咳嗽,咳少量黏痰。胸部X线片示肺部有形态多样的浸润影,呈节段性分布。外周血白细胞计数轻度升高。痰、鼻分泌物及咽拭子培养出肺炎支原体可确诊。
急性间质性肺炎
急性间质性肺炎是一种原因不明、起病急剧的特发性间质性肺炎。临床表现为发热、咳嗽、进行性呼吸困难、胸闷、发绀等,进而出现呼吸衰竭。本病病死率很高,无特异性治疗方案,目前临床上多予以糖皮质激素及对症支持治疗。
该患者为95岁高龄患者,高血压病3级(极高危)、高血压性心脏病、冠状动脉粥样硬化性心脏病等基础疾病较多,且存在肥胖、外周血氧饱和度95%等状况, 故根据《新型冠状病毒诊疗方案第十版》制定诊疗计划,完善相关检验检查评估病情严重程度;进行营养、心理支持;在治疗上给予“奈玛特韦片/利托那韦片组合包装”抗病毒,辅以中医辅助治疗,高流量湿化氧疗俯卧位通气,地塞米松抗炎,那曲肝素抗凝;并进行止咳、祛痰、平喘等对症处理。
病程进展,症状加重……行气管插管机械通气,继续行抗感染治疗
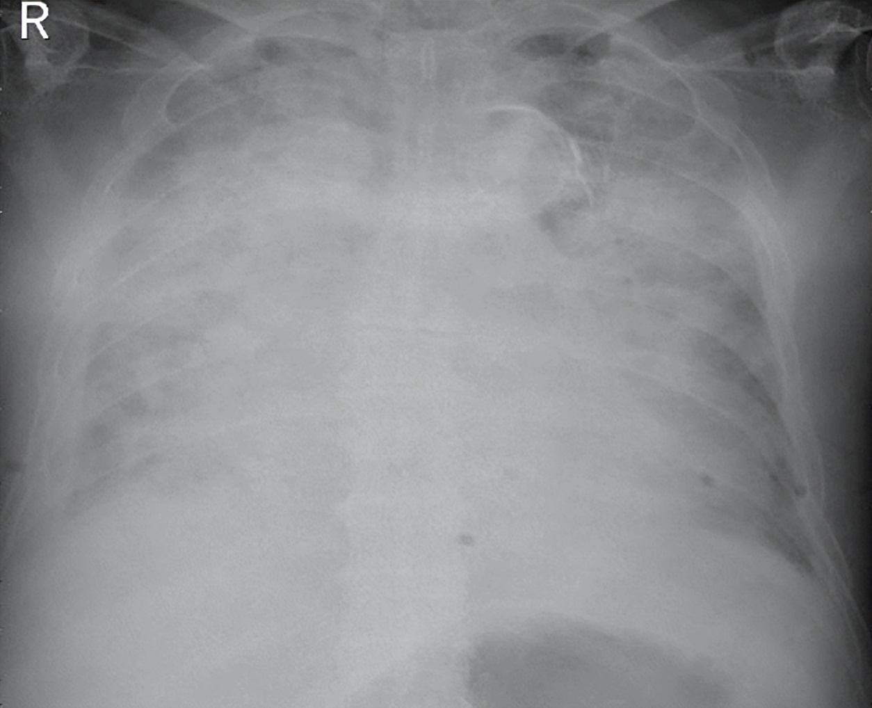
治疗期间患者疾病进展,低氧血症及呼吸窘迫症状逐渐加重,氧合指数进行性下降,肺部病灶短期进展(图3)。因氧合无法维持,患者精神状态转差,于2023年1月31日胸片检查后行气管插管机械通气(图4),继续给予特治星(哌拉西林他唑巴坦)抗感染,辅以化痰、抗心衰、保肝等治疗。

图3

图4
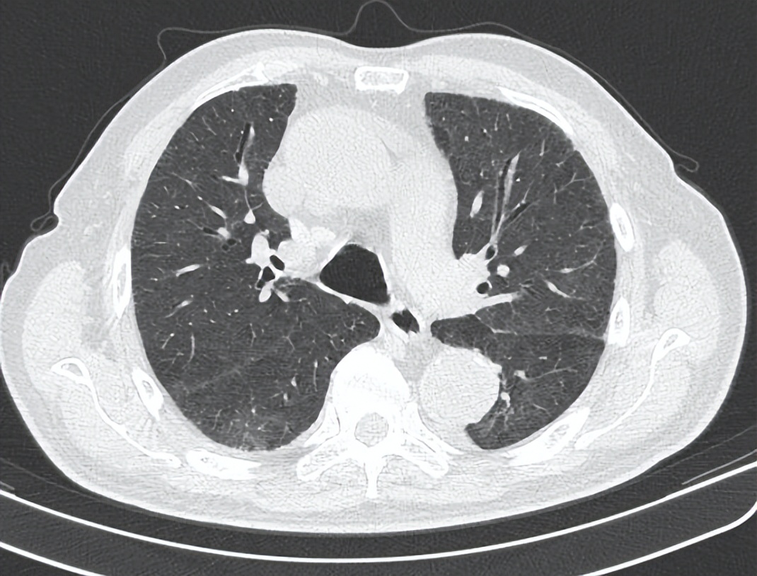
2023年2月6日,患者顺利拔除气管插管,精神状态明显改善,咳嗽、气喘减轻,复查肺部CT提示肺部病灶吸收减少,住院49天给予办理出院手续(图5、6)。

图5

图6
「新型冠状病毒抗原阳性」入院,初行抗病毒、抗炎、抗凝等对症治疗,后行气管插管机械通气……回顾病例,总结经验
这是一名实际年龄95周岁的退休老同志,也是宁德市医院抢救治疗年龄最大的新冠转阴患者。简单的病例汇报无法完整的表述出这例患者的病情复杂变化。无论是住院期间合并细菌、真菌感染,抗生素种类和治疗时机选择,还是对诊治中多次出现心衰、多器官功能障碍所做出的处理,都值得我们从中总结经验和教训,不断提升诊疗技术水平,减轻患者的痛苦。
专家简介

薛青
宁德师范学院附属宁德市医院 教授,研究生导师。现任福建省医学会呼吸病学分会常委、福建省医师协会呼吸医师分会常委、福建省预防医学会呼吸病分会常委、宁德市医学会呼吸分会主任委员、宁德市呼吸内科医疗质控中心主任等职务。
* 文章仅供医疗卫生相关从业者阅读参考
本文完
责编:Jerry