大家好,我是武汉协和医院手外科医生陈江海。不论是在门诊的时候,还是在网络平台,经常有家长咨询孩子手足畸形的相关问题,手足畸形的种类有很多,比如说多指、并指、漂浮拇、手指发育不良等,今天这篇文章主要围绕并指畸形展开。
1、并指畸形如何分类?
2、并指畸形的病因是什么?
3、并指什么时候做手术?
4、并指手术是全麻吗?
5、并指合并其他手足畸形怎么办?
6、并指要做几次手术?
7、并指分离手术需要植皮吗?
8、并指术后瘢痕情况怎么样?
9、 并指术后出现并发症怎么办?
10、并指术后需要功能锻炼吗?

1、并指畸形如何分类?
并指畸形的发生率仅次于多指畸形,临床上根据并指涉及的组织,将其分为简单型和复杂型两类。简单型根据指蹼皮肤连接范围,分为完全性和不完全性并指。临床上,简单并指仅有皮肤或软组织发生粘连,复杂并指以骨质融合为标志。
病例1:这个孩子的左手是简单的完全性并指,右手是简单的不完全性并指,分指的时候没有取皮植皮。做完没多久来复查的时候,我发现孩子恢复得很不错,瘢痕很少,孩子妈妈对孩子手指外形和功能也很满意。

左手术前

右手术前

左手术后

右手术后
病例2:这个孩子是复杂并指,指骨融合了,而且融合的长度比较长,分指之后有大量的骨外露。在手术过程当中,我们采用了部分皮瓣进行覆盖,但还有一大部分的骨外露不能够进行比较好的覆盖,我们就用人工真皮覆盖创面,术后辅助支具治疗,最后这个孩子手指的外观和功能都很不错。





病例3也是一个复杂并指,孩子的手比较小,手指界线不清,远端指骨交叠,拇指往背侧偏移,这样的孩子要尽早手术,因为小手团在一起的时候,孩子的手指关系是异常的,对手指的发育和后期功能建立都有很大的影响。


手术后整体效果不错,我们可以看到孩子整个手指的关系非常清晰,尽管和正常的手还是有差距,拇指比较短,但看起来比较接近正常,拇指的力量、大小、灵活度都不错,复查的时候可以自己拿着水杯喝水了。



2、并指畸形的病因是什么?
并指畸形病因未明,部分与遗传有关。下图的孩子是双手的小指、环指、中指并指,孩子的爸爸也是同样的并指。像这样的并指,我们认为与遗传因素有关。

目前大家比较关心的影响因素,主要是孕期的影响:某些药物,反应停、部分镇静药、口服避孕药等;孕妇病毒性感染、外伤、放射性物质的刺激等;孕期吸烟、孕期接触农用化学物质、孕前职业接触有害物质等;孕前从事化工职业工作是胎儿并指的主要危险因素;孕妇年龄过小也是导致胎儿并指出现的危险因素;妊娠期合并糖尿病也会增加胎儿患上并指的风险。
3、并指什么时候做手术?
在上个世纪,并指手术时间宜在3岁以后至学龄前的期间内施行,原因是婴幼儿组织结构细小,不易分离,有可能使手术失败。但随着手足显微外科的发展,手术操作技术的提高,现在我们主张早期手术,可在孩子6~12个月的时候手术。
为什么有的早、有的晚呢??因为如果孩子是拇指、食指并指或者是环、小指的并指,以及有骨性连接的并指,就需早期手术分离,否则手指畸形会随年龄加大而加重,有的手指侧弯手术较晚就难以矫正。如果孩子是中、环指的并指,就可以稍微晚一点手术,因为这两根手指的长度相差不大。
并指手术做得早,出现指蹼爬移的可能性就相对偏高。因为并指手术是一个创伤,创伤就会造成瘢痕,瘢痕在孩子生长比较快的阶段也会比较快,这时候大家就会相对谨慎,放到孩子一岁以后做。
现在对于我们来说,不论孩子是哪一种类型的并指,我们都可以在孩子6个月左右的时候就做,因为采用我们的技术来做并指分指,瘢痕整体形成的比例是偏低的。当我们尽早把孩子的手指释放出来之后,孩子手指生长得就会比较好。
病例4:这是一个双手并指的孩子,两只手都是环指和小指并指,由于环指比小指长,所以被小指带偏了,像这种情况如果不早点手术分指的话,环指侧偏畸形的情况会越来越严重。当环指侧偏畸形出现之后,并不是把并指分开之后环指就恢复正常了,因为并指会造成环指关节面向尺侧偏斜,如果手术做得很晚,即便我们把环指释放出来了,环指的畸形情况仍然会很严重,因此像这种类型要尽早手术。

