63岁的吴女士不幸于两年前患上腮腺癌,国内多家著名肿瘤医院治疗无法控制病情,在没有更好的治疗方案的情况下,患者找到全球肿瘤医生网寻求帮助,全球肿瘤医生网为患者推荐了一项正在临床阶段的最新肿瘤无创治疗技术,经过A45首席专家团会诊评估后,认为患者适合接受A45治疗,患者在前往苏州大学附属肿瘤医院接受A45肿瘤动力治疗一疗程后,肿瘤原发灶大幅缩小,面部皮肤逐渐愈合,效果非常明显。

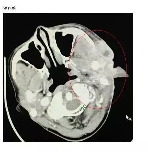
A45治疗前

A45治疗一个疗程后
吴女士的发病毫无征兆,两年前一次无意中在脸上摸到肿物,到医院检查后,被确诊为腺泡细胞癌,随即前往国内权威肿瘤医院进行手术切除患侧腮腺,并行瘤床及高危淋巴结引流区放疗30次。本以为可以逃过一劫,不料,术后半年腮腺癌就复发了,肿瘤比原来的还要大,二次手术后不到两个月,右耳前皮下再次出现肿物,并逐渐增大,右耳前皮肤开始出现水泡,后逐渐增多,多次复发的她已对治疗失去了信心,甚至想放弃治疗。家人的支持让她重拾信心,慕名找到全球肿瘤医生网,在前往苏州大学附属肿瘤医院接受治疗前的检查,发现肺部也出现转移灶,她抱着试试看的心情接受了A45肿瘤动力治疗,经过全身和局部的A45肿瘤动力治疗后,病灶缩小非常明显,皮肤逐渐愈合好转。

A45治疗前

A45治疗后
腮腺癌是一种发生在腮腺的恶性肿瘤,也是涎腺癌中发生率最高的一种恶性肿瘤,一般在体检中偶然发现,其主要症状是以耳垂为中心的下方或后方有生长缓慢的无痛性肿块,一般情况下呈结节状,表面平整或略圆,质地硬度各异,可活动,其大小一般为3-5厘米。尽管腮腺癌对放化疗比较敏感,但容易复发和转移。
区别于普通放化疗,A45治疗技术突破性的将FDA批准的医用电子加速器与光化学药物有机结合,通过光化学作用定向标记和破坏肿瘤细胞,杀灭原发和转移肿瘤,对人体正常组织细胞伤害小,几乎无毒副作用,同时激发机体产生免疫反应,大幅提升治疗效果,几乎适用于所有癌症。特别适合对化疗耐药且不能或拒绝接受放疗的癌症患者。
这项技术目前已经在苏州大学附属肿瘤医院(美国foxchase癌症中心)进行了多年临床试验,治疗了近2000例癌症患者,有效延长了患者的生存期,最新临床数据显示,接受该治疗的中晚期病人一年生存率由国际上28%提高到78%,两年生存率由7%提高到53%。与此同时,A45肿瘤技术多次亮相美国放射肿瘤年会(ASTRO),2016年《A45肿瘤治疗机理》的论文在美国第58届医学物理学会(AAPM)上发布更是引起国际医学界的轰动。美国foxchase癌症中心已于2016年安装此设备,成为美国第一家开展A45治疗技术临床验证中心,美国UC戴维斯医学中心也即将引进。
目前,全球肿瘤医生网联合苏州大学附属肿瘤医院创建A45国际远程公益会诊中心,患者可通过会诊群及视频两种最便捷模式与国际专家直接交流,让更多的癌症患者受益,详情可登陆全球肿瘤医生网或致电400-666-7998。
全球肿瘤医生网提醒广大癌症患者,虽然医学水平不断发展,治疗技术也在不断创新,但是至今为止,仍没有一种手段可以治愈肿瘤,A45治疗技术是一项比较新的治疗手段,虽然临床试验阶段取得了不错的效果,但像放化疗一样,也有不敏感,治疗无效的患者。肿瘤患者的治疗一定是依托于权威医院及权威专家的正规治疗,在采取常规治疗手段(手术、放疗、化疗)治疗后,根据自身的经济情况,辅助最新技术和最新药物治疗,采用多学科综合疗法,达到巩固治疗,预防复发,提高生活治疗,延长生存期的目的。
