#心血管健康百问百答#
因为心脏不适到心血管门诊或者住院诊治,医生经常给患者开具一些检查项目,患者很想知道医生 为什么要让自己做这些检查?又能查出什么异常?能诊断出哪些疾病? 下面请看郭大夫就临床上常用的检查项目为您一一解读。
1、 血压监测
血压监测是临床上筛查诊断高血压和监测重症病人生命体征最常用的指标,包括家庭自测血压、诊室血压、动态血压监测。
24小时动态血压监测能够反映血压升高幅度、节律变化曲线,排查诊断初发高血压、隐匿型高血压、白大衣高血压、难治性高血压、评价降压药疗效,指导患者用药剂量及时间,有利于平稳降压。

2、心电图
心电图是利用心电图机从体表描计心脏电活动的波形,是一个最基础的心血管检查项目,包括常规心电图、24小时动态心电图、心电图运动负荷试验及心率变异性分析等。有助于诊断各种心律失常、 心肌缺血 、心肌损伤、坏死、心房和心室肥大、电解质紊乱、洋地黄中毒等。

3、胸部X线检查
包括胸部X片和胸部CT。心血管系统的常规胸片检查体位包括后前正位、左前斜位、右前斜位和左侧位。胸部CT纵隔窗能够清楚地显示心房心室的形态及大小,冠状动脉有无钙化、肺动脉和主动脉有无钙化及扩张等改变,心脏与周围的肺、纵膈等器官的关系。

4、超声心动图
超声心动图是利用超声短波的特殊物理学特性,检查心脏和大血管的解剖结构、形态、搏动情况的一种无创性检查技术。具有便捷、无创、可靠、可重复性好的优点。 用于测量房室大小、心脏瓣膜有无关闭不全或狭窄、血流方向、室壁的运动(运动幅度、协调性)、测量LVEF(左室射血分数)及FS(左心室短轴缩短率)等左心收缩功能指标和判断舒张功能。
因此 心脏彩超常用于诊断以下疾病:
(1)结构性心脏病
心脏彩超可以实时观察心脏结构、各房室腔大小、房室间隔是否有缺损和异常血流,判断心肌病和先天性心脏病。
(2)冠心病
是否存在节段性室壁运动障碍、室壁瘤、乳头肌断裂等心肌缺血坏死改变、急性心肌梗死并发症等。
(3)心脏瓣膜病
心脏彩超也是诊断心脏瓣膜病的重要检查,可以检查出心脏瓣膜是否完整,是否存在狭窄或关闭不全,同时可以测出流经瓣膜的血流速度。
(4)心包疾病
心脏彩超可以检查是否存在心包积液等。
(5)慢性心衰诊断
心脏彩超可以检查心脏收缩和舒张功能,测量出心脏射血分数等。诊断出慢性心衰。

5、冠状动脉CTA
全称冠状动脉CT血管成像,该检查是通过静脉注射造影剂显像,对比观察冠状动脉血管是否正常的一项辅助检查。可以清楚地显示冠状动脉开口、走行、形态结构、有无钙化、有无狭窄以及狭窄部位和程度,有助于诊断多发性 大动脉炎冠状动脉改变 、冠心病筛查、 冠状动脉瘘、心肌桥等病变 。
相较于冠脉造影冠脉CTA具有无创、简便、费用低的优点。缺点是容易受心率和心律影响,对钙化病变敏感性高,特异性低,影响判断,造影剂用量偏大。

