(作者:张培新 泌尿外科学硕士,泌尿外科主任医师)
引言
钝性闭合性肾损伤在泌尿系统损伤中较为常见。放射学分期的进展,血流动力学监测的改进,血管栓塞治疗极大的改善保肾比率,也减少很多不必要的手术。大多数的肾脏钝器损伤可经非手术处理治疗。损伤所致的并发症经皮、内镜或选择性栓塞等得以有效治疗。肾脏血管栓塞介入治疗绝对指征是血流动力学不稳定,对复苏无或短暂有反应、搏动性或扩张性腹膜后血肿。
流行病学
交通事故,高处坠落,外力击打等能量的直接传递和快速减速是多数钝性闭合性肾损伤的原因。在美国,肾脏损伤中钝性闭合伤的发生率为80%~90%,穿透性损伤占10%~20%。因为肾脏的解剖位置位于腹膜后隙,下位肋骨、背部肌肉、肾周脂肪组织保护、肝脏的存在,右肾的位置低于左肾,很大的外力才可导致肾脏损伤,且大多数损伤轻微自愈。78% ~82%为低级(AAST I级– II)可保守治疗者,很少或没有后遗症。儿童肾脏创伤多为自行车事故。


损伤机制及病理
最重要的是了解肾损伤的机制。包括损伤发生时的车速,坠落时的高度等减速损伤模式都是其机制的组成部分。肾脏尤其易受减速损伤,导致的病理为:显著减速使肾脏在腹膜后固定点(如肾门) 或肾盂输尿管交界撕裂;导致肾动脉血栓形成,肾静脉破裂,肾蒂撕脱,或输尿管肾盂连接处破裂。
体检及注意事项
1.对全身系统的体格检查必须详细而彻底。对清醒病人应做详细病史询问。根据美国创伤外科协会(AAST) 指南的原则处理多发性创伤并进行快速复苏。出于钝器闭合伤的机制,在X线证实脊柱中枢没有损伤前应强制固定颈椎。
2.仔细检查腹部、胸部和背部。侧腹部或背部瘀斑,肋部压痛,肋骨骨折,肋骨明显创伤,穿透性下胸部或下腹部的损伤等体征可能有预示肾损伤。同时腹部损伤,特别是肝、肠、脾创伤也是重点关注的。单侧肋骨骨折可使肾损伤的可能增加3倍。
3.血尿:严重的加速/减速损伤,穿透性损伤的最佳指标包括肉眼和显微镜下血尿(>5个红细胞/高倍视野[RBCs/HPF])或试纸样染色阳性结果),但血尿的程度和肾损伤的严重程度不一定一致。
损伤分级
美国创伤外科协会(American Association for the Surgery of Trauma, AAST)分级系统评估肾损伤:
AAST 肾脏创伤分级

血管损伤定义为假性动脉瘤或动静脉瘘,表现为血管造影剂的局灶性集合,随着影像学检查延迟而衰减减小。血管损伤引起的活动性出血表现为血管造影剂延迟期局灶性或弥漫性,增大或衰减。血管血栓形成可导致器官梗死。
分级基于对影像学、手术或病理标本进行的分级评估。
可能存在一个以上的肾损伤等级,应按较高级别的损伤进行分类。
双侧损伤提升一个等级,最高可达三级。

