作者:广州医科大学附属肿瘤医院 郑于臻医生
01 “老年人肺部长结节怎么办?”
我是一个医生,主业是看肺癌。
目前肺癌的治疗飞速发展,
除了传统的手术、放疗、化疗以外,
又涌现出了诸如靶向、免疫、抗血管等多种治疗手段。
因此,许多放以前根本无法处理的患者,
在现在经过治疗又获得了很好的效果。
但是,随着社会老龄化的开始,郑医生接诊的老年患者越来越多。
老年肺癌作为一个群体,有其特殊性。
即在有限的自然寿命进程中,罹患如此恐怖的恶性疾病。
“老年人就不应该接受积极的治疗干预,
因为其自然寿命有限,身体情况差,
因为治疗会进一步加重其身体负担,
从而加速死亡”
这种观点喧嚣尘上,
仿佛老年患者就活该被遗弃,
老年患者就不应该得到治疗
……
那么,我们这一期就聊聊这个话题,
“老年人长了肺部结节怎么办”
02 “病例分享”
照惯例从临床病例入手。
这是一位82岁高龄的男性患者,既往长期抽烟(50+年,已戒烟3年)
诸多基础疾病:
高血压、糖尿病、慢性阻塞性肺病,冠心病(自诉,无临床确切证据)
但可一气从1楼爬到5楼,脸色尚红润,思维尚清晰。
既往求诊于广东某市医院。
因听闻广医肿瘤医院的肺肿瘤外科专治肺疾病,十分专业,遂托人找到我。
入院后,详细比较既往胸片,却发现一个惊人的事实:
老爷子的病变,从2017年7月就发现了,
一直没有处理!
一直没有处理!
一直没有处理!
特加分割线,以下为长图文,预警!

上面是2017.7~2018.11反复随访复查的CT片子。
可见,2017.7就诊时就在右上肺确切的看到异常病灶了,大小为17*15mm。
2018.6复查CT,提示病灶增大,大小为45*34mm。
而到了2018.11复查CT,提示病灶进一步扩大,大小为50*34mm。
我很好奇这种对肿瘤进行放养的决议,
因为就我看来,其家庭经济还不错,子女非常孝顺,
这种决议,很不合理。
在与其进行沟通的过程中,发现原来是当地医生医生认为
“超过70岁就不必要进行积极的治疗,顺其自然是最好的结果”
于是,从2017.7开始,由着肿瘤生长,从当初最大径不足2cm,到现在最大径5cm。
那为什么这次又要过来呢?
因为老爷子出现痰中带血了……
PS:直至目前,仍无病理确诊,只不过从临床表现到影像学特点,都符合肿瘤特点
特加分割线,以下为长图文,预警!

这是纵隔窗的比较,
从中我们可以看出,早在2017.7,那个异常病灶已经有实性成分了;
在2017.7到2018.6期间,肺部病灶增大,而纵隔淋巴结并无显著差异;
2018.6到2018.11期间,伴随着肺部病灶的增大,出现了多发、多站的纵隔淋巴结肿大。
说明了什么?
说明了除了肿瘤本身在进展,纵隔淋巴结也出现转移了!
2017.7,临床分期 T1bN0M0 IA期
2018.6,临床分期 T2bN0M0 IIA期
2018.11,临床分期 T2bN2M0 IIIA期
此时,且不谈老爷子身体能否耐受手术,
即便挺过手术一关,多发多站纵隔淋巴结转移也已不是适合手术的那部分人群了。
失去手术指征。
基于此种情况,决议先行穿刺确诊,送检基因检测,将信息掌握全面后再行进一步治疗~
03 老年人的肺部结节特点

在这里,郑医生因不清楚当时的诊疗具体过程,因此不进行妄加评议。
仅就老年人这个特殊的人群,发表一些粗略的个人观点,
我个人认为,老年人肺部结节,应该有以下三个特点:
特点一:基础疾病多
在这个老年人身上,就合并了高血压、糖尿病、COPD、冠心病(疑诊)等多种疾病,
可以说,如果做了手术,那风险一定是很高的。
高血压、糖尿病导致内膜损害,容易出现血栓;
糖尿病导致机体恢复能力差,且容易出现伤口感染;
COPD,常年慢性支气管炎导致术后排痰不利,长年使用抗生素的情况下容易诱发耐药菌群,因此出现重症肺炎的可能性比较大;
如果再合并心脏基础问题,围手术期心律失常的可能性就会进一步加大,在心肺不分家的理论基础下,心脏与肺部的病变会互相促进,出现ARDS、心衰的可能性会大增。
但是,如果能有效排痰,搭配术后短期内的呼吸机辅助通气,在评估身体尚可耐受的情况下,应该还是有手术的希望。

特点二:身体情况差
大多数老年人身体情况较差,严重的走平路都喘。
但是许多老年人,单纯用功能检查指标又不足以评估其身体的具体情况。
因为,一些指标的缺陷会在长年的生活工作过程中得到适应,
比如长年慢性阻塞性肺疾病的高龄患者,尽管其通气功能受限,但身体在长期适应的过程中,衍生出了较常人的红细胞更好携氧能力,此时如心脏功能尚可,仍有手术的机会。
具体病例请参考“病例 | 重度混合型通气功能障碍患者接受肺叶切除术一例”
为了综合评定高龄患者的心肺功能,临床上往往以登楼实验进行评估。
笼统而言,一个一口气上3楼的患者,就具备肺叶切除的潜在可行性。
而这个老爷子,一口气登4楼……
PS:当然,登楼前后抽血气、查心率、测血压,以全方面地反应机体的耐受能力及反映情况,有助于更好的客观评估。