右手术前

左手术前
分开之后,手指的发育就不会受到影响了。这是手术后没多久拍的照片,看着还有一点瘢痕,但孩子慢慢长大,瘢痕会越来越淡。

右手术后

左手术后
4、并指手术是全麻吗?
孩子并指手术需要全麻,因为全麻比较安全,我们医生能更好地监护孩子的生命体征,另一个方面,孩子在全麻的状态下不会乱动,医生能更好地为孩子进行手术。很多家长担心全麻是否会对孩子的智力和发育造成影响,根据文献的报道和我们的经验,单次短时间的麻醉对宝宝的智力和发育不会有影响。所以家长们不用对宝宝全麻太担心,正常接受全麻就可以了。
5、并指合并其他手足畸形怎么办?
并指常与并趾、多指、短指、缺指、束带综合征、同侧胸大肌发育不良或缺如的poland综合征(波兰综合征)、Apert综合征(尖头并指综合征)等其他手足畸形同时存在。每个孩子畸形的情况不同,我们的手术次数、方案等也会有所不同。
病例5:这个孩子双手双脚都有问题,脚上的问题更大。从照片上看,似乎就是一个比较简单的多趾伴并趾,其实并不是这样,这个孩子跖骨异常的情况非常明显,要保留的踇趾这一列跖骨非常短小,明显异常,而要拿掉的踇趾跖骨情况还好,所以我们首先完成了一个“移花接木”,把要去掉的踇趾跖骨保留下来了,把保留踇趾跖骨那一部分的跖骨去掉了,通过on-top技术把踇趾整一列的跖骨和力线重建的非常好。

右脚术前

右脚术后

左脚术前

左脚术后

左手术前

左手术前

左手术后

左手术后

右手术前

右手术后
对于这个孩子来说,并指(趾)变成一个相对简单的问题,但是这个简单是因为我们现在有人工真皮诱导的技术,没有这个技术也很麻烦。如果没有人工真皮诱导技术的话,我们就要做皮瓣来减少植皮,那就需要用比较多的足背皮肤,而且由于我们要移动跖骨,所以切口就会比较大,这个切口有可能会影响到皮瓣的设计,在这个过程当中就会有一堆矛盾出现。当采用人工真皮诱导技术之后,我们很简单的就把并指(趾)问题解决了。
术后孩子情况很好,不论是外观,还是x线,都很不错。我们随访发现,孩子行走正常,穿鞋子的问题也解决了,因此这个孩子的手术效果是非常不错的。
病例6是一个并指伴短指的孩子,从术前的照片可以看出来,这个孩子食指发育的特别不好,第一指蹼没有打开。根据我们的经验判断,越早干预,孩子的手指功能和外形会越好,所以我们在早期就进行了手术。


在给这个孩子做手术的时候,最初我们有一个想法,如果孩子的手指长得不快,可能还需要做延长,但从我们的随访来看,孩子目前暂时不需要做延长了,因为手指功能不错。术后图片看起来外形还是有欠缺,但我个人的原则是以功能为主,只要功能没问题,就没必要再让孩子遭罪。



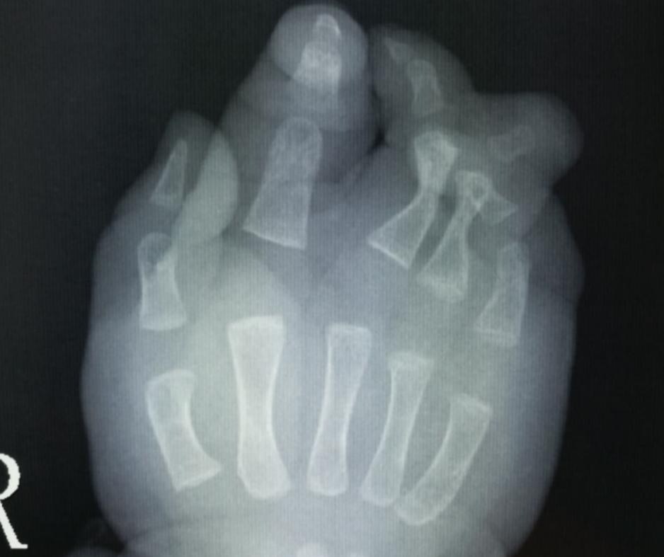
病例7:看到这样的手之后,很多人的第一反应就是怎么只有三根手指,能不能通过手术把三根手指变成五根。其实对于这个孩子的情况,还是要先把并指分开,分开之后可以考虑四根手指,因为通过对比X线片子,我们发现只有三根手指的这个手的第二根手指的指骨和掌骨都比好的那个手指的指骨和掌骨粗,这就意味着这是一个完全的复杂并指。



