2018年6月5日中午1时许,忙碌了一上午的曹铭华主任刚准备午休,接到来自乐平市人民医院电话:有一名年仅44岁急性脑梗死患者即将转入景德镇市第一人民医院。
神经内科曹主任立即通知值班医师毛元潮,并交代该患者正处在时间窗内,有溶栓及血管内治疗的机会。
13:40患者到达我院神经内科,男性患者,44岁,体形肥胖,鼾氏呼吸,左侧肢体活动障碍并失语2小时余,入院后仍频繁呕吐,烦躁不安,病情十分危重。
毛医师经过详细询问病史,系统体格检查并及时完善溶栓前检查,于14:10分开始行静脉溶栓。
经过1小时溶栓,患者症状仍无明显好转,NIHSS评分未降低,病情无明显缓解,考虑颅内大血管狭窄或闭塞可能。毛医生立即向曹主任汇报,并通知卒中介入组江顺福主任医师等做好取栓术前准备。



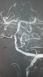
患者病情危重,烦躁不安,不能配合行头颅磁共振检查,曹主任耐心和家属进行病情沟通,建议直接行全脑血管造影术。
术中见患者基底动脉上段闭塞,典型的基底动脉尖综合征。基底动脉尖综合征是一种潜在的致命性神经系统疾病,进展极快,临床医生诊断和治疗该病面临很大挑战,其约占所有缺血性卒中的 1%-4%,死亡率更是高达75%。
术中结果不容乐观,如果基底动脉闭塞不处理,患者随时可能出现中枢性呼吸循环衰竭导致死亡。

江顺福医生
目前最适合的救治办法是短时间内取出血栓,方能恢复脑血管血供,恢复患者神经功能。
脑动脉机械取栓术听起来简单,但操作起来难度颇大。其操作方法是:股动脉穿刺置入一根细细的导管,缓慢上行至脑血管,精确定位后再次置入一个取栓导丝,释放导丝,让导丝包裹血栓,再像拔红酒瓶塞一样回收导丝,取出血栓。
手术要求的精细度极高,对操作者的技术水平、熟练程度、心理素质、团队协作等都是极大的考验。江顺福主任都是有着多年血管介入临床经验的介入专家,血管内技术炉火纯青;吴明超副主任医师则刚刚从南京学了脑动脉取栓技术回到神经内科,对脑梗塞的治疗相当娴熟。两位专家充分运用纯熟的血管介入技术,密切配合,终于顺利取出了盘居在脑动脉内的“夺命血块”。经过1个多小时的紧张手术后,成功取出栓子,患者闭塞的基底动脉开通,术后安返病房严密监测及术后的继续治疗。术后24小时患者神志转清,能回答问题,家属非常感动。
2018年该院神经内科被评为高级卒中中心,是神经内科重要发展的一年,该院神经内科团队将不断进取,为更多急性脑卒中患者赢得抢救时间,提高治愈率。”