
神经介入在线原创文章,如需转载请留言

作者:杨平,宋立刚,马宁
单位:首都医科大学附属北京天坛医院
本
周我们汇报一例左椎动脉开口及基底动脉串联狭窄血管内介入治疗过程,具体如下。

病例详情
患者,男性,66岁。主因“头晕伴双手麻木、行走不稳一个月”入院。
患者1个月前晨起(2018-6-16 5:00am)时出现头晕,表现为头部昏沉感,后出现双手麻木,行走左偏。第二日(2018-6-17)就诊于当地医院。
头颅MRI:双侧小脑半球、右侧丘脑多发急性梗死灶。
经内科药物治疗上述症状逐渐好转,为进一步治疗收住我院。
既往:高血压病史5年。痛风2年。吸烟27年,已戒18年。偶有饮酒40年。
神经系统查体:口部、双上臂针刺觉减弱,右侧为著。四肢腱反射对称减弱。右侧巴氏征阳性。
化验检查:LDL:1.78mmol/L;CYP2C19基因型监测:检出快代谢型;血栓弹力图:AA 96.5%,ADP 46.1%。
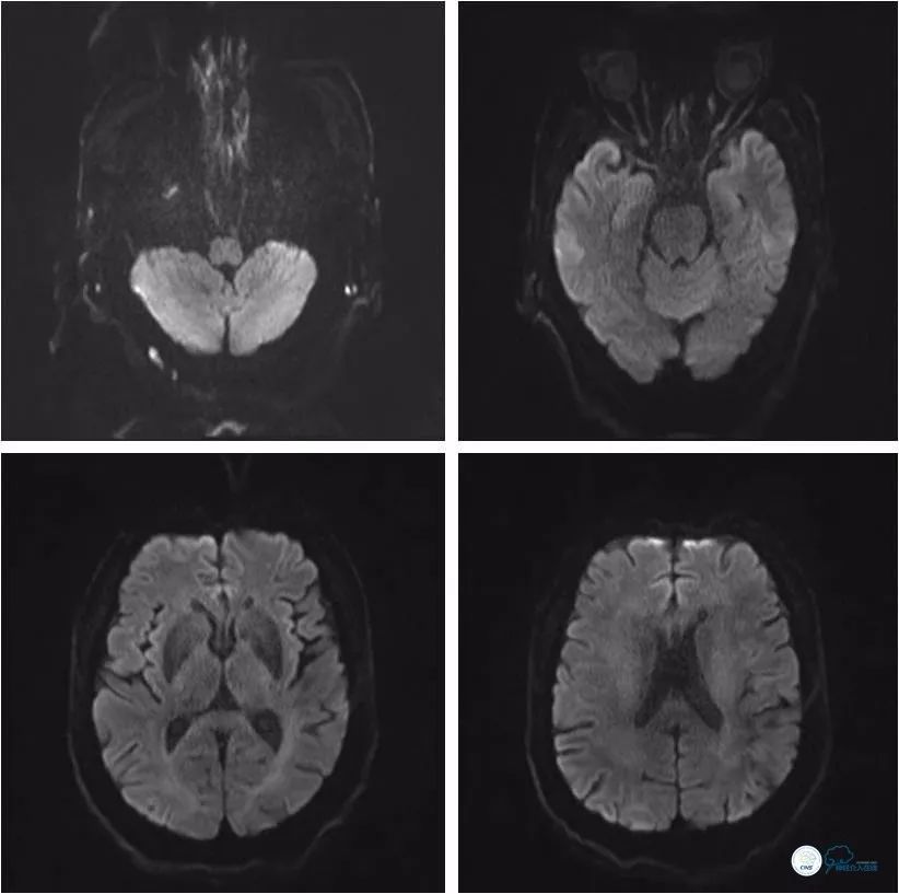
入院后头颅MR(2018-6-30):DWI未见明显新鲜梗死病灶(图1)。

图1
MRA:双侧椎动脉V4段-基底动脉重度狭窄(图2)。

图2
TCD(2018-7-2):左椎动脉流速增快,伴杂音,颅内段血流低平;基底动脉流速增快,伴杂音;右椎动脉血流速度及频谱未见明显异常。
弓上CTA(2018-7-2):左椎动脉开口处重度狭窄,双侧椎动脉V4段-基底动脉重度狭窄(图3)。

图3
颅内CTA(2018-7-9):双侧椎动脉V4段-基底动脉重度狭窄(图4)。

图4
高分辨MRI(2018-7-10):双侧椎动脉V4段管壁增厚,左椎动脉V4段左后壁、右后壁斑块形成,轻度强化,基底动脉管壁呈同心圆性增厚,增强明显强化,管腔重度狭窄(图5)。

图5
入院后给予双联抗血小板(拜阿司匹林肠溶片100mg 1/日+氯吡格雷75mg 1/日)、降脂(阿托伐他汀钙片40mg 1/日)等治疗。
DSA:左椎动脉优势,左椎动脉V1段重度狭窄,右椎动脉V1段中度狭窄,双椎动脉V4-基底动脉下段重度狭窄,狭窄率约为85%,狭窄段有AICA发出,双侧后交通动脉未开放(图6-9)。

图6

图7

图8

图9
术前讨论
●1.患者本次后循环症状及体征。 多种影像学检查均提示双侧椎动脉V4段-基底动脉下段重度狭窄,为责任血管,且双侧后交通未开放,代偿不佳,有介入指征。
●2.治疗策略:考虑左椎动脉系优势椎动脉,拟干预入路为左椎动脉入路。近端拟放置球囊扩张支架,远端病变狭窄程度重,拟稍小直径球囊扩张,再放置自膨支架。
●3.相关风险:处理左椎动脉V4段-基底动脉狭窄时出现的穿支事件,急性、亚急性支架内血栓形成等。
治疗过程简述
全麻下右股动脉入路,将6F导引导管至左锁骨下动脉近椎开口处, Transend微导丝(0.014″,300cm)放置于左椎动脉V2段,先用Ultra soft SV球囊(3×20mm)预扩张病变(图10)。

图10
其后置入Blue球扩支架(5×15mm),再跟进导引导管至左椎动脉V2段(图11)。

图11
此时造影示基底动脉重度狭窄(12)。

图12
将Transend微导丝(0.014″,300cm)在Echelon-10微导管帮助下放置于左大脑后动脉P2段,予以Gateway球囊(2×9mm)预扩张病变(图13)。

图13
后置入Wingspan自膨式支架(3.5×15mm),造影提示支架释放后支架贴壁良好,前向血流TICI 3级(图14)。

图14
患者麻醉清醒后术后查体同前。
术后立即复查头CT未见出血(图15)。

图15
讨论
本例技术难点在于先放置左椎开口支架后,如何将导引导管越过支架,放置左椎动脉V2段远端。我们操作与既往报道的病例类似,放置支架后,低压充盈球囊,缓慢前送导引导管,如果椎动脉开口定位准确,且近端没有明显血管迂曲,类似的操作一般都能成功。放置近端支架前,我们先小球囊扩张狭窄,目的是降低随后置入球囊支架时的支架移位几率。当然本例也可以先行近端球囊扩张,跟进导引导管,待处理完基底动脉病变后,再放置近端支架。
欢迎大家在下方留言区讨论关于本病例的看法~