右手x线

左手x线


如果家长有需求,我们可以给这个孩子进行第二次分指,把三根手指变成四根,分指之后粗细有一定的保障,但是五根手指的可能性不大,哪怕从脚上移植,外观、功能和协调性可能都达不到我们想要的效果,所以四根手指可以探讨,五根意义不大。
病例8:这个孩子就是束带综合征导致的并指畸形,从图片可以看到,孩子的食指、中指和环指并在一起,这三个手指没有指甲。这样的孩子原来手指发育是没有问题的,被羊膜束带缠绕之后,手指发育就受到了影响,出现了畸形。



我们把孩子的并指分开之后,孩子手指的功能就完整了,虽然短一点,但是其他孩子可以做的事情,这个孩子也可以做。来复查的时候,我们发现孩子手的功能很好,瘢痕也很少。


病例9孩子是非常典型的波兰综合征,整个手都比较小。在对波兰综合征进行治疗的时候,我们还是一个原则:早干预!因为这个孩子不仅仅是并指,还有短指的问题,不尽早干预的话,孩子手的活动能力会受到很大的限制。




我们在比较早的时候把并指分开之后,孩子手的活动范围就变多了,孩子也愿意用这个手,这样孩子手的发育就会变好。有些家长会担心特别早的做了分指之后,会不会出现指蹼爬行的问题,这个担心是有必要的,因为确实有可能。但是,我们可以通过一些技术手段,把这个可能性降低,这样的话即可以早干预,又可以降低指蹼爬行的问题。



病例10是Apert综合征的孩子,Apert综合征又称为尖头并指综合征。对于这种类型的孩子来说,我们最重要的目标是让孩子有一个拇指,因为拇指占据了手部50%的功能,没有拇指很多事情都做不了,把拇指分出来之后,孩子就可以做捏、夹、拧瓶盖等动作。长大之后我们又给孩子分出来两根手指,这样孩子手的功能就逐渐地建立完善起来了。




6、并指要做几次手术?
关于并指的手术次数问题,我们首先要看孩子具体是什么情况,如果可以一次分完,没有什么其他影响,只需要做一次手术就可以了。当然,有些时候并指不能一次性分完。为什么?因为有的孩子并指非常复杂,如果一次性分开就会影响其中一个或者两个手指的血运。在这个时候,我们会进行准确评估,看能不能一次性分开,如果确实不能分,那就要做两次手术。
病例11波兰综合征的孩子就是一次把所有的并指都分开了,当时手术的时候我们想的就是能一次分开就一次分开,因为多次分指的话,孩子会比较痛苦,而且考虑到术后功能锻炼的问题,所以根据这个情况,我们就进行了一次分指。



手术还是很成功的,我们基本上实现了所有的目标,一是时间缩短了;二是创伤减小了;三是手背上的瘢痕很少,几乎没有太明显的瘢痕,也没有从孩子身上其他地方取皮肤。这个孩子是今年五月份刚做的手术,术后的照片是做完手术三个月左右的状态,恢复得还可以。


病例12孩子做了两次分指手术,因为他是复杂并指,多指交叠,界限不清,外表看中环指交叉,小指整体被压在中环指下,分指时如果不注意会导致两个手指血运受到影响,严重时甚至导致分指后手指坏死。面对这样的情况,不仅家长会觉得非常揪心,我们医生也感觉比较棘手。当然,解决方法肯定是有的。经过精心手术,最后的效果还不错。






7、并指分离手术需要植皮吗?
并指分离过程中在指蹼相对缘通常会出现皮肤软组织缺损,为了避免植皮,目前对于这类皮肤缺损多通过设计掌背皮瓣或者临近指背皮瓣进行覆盖。而对于一些复杂完全并指,仍有一部分缺损是无法通过皮瓣修复的,所以还是需要通过植皮才能达到手术目的。但是,植皮会导致供区瘢痕,受区皮肤的色素沉着及感觉功能下降,并且会有一定的植皮坏死风险。
为解决上述问题,我们设计了人工真皮诱导全层皮肤再生的方法,上文已经简单给大家介绍过采用这一方法的好处。有些家长会问,我们家孩子的并指非常复杂,也可以用这个方法吗?其实是可以的,因为人工真皮诱导的方法适用于所有类型的并指,对于复杂并指的治疗效果更为显著。
采用人工真皮诱导全层皮肤再生的方法,不仅避免了取皮、植皮这一流程,同时明显缩短了手术操作的时间,因此孩子麻醉的时间也减少了。通过长期的随访,我们发现通过这个方法完成的并指分指手术的手指外形和感觉都要优于植皮手术,是目前我们已知并指分指手术方式中的最佳方案之一。
病例13也是一个非常典型的波兰综合征的孩子,并指和短指特别明显,手尤其的小,所以我们在比较早的时候就给孩子进行了手术,我记得做手术的时候孩子还不到半岁。


