【临床概述】
1. 胎儿心律失常包括心动过速、心动过缓和节律异常。正常胎儿心率范围120 ~160 次/min。胎心率超过160 次/min,称为心动过速;低于120 次/min,称为心动过缓。
2.快速心律失常为室上性心动过速和室性心动过速,其次为房性心动过速,后者常见房扑和房颤。持续的心动过速可引起心室充盈不足,心输出量下降,右房负荷增加,导致充血性心力衰竭和胎儿水肿。
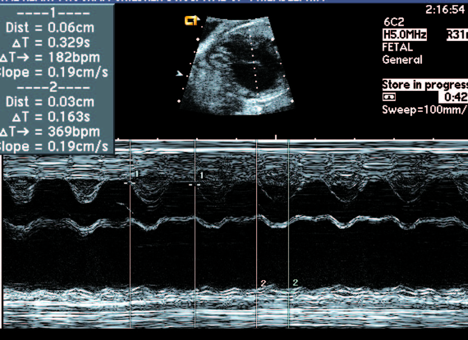
3.慢速心律失常包括完全性房室传导阻滞和窦性心动过缓,其中完全性房室传导阻滞是胎儿期严重的心律失常,可导致胎儿三尖瓣反流,加快充血性心力衰竭及胎儿水肿的发生,甚至导致胎儿死亡。
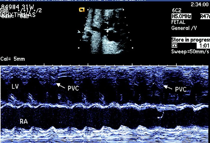
4.节律异常主要见于房性早搏和室性早搏,这两种情况多不影响血流动力学改变,往往在宫内或产后不久就消失。极少房性早搏以后转化为室上性心动过速
【超声征象】
1.快速心律失常:胎儿心率>180 次/min,持续时间>5 min,即可诊断心动过速。
①室上性心动过速:室上性心动过速通常为1:1 房室传导,心率在240 ~ 260 次/ 分。

②室性心动过速:较少见,只有心室率超过心房率,且与心房率无关联时方诊断。
③心房颤动:房颤时心房率在300 ~ 500 次/ 分,心室率可正常也可达300 次/ 分。
④心房壁搏动曲线呈规律的锯齿样运动为心房扑动,心房壁搏动曲线细小无规律为心房颤动。
2.慢速心律失常:胎儿心率< 100 次/min, 持续时间>5 min,为心动过缓。
①完全性房室传导阻滞:即心房与心室之间电生理联系完全被打断,二者的收缩节律毫无关系。常在母体有自身免疫系统疾病时发生,预后差,常早期出现胎死宫内。图中病例可见心房率143 次/ 分,心室率49 次/ 分,二者的收缩节律毫无关系。

②窦性心动过缓的心脏各结构活动均缓慢,心室活动与心房活动一致。
3.节律异常
①房性早搏:有规律的心房收缩突然出现一个过早搏动,为房性早搏。房性早搏未下传至心室时,在房性早搏的波形后方无相应的心室收缩波形;如房性早搏下传至心室,则因心室充盈不足而波幅较小。

②室性早搏:当心房节律规则,心室收缩提早出现为室性早搏,室早不影响窦房结节律,故室性早搏的波形后方出现完全性代偿间歇,由于心室充盈不足,多普勒频谱峰值低于正常。
【鉴别诊断】
一般认为胎儿的心率不恒定,其变化范围在10 ~ 15 次/min 是胎心良好的标志。如变化范围持续在25 ~ 30 次/min,可能提示脐带受压;如变化范围在5 ~ 10 次/min,常提示胎儿入睡或母体应用镇静药。
【检查技巧】
胎儿心律失常可发生在任何时期,但常见于晚孕期。目前,临床上依靠胎心监护很难做出胎儿心律失常的准确诊断。应用M 型和多普勒超声心动图能够对心律失常的种类做出鉴别。M 型超声心动图检查时取双心房切面或四腔心切面,心尖四腔心切面取得后,将M 型取样线同时穿过一侧心房和心室,获得M 型频谱后即可进行分析。
更多专业知识!请关注微信公众号“超声掌中宝”