影像学检查指征及影像学特点
01 影像学检查指征
1.所有怀疑肾脏穿透性创伤的患者损伤(腹部、侧腹部、同侧肋骨骨折、明显的侧腹部瘀斑或低位胸腔开放伤) 在血流动力学稳定情况性应行CT扫描(而不是直接进入手术室或血管造影室)。
2.所有钝性闭合损伤存在加速/减速机制,尤其是高速汽车交通事故中出现的减速或是从高处跌落者。
3.所有钝性创伤和肉眼血尿的患者。
4.所有钝性创伤伴有镜下血尿及低血压患者(定义为在评价病情和复苏时收缩压<90 mm Hg)
5.所有小儿尿常规RBC >5/患者。
首选的成像检查是腹部/盆腔增强CT。应包括即刻的和延迟的影像。无低血压、加速/减速损伤伴镜下血尿者无需CT检查,可临床观察。如果根据病史怀疑肾损伤,有加速或减速的损伤机制、病人随后的临床表现有恶化应行影像学检查。
02 影像学特点
1. 增强CT即刻及延迟成像是肾损伤最佳的成像方法。
2. 快速、敏感性特异性CT技术提供了明确的分期信息——肾实质撕裂可明确显示;造影剂的尿液外渗很容易检测。
3. 肠道、胰腺、肝、脾和其他器官的损伤可以明确显示。
4. 腹膜后出血的程度可根据腹膜后血肿大小而定。
5. 肾实质未见造影剂的提示有动脉血栓形成或横断。
6. 根据尿外渗,动脉活动性出血和严重肾实质/血管损伤有助于确定行手术及非手术治疗。
7. CT表现:
(1)肾血肿,提示有血管损伤;
(2)尿外渗,提示肾盂或输尿管肾盂连接处破裂;
(3)肾实质无造影剂,提示肾动脉闭塞;
(4)有两个或两个以上的以下情况时构成AAST级IV损伤:血肿直径大于3.5cm,肾脏撕裂,血管造影渗漏(提示较重的活动性出血) 这种情况多数需要手术或介入治疗。
8. 无法确定肾静脉损伤是CT的局限性所在。在动脉灌注正常,肾实质未见损伤时集合系统有造影剂及肾周血肿发现提示有肾静脉损伤。根据静脉损伤出血情况确定手术、血管栓塞、填塞止血或无需进一步治疗。
9.静脉肾盂造影因其检查耗时长、所给予的信息量少于CT,目前主要用于确定对侧肾有无及肾功能情况。
10. 超声检查常用于腹部外伤的即刻评估 ([FAST]检查) 对肾损伤的特异性较差,受肥胖、皮下积气和既往腹部手术影响。超声检查可证实有两个肾脏,可观察腹膜后及肾收集合系统形态,不能区分血肿和尿漏。

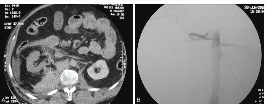
(A)CT显示右肾动脉血栓形成造影剂显示不良与右侧内侧肾和右肾外周软组织损伤比较肾动脉结构异常。(B)血管造影显示右肾动脉损伤后血栓形成。
治疗
钝性闭合性肾损伤处理流程图

01 非手术治疗
严重肾损伤(II级至V级)仅见于5%的患者。非手术治疗是对无论其机制如何的血流动力学稳定、分期良好者,大多数专家认为IV级和V级损伤常需术探查,对于高级别的损伤者经仔细选择也可行非手术治疗。
对于无腹腔其它脏器(肝、肠、脾)创伤的血流动力学稳定的钝性闭合性肾损伤患者可在临床严密观察下行保守治疗。包括支持治疗、连续临床评估和实验室监测。
非手术治疗的重度创伤者应密切观察血细胞比容和生命体征。卧床休息直到肉眼可见的血尿消退。对IV-V级肾损伤者应在48-72小时常规CT评估是否尿性囊肿形成、集合系统或肾周血肿是否增大。对于无症状或评级在I–III级者无必要CT随访复查。迟发性出血罕见,通常在损伤发生后2周左右。大多数保守治疗失败者可行输尿管支架置入或血管栓塞治愈。
02 介入栓塞
肾动脉造影栓塞术常用于肾创伤和更高级别的出血损伤,迅速阻止肾脏的明显出血,经验丰富的介入团队可在复苏同时行介入栓塞操作。超选择的介入栓塞以微创的技术高效止血的同时减少手术探查及肾切除的可能。
03 手术治疗
1.手术指证:
绝对适应症:(1)血流动力学不稳定,对于复苏无反应或暂时有反应的。(2)扩张性/搏动性的肾血肿(通常为肾动脉破损)。(3)可疑肾脏血管蒂撕脱或(4)肾盂输尿管连接处撕脱。
相对适应症:(1)明显的无血供肾实质伴尿外渗者(这种情况也可保守密切观察)。(2)肾损伤伴有结肠/胰腺损伤(结肠/胰腺损伤如肾损伤未修复,有较高的并发症发生率,在肠损伤修复后,肾损伤也可保守观察)。(3)动脉血栓形成及(4)尿液从损伤的肾实质外渗。
单纯性IV级实质性撕裂引起的尿外渗行非手术治疗是安全的,90%以上预期自发性缓解。伴有肾实质撕裂失活组织占25%以上、尿外渗或两者同时存在,并发症(如脓肿)增加,是肾脏探查的指征。
2.肾探查:肾损伤手术探查最好是经腹入路,可全面检查腹腔内脏器和肠管。左右肾探查的切口如下图所示:

肾血管及肾探查手术切口:A.在腹主动脉及肠系膜下静脉之间做切口 B.显露肾的血管 C.在降结肠外侧切开后腹膜显露左肾,在升结肠外侧切开显露右肾
肾脏探查的目的是在控制出血基础上,如果可能行肾修补,及后腹腔引流。无论肾血管的何种控制方法,当患者血液动力学不稳定,高级别肾脏创伤行开放性腹膜后探查时,肾切除术往往不可避免。
3.肾重建:原则包括完全肾脏暴露,临时性血管控制措施,清除失活组织,结扎出血的血管;尽可能的严密关闭肾集合系统,利用临近的筋膜脂肪瓣(Gerota筋膜或网膜)缝合关闭肾实质缺损,及后腹膜腔的引流。

A.显露整个肾脏 B.锐性切除失活组织 C.缝扎止血及肾集合系统的关闭 D.肾缺损的覆盖。
4.肾静脉损伤:单纯的肾静脉损伤处理方法如下:

5.肾动脉损伤:钝性肾损伤造成的肾动脉血栓形成多见于减速伤,动脉内膜下弹力纤维破裂继发血栓形成堵塞血管,表现为肾缺血。对于单侧者行动脉血管重建很难使患肾恢复功能,如果是双侧者建议迅速肾动脉重建以避免可能的透析治疗。
钝性肾血管损伤或撕裂伤临床少见,通常需手术干预。对于大多数肾血管损伤者建议行肾切除术。即使血管成形术可行的情况下,经验丰富的医师其血管重建后肾脏的成活率也仅仅是33%。
6.肾切除指征:血液动力学不稳定病人,如果损伤不能有效控制,则行全肾切除。在试图肾脏修复时患者生命受到威胁时也是肾切除的指征。 并发症
持续性尿外渗可导致尿液囊肿、肾周感染,很少见的肾功能丧失。治疗可行抗生素治疗,大部分尿渗漏可自发性消失。如尿外渗持续存在,可内置输尿管支架或经皮肾造瘘。
迟发性肾出血可发生在损伤后数周,通常在21天内发生。最初的处理是卧床休息和水化治疗。如出血持续,血管造影定位及栓塞治疗出血。
钝性肾损伤后很少发生肾周脓肿;持续性尿外渗和尿液囊肿是前置因素。输尿管支架置入或经皮肾造口术引流脓肿是其主要治疗方式,必要时行肾周切开引流。
高血压很少见于损伤后早期,但可能发生于晚期。创伤并发症高血压的基本机制是:(1)肾脏血管受损导致主干狭窄或分支动脉闭塞;(2) 血肿或尿液压迫肾实质;(3)创伤性动静脉瘘。在这种情况下,肾血管紧张素轴受部分肾缺血刺激导致高血压。
受损严重者肾功能会出现下降。
总结
1.肾损伤治疗目的是肾功能保存最大化。
2.血尿的程度和肾损伤的严重程度并不一致。
3.增强CT是评价肾损伤及损伤分级的最佳手段。
4.无休克镜下血尿患者无需影像学检查。
5.血流动力学稳定、分期良好的肾损伤者可保守治疗(即使有高级别的损伤)。
6.对于实质撕裂和节段性动脉出血者,选择性栓塞一种有效的微创止血方法。
7.可疑肾脏损伤的CT表现:(1)肾门部血肿(肾蒂血管损伤),(2)肾门部尿外渗(肾盂或肾盂输尿管连接处损伤),(3)肾实质未增强(主要肾动脉损伤),(4)动脉主干造影剂渗漏(动脉损伤伴剧烈出血)。
8.复苏中仍有血流动力学不稳定提示仍有无法控制的持续出血,立即治疗干预(手术或特定情况下的血管栓塞)。
9.尿外渗的肾损伤可通过保守治疗自发地缓解。肾盂或近端输尿管撕脱需及时干预治疗。
参考文献:(上下滑动阅读)
1.Miller KS, McAninch JW. Radiographic assessment of renal trauma: our 15-year experience. J Urol. 1995;154(2 Pt1):352–355.
2.Otsuka H, Sato T, Sakurai K, et al. Use of interventional radiology as initial hemorrhage control to improve outcomes for potentially lethal multiple blunt injuries. Injury.2018;49(2):226–229.
3.Phan QB, Mourey E, Estivalet L, et al. Reliability and reproducibility of the American Association for the Surgery of Trauma scaling for renal injury and impact on radiologic follow-up. Prog Urol. 2018;28(1):12–17
4.Sujenthiran A, Elshout PJ, Veskimae E, et al. Is nonoperative management the best first-line option for high-grade renal trauma? A systematic review. Eur Urol Focus.2019;5(2):290–300
5.Mingoli A, La Torre M, Migliori E, et al. Operative and nonoperative management for renal trauma: comparison of outcomes. A systematic review and meta-analysis. Ther Clin Risk Manag 2017; 13:1127.