如果采用传统的手术方式,这个孩子在分指之后需要做一些皮瓣或者是植皮来覆盖创面,但是我们在手术的时候没有采用传统的方式,而是用的零植皮技术,就是用人工真皮诱导的方案来进行创面的覆盖。手术之后,孩子手指的外形和功能都不错,家长非常满意,我们也觉得很不错。


病例14是裂手合并并指,孩子手的外形和功能很差,孩子的妈妈很难过。在分指的时候也是采用的免植皮分指方法,避免了取皮植皮,分指的部位皮肤外观正常,从而获得了良好的功能和外形。孩子恢复得不错,孩子的妈妈也很满意。

左手术前

左手术前

右手术前

左手术后

左手术后

左手术后

左手术后

左手术后

右手术后

右手术后
病例15属于比较复杂的多指伴并指,对于这样的孩子,在选择手术方式的时候需要非常慎重,不仅要考虑现有的状况,还要考虑分指之后未来的情况。在手术前,我们对孩子手指的外形、功能以及X线的检查结果进行了非常详细的研究和讨论,然后做出了一个选择:把较短的手指去掉,把较长的中指和环指分开。


当时分指的时候,我们运用了人工真皮免植皮技术,处理得比较好,孩子手指的长度、关节功能都很好,家长对手术效果很满意。前段时间来复查的时候我们发现孩子手指的功能非常不错。


前文我们已经说过,人工真皮诱导免植皮技术对于复杂并指的治疗效果非常显著,病例16就是一个完全的复杂并指,从术前的照片可以看到,这个孩子的并指有骨性连接,指端两个指甲盖连在一起。


对于这样的情况,我们把它分开之后会有一个问题,就是远端会有骨外露。骨外露的情况很难通过植皮或者是皮瓣进行解决,一是远端的皮肤量比较小,二是植皮很难植活,因为植皮只能在软组织情况比较好的时候才能植皮,在骨头上植皮是很难存活的,因此我们采用的是人工真皮诱导的方法。
通过人工真皮诱导,让周围健康的组织慢慢地向创面组织生长,取得一个比较好的愈合目的,也不需要牺牲其他的部位,不需要在肚子上取皮,也不需要在手的掌侧或者是尺侧取皮,所以一个新的手术技术出来之后,它会对手术治疗的结果有一个比较明显的改善。



8、并指术后瘢痕情况怎么样?
瘢痕在早期,半年左右的时候,颜色会相对较深,随着时间的延长,瘢痕颜色会变浅,变淡,有时候甚至会比正常皮肤颜色还要浅,这是瘢痕整体变化的过程,家长需要对此有一定的了解。极个别的瘢痕疙瘩体质患儿,则可能需要再次手术切除瘢痕,术后立即药物治疗等可干预瘢痕再次生长。
9、 并指术后出现并发症怎么办?
并指有一种情况是,手术一次性把并指分完了,但是出现了术后并发症——指蹼爬移,指蹼爬移上文提到过,那么指蹼爬移究竟是什么意思呢?其实指蹼爬移就是并指分的时候指蹼是正常的,但时间一长,手术的地方有瘢痕形成,慢慢粘连起来,最后又并起来了。如果并指术后出现了指蹼爬移,那就不得不做第二次手术。病例17的孩子就是这样,这个孩子在外院做完分指手术后,中指和环指之间形成了非常大的瘢痕疙瘩,我们又进行了二次手术。




不过家长也不要太担心,因为指蹼爬移并不是所有的并指宝宝都会出现。一般情况下,只有瘢痕体质的孩子、出现感染的孩子、或者是在手术设计中不是那么完美的一些孩子才会出现。
10、并指术后需要功能锻炼吗?
病例18是一个简单的完全并指,指蹼从上到下全部并在一起,但是没有骨头的相连,我们碰到过非常多这样的并指。对于这样的孩子,我们要关注功能锻炼的时间,因为如果不锻炼,孩子的手指就会僵,所以在愈合的过程中家长要鼓励孩子进行锻炼,不要害怕,不要因为皮肤没有长好或者是有创面就不让孩子动,我们鼓励孩子在创面稳定的情况下尽早活动。在活动的过程中如果有一些渗出,不要紧张,一般情况下,通过换药往往很快就会愈合。创口愈合了,功能也基本恢复了,这就把整体的恢复时间大大缩短了。





并指看起来可以分为几大类,但其实每一个孩子的并指都会有一些或多或少的差异存在,所以我们在进行并指分指的时候,会有一个个性化的治疗方案,这个治疗方案通常需要满足三点:一是要尽量把能够分离出来的手指都分离出来;二是尽量不要对身体的其他部位造成过多的损伤;三是尽量要让孩子获得一个有功能的手指。只要满足这三点,并指最后的治疗效果通常会比较理想。