我的门诊病历:腰5骶1椎间盘突出症,保守治疗。
患者男性,47岁,就诊日期:2022年2月14日。
患者因3月前左侧臀部至小腿后外侧疼痛,不适,夜间重,1月前下床困难,后缓解,现可持续行走2km。
查体:跟行,跖行,起跳,下蹲,弯腰无受限。双下肢肌力感觉正常。
自带腰椎磁共振提示腰5骶1椎间盘突出,左旁侧型,腰3-5椎间盘突出,不严重。

图1. 20220117宁夏医科大学总医院腰椎正侧位X线片

图2. 20220117宁夏医科大学总医院左髋关节正侧位X线片

图3. 20220117宁夏医科大学总医院左股骨正侧位X线片
当地医院接诊医生给患者拍左髋关节和左股骨正侧位X线片应该是为了排除左髋关节和左股骨是否存在问题。

图4. 20220118宁夏医科大学总医院腰椎MRI01,矢状面扫描提示腰3-骶1椎间盘突出,不同层面显示不一致。

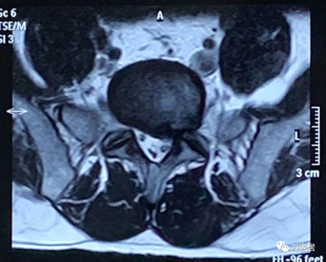
图5. 20220118宁夏医科大学总医院腰椎MRI02,横截面扫描提示腰5骶1椎间盘突出,左旁侧型。

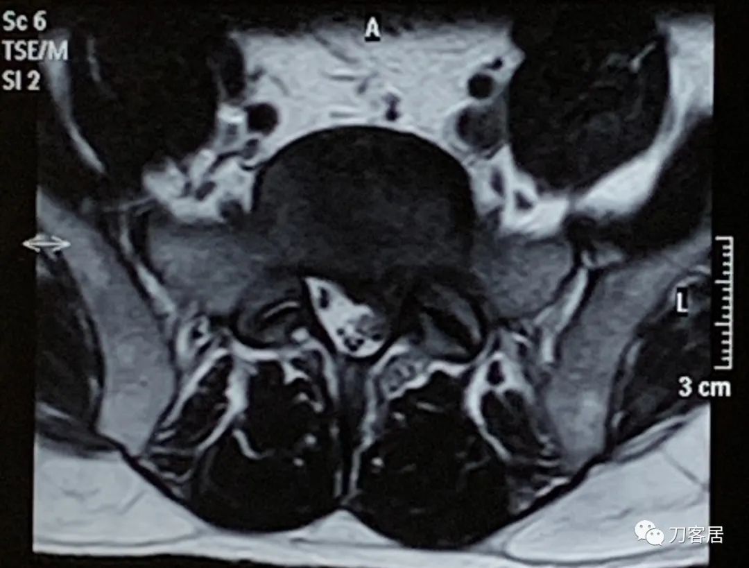
图6. 20220118宁夏医科大学总医院腰椎MRI03,横截面扫描提示腰5骶1椎间盘突出,左旁侧型。
诊断:腰5骶1椎间盘突出症(左旁侧型),腰3-5椎间盘突出。
诊疗建议:吊单杠,引体向上,保守治疗,随诊,必要时手术。
用药:迈之灵、甲钴胺。

20220214我的门诊病历