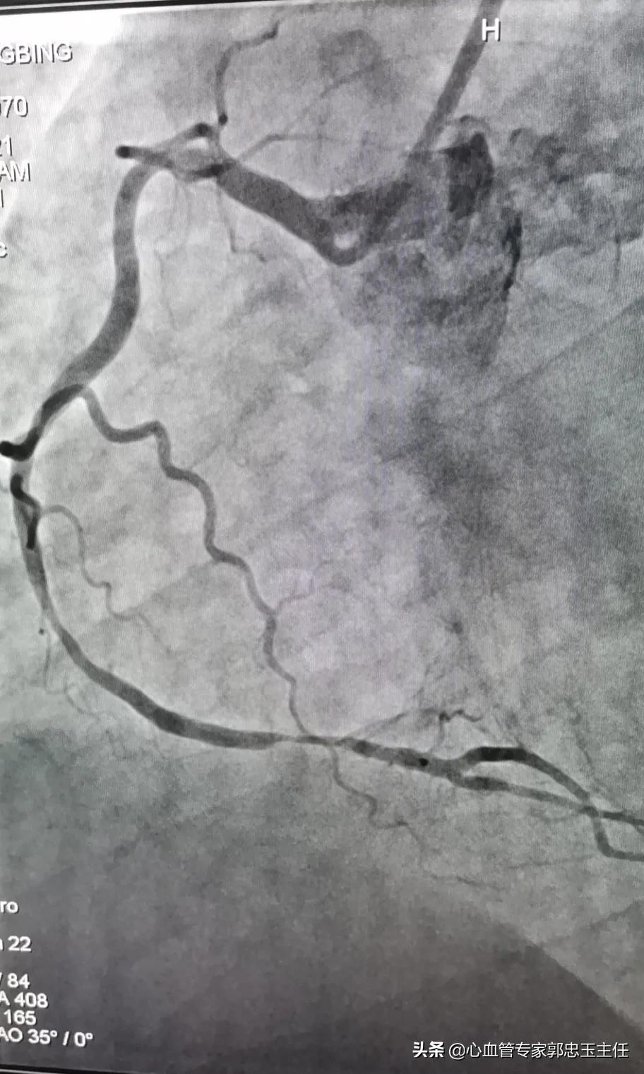
6、冠状动脉造影
冠状动脉造影是通过穿刺外周动脉,选择性地送入造影导管到左右冠脉开口,注射碘造影剂使冠状动脉显影的一种检查技术。是目前诊断 冠状动脉粥样硬化性心脏病 的一种常用而且最有效的方法,是一种较为安全可靠的微创检查手术,已广泛应用于临床,是诊断冠心病的“金标准”。
冠状动脉造影术可以直观地观察冠状动脉血管的走行、数量和有无畸形;评价冠状动脉有无狭窄病变、严重程度、病变长度以及是否存在多支血管病变;评价冠状动脉功能性的改变,包括冠状动脉的痉挛、前向血流、有无侧支循环;左心室造影有助于判断肥厚型心肌病、评估左心功能。
冠脉造影检查更加直观、可靠;经造影检查后可以直接介入治疗,减少造影剂用量和射线暴露;不受心律失常影响。


7、心肌灌注同位素显像
是将特定的同位素制剂(砣201、锝99)注入外周静脉进入体内,在体内同位素能自动与特异性的心肌细胞相结合,然后再经γ照相技术和图像分析,可显示心肌和心脏的图像。能够反映心脏的结构、形态,准确观察心肌血流分布的显像技术。从而有助于以下疾病诊治。
(1)冠心病诊治
心肌缺血坏死区,心肌细胞对同位素摄取障碍,造成充盈缺损,有助于冠心病心肌缺血的诊断、预后评估与危险分层,判断介入和搭桥手术后冠状动脉血运重建和心肌细胞存活的评估。
(2)心肌病诊断
如缺血性心肌病、限制型心肌病及肥厚型心肌病等。
(3)肺血管病诊断
包括急性肺动脉痉挛、慢性肺动脉栓塞、慢性肺源性心脏病及肺动脉高压等。
(4)心功能判断
通过心脏血池的扫描,准确测定心功能。
该检查方法具有可重复、结果精准的优点,广泛运用于心血管疾病诊治和预后判断等方面。

总结,每种检查都有其应用范围和适应症,也各有优缺点,临床医生会根据患者的初步诊断作出合适的选择 。