特点三:肺部情况复杂
老年人的肺部情况是十分复杂的。
一方面长年吸入的粉尘,可能诱发机体出现更多的肺部结节及肿大的纵隔淋巴结;
一方面陈旧性的肺结核,也可能出现与肿瘤难以鉴别的“厚壁空洞”样表现,且出现显著的牵拉胸膜的征象;
另一方面,许多饱受慢性支气管炎困扰的老年人,其容易诱发肺部炎症,有时也可表现为肿瘤性的征象。
……
总而言之,老年人的肺部病灶需要仔细的鉴别诊断,非专科有经验医生不可。
在这个老爷子身上,也有这么一处特殊的病灶。

2017年7月,除了右上肺结节以外,可见同期的左下肺实性病变。
这个病灶,在随后的随访中,在2018年6月及随后的复查时
消失了!
消失了!
消失了!

结合老爷子长年的肺炎发作史,我个人考虑左下肺的病灶应该就是其肺炎的一种表现形式。
04 老年人的肺部结节的诊疗思路

说完特点,我们聊聊思路。
我个人认为老年人肺部病灶诊疗思路应该具备以下几个方面:
以安全为前提,以延长生存、确保生活质量为目的,根治为附加值,
推崇无罪假设,小心求证,谨慎决策
老年人基础情况较差,治疗容错率较低,一旦有失,万劫不复。
其可以博的空间较小,因此,安全应该是第一前提。
应该在尽量延长生存时间的同时确保生活质量。
(这点尽可仁者见仁智者见智)
老年人治疗不求根治,因为其自然寿命有限,
其真正的目的并不是为治好疾病,
而是追求在剩下的生命进程中,尽可能的免受病魔的折磨。
正因如此,我个人推崇无罪假设,
若无典型征象提示必要性,则不要进行过多的有风险的干预措施。
05 关于老年人肺病的几个辟谣

谣言一:老年人肺癌发展比较慢
这一点连郑医生也曾经笃定的相信。
但是现在我不这么认为了。
因为决定肿瘤的生长速度的主要因素还是其所处的阶段及肿瘤的生物学行为。
老年患者尽管营养状况稍差,但是那么一个大活人,体内养一个几公分的瘤子,营养还是充足的吧。
老年人恶性肿瘤,充其量只能说是“一般不会发展太快”。
因为发展很快的恶性肿瘤,很多是胚胎源性,高龄患者不是好发人群。
举例说明,在本帖中,
2017.7-2018.11,肿瘤从17*15mm长到50*34mm,结合其CT具体纵轴表现,前者约3个层面,后者约8个层面,
肿瘤扩大倍数约18倍([50*34*8]/[17*15*3]),肿瘤倍增4.243次 (√18),
倍增时间4月,约120天。
这个数,基本与之前帖子那位吃中药延误治疗的老爷子相当(倍增时间,150天)
详参“中药治疗一年后,肺癌竟然……”
也基本等同于文献报道的进展期肺癌的一般生长速度(约160天)。
谣言二:70岁以上肺癌不做手术
这点无需赘述。
微创手术的开展、妥协性亚肺叶手术的普及,早就将手术指征延伸到70岁以后的高龄患者中了。
决定一个患者能否手术的,只有两个条件:
手术能否带来生存或生活质量的帮助,
患者身体能否挺过手术打击。
70岁绝非手术雷池。

谣言三:高龄患者得肺癌,治疗太痛苦也没意义
肺癌治疗日新月异,除了手术进展之外,
传统的化疗药物进展到了第三代、*四代第**,副作用进一步降低;
传统的放疗技术不断更新迭代,放疗靶区也更加精准;
此外又出现了“不用住院,门诊开药带回去吃”就可以的靶向治疗。
郑医生实在不知其治疗太痛苦也没意义的论断从何而来?

谣言四:高龄患者体检普查做胸片就可以了,做CT没必要
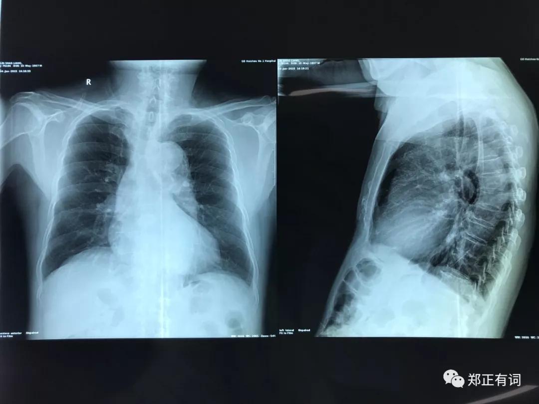
这里分享一个胸片,是这位患者2015年所拍。
这个胸片上,并未发现任何有意义的病变。
但是我猜想,如果正如既往文献所报道,
肿瘤在早期阶段发展较为缓慢,那么有没有一种可能,即当时如果采用CT复查,就能发现一个类似于毛玻璃那样的早期病变呢?

我确实无法回答,
但可以肯定的是,
CT筛查同样适用于高龄患者。
对高龄患者而言,最佳的筛查手段,也是CT。
因为,胸片能发现的问题,往往都是大问题。
愿上文的老爷子能在规范治疗之后,得到长久而满意的生活质量~
也愿天下的老年人,在发现肺部病变以后,能够得到一个规范、满意的治疗~

#抗击肺癌#
#415肿瘤防治宣传周#