疗效接近CR,信迪利单抗治疗晚期肺鳞癌病例赏析
来源:肿瘤资讯
晚期肺鳞癌是一类相对难治性疾病,驱动基因突变发生率低,既往的主要治疗模式为化疗。免疫治疗的问世,为这类难治性患者带来新希望。以下分享1例晚期肺鳞癌接受三线信迪利单抗治疗的病例。
病例介绍
基本情况
朱某某,男性,69岁。2018年9月因咳嗽、痰中带血伴胸闷不适,检查发现右下肺占位就诊。病理经皮肺穿刺示:鳞癌。诊断为:右下肺鳞癌,临床分期T4NxM0 Ⅲ期,PS评分1分,基因状态未知。

图1. 2018年9月21日首诊CT
一线治疗
2018年10月23日行紫杉醇240mg D1+顺铂 30mg D1-D4方案化疗1周期。出现4度骨髓抑制伴粒缺性发热、胃肠道反应。同时复查胸部CT。

图2. 2018年10月31日复查(粒缺性发热)
2018年11月22日继续接受紫杉醇120mg D1 D8方案化疗1周期。再次出现4度骨髓抑制伴粒缺性发热,中止化疗。疗效评价未评价。
二线治疗
2018年12月至2月接受安罗替尼12mg/d治疗3个月;2019年3月1日复查,胸部肿块较前增大,且胸闷闭气症状加重,评价为疾病进展(PD)。

图3. 2019年3月1日胸部CT
三线治疗
在沟通疗效和价格等因素后,患者自行选择信迪利单抗。2019年4月3日、4月30日、5月21日行信迪利单抗200mg D1治疗3个周期,患者症状缓解(自诉从“躺在床上”到“早上逛菜市场”)。2019年5月24日复查胸部CT示:右肺下叶软组织肿块影范围较前明显缩小,强化不均,范围约77mm *50mm。

图4. 2019年5月24日复查
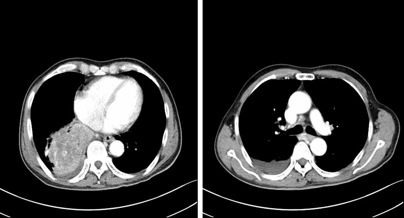
2019年6月12日、7月2日继续行信迪利单抗200mg D1治疗2周期。2019年8月14日继续随访CT,结果示右肺下叶软组织肿块影范围较前明显缩小,强化不均,范围约28mm * 20mm,邻近胸膜增厚。疗效评价为部分缓解(PR),接近完全缓解(CR)。

图5. 2019年8月24日复查
总结
老年男性,吸烟史不详。首诊右下肺鳞癌 T4NxM0 Ⅲ期,基因状态未知。一线接受紫杉醇顺铂治疗1周期、紫杉醇单药治疗1周期,两次化疗后均出现4度骨髓抑制伴粒缺性发热,疗效评价未评价。二线接受安罗替尼治疗3个月,疗效评价为PD。三线接受信迪利单抗治疗,治疗3个周期后患者症状缓解,影像学复查病灶缩小。后继续接受信迪利单抗治疗4个周期,病灶继续缩小至接近消失,疗效评价PR。目前,患者继续接受信迪利单抗治疗,疾病持续缓解中。
专家点评
患者为老年男性,吸烟状态不详,首诊右下肺鳞癌 T4NxM0 Ⅲ期,基因状态未知。从患者的临床特征来看,鳞癌EGFR突变和ALK重排的发生概率较低。依据指南推荐,患者规范接受了一线含铂双药化疗,但化疗后出现4度骨髓抑制,伴粒缺性发热,换用紫杉醇单药仍然出现粒缺性发热,患者对化疗耐受性差,且化疗后并未见明显疗效。因此,二线接受安罗替尼治疗也是可以理解的,然而,患者接受安罗替尼治疗后并未取得疗效,治疗3个月疾病进展。此时,依据临床指南,可以考虑PD-1/PD-L1单抗单药治疗。
信迪利单抗是国产PD-1单抗的代表,在价格上更具优势。机制研究显示,信迪利单抗与帕博利珠单抗和纳武利尤单抗相比,对人源PD-1受体的亲和力更高,分别高出10倍和50倍,这是其重要的特点之一。此外,临床研究也进行一步证实了信迪利单抗与同类药物相比,具有相当的疗效。目前,信迪利单抗已经在多个瘤种开展相关研究,并获批用于淋巴瘤治疗。
在晚期NSCLC中,信迪利单抗也进行了相关探索。2018年CSCO大会上报道的CIBI308A101研究评估了信迪利单抗在中国经治晚期非小细胞肺癌患者中的有效性与安全性。在37例接受了至少1剂信迪利单抗治疗的患者中,34例可评价疗效,irRECIST标准评价的ORR为17.6%,mDOR尚未达到。这一研究初步证实了信迪利单抗单药治疗在晚期NSCLC患者的疗效和安全性。上述案例中,患者前两线治疗效果非常不理想,且耐受性较差,在三线接受了信迪利单抗单药,取得PR的疗效,且耐受性可,非常难得,期待患者能够继续获益,同时也希望信迪利单抗能够为这类难治性晚期肺鳞癌患者带来长期生存的希望