编者按:感染性角膜炎是世界性常见的致盲性眼病之一,外伤是常见的诱因,引起感染性角膜炎的病原微生物主要为细菌、真菌、病毒、阿米巴原虫、衣原体、结核杆菌和梅毒螺旋体等。感染性角膜炎一般应用药物治疗,严重病例需要联合手术。具体用药取决于感染性角膜炎的病因,故临床中准确判断病因十分重要。北京大学第三医院冯云教授致力于角膜病的诊疗,对角感染性角膜炎的诊断、治疗有着丰富的经验。近期冯教授成功治愈了一例合并内皮斑的重症病毒性角膜炎的患者,并分享归纳了该病例的相关信息,与眼科同道共勉。
病例回顾:合并内皮斑的重症病毒性角膜炎
患者为老年女性,亚急性病程,因左眼玉米叶进眼睛后视物不清5周,加重伴眼睑红肿1月余就诊。伤后于外院取出左眼玉米叶,1月前自觉左眼视物不清,外院诊断“左眼真菌性角膜炎”,规律抗真菌治疗后视物不清逐渐加重。
眼科检查:
- 眼压:OS 16mmHg
- 视力:OS HM/眼前
- 眼周皮肤:糜烂,非指凹性水肿,可见淡黄色渗液,压痛阴性
- 眼睑:睑缘充血水肿,伴黏液性透明分泌物
- 结膜:睫状充血
- 角膜:中央区角膜变薄,溃疡达基质浅层,表面干净,内皮炎性斑块;染色后可见角膜鼻侧上皮缺损(7mm*8mm);角膜知觉减退
- 前房:灰白色积脓,液面平整,液平4mm
- 余眼内结构窥不清

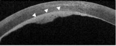
- 前节OCT:左眼角膜溃疡表面平整,后弹力层连续,内皮面见高反射均质内皮斑,与后弹力层界限清楚。
- 角膜共聚焦检查:左眼上皮及基质层结构紊乱,内皮层细胞结构紊乱,见大量炎性细胞沉积,角膜全层未见菌丝
- B超:双眼玻璃体轻度混浊
初步诊断:左眼感染性角膜炎
明确诊断后,冯教授提出,接下来的重中之重是找到患者感染性角膜炎的病因,可通过溃疡表面形态、AS-OCT下后弹力层及内皮斑形态进行鉴别诊断:
- 真菌性角膜炎:“植物性”外伤史+内皮斑+灰白色前房积脓。
- 细菌性角膜炎:外伤史+灰白色前房积脓。
- 病毒性角膜炎:抗真菌治疗无效+溃疡表面干净平整+内皮斑特征(内皮斑均质且形态规则,后弹力层连续完整)+角膜知觉减退。

目前诊断:
1.重症病毒性角膜炎
2.左眼结膜瓣遮盖术后
3.高血压1级,中危
治疗方案的选择:保守治疗vs手术治疗
在重症病毒感染的情况下,急诊治疗性角膜移植尽管能去除感染病灶,但控制不佳的炎症及活化的病毒感染会攻击植片,因此选择保守治疗。
治疗方案
系统性抗病毒治疗:静脉用GCV 250mg bid + 眼用GCV凝胶 qid+糖皮质激素眼药qn,抗病毒药用3天后加。
疗效
3周后左眼炎症完全消退。角膜缺损上皮完全长入,前房积脓完全吸收,角膜后内皮斑与其他炎性物质完全吸收,眼周皮肤糜烂完全消退。


病例思考:鉴别诊断及治疗要点
对于上述病例,冯教授从三方面进行了归纳总结:
1.前节OCT在合并内皮斑的角膜炎的鉴别诊断中具有无创性、准确性的重要意义。
- 真菌性角膜炎出现内皮斑标志着真菌菌丝穿凿破坏后弹力层进入前房,因此前节OCT表现为后弹力层连续性中断,内皮斑形态不规则。

- 病毒性角膜炎出现内皮斑是因为炎性细胞在角膜后面大量聚集,是炎症反应重的标志,因此前节OCT表现为后弹力层连续完整,内皮斑均质且形态规则。

2.在复杂病例中,角膜知觉减退是辅助诊断病毒感染的有力工具。
3.在合并内皮斑及前房积脓的重症病毒性角膜炎患者中,单纯保守治疗能够实现在急性期控制活跃的病毒感染及炎症,增加患者后期光学性角膜移植的成功率,从而提高患者后期视觉质量,也避免了由于行急诊治疗性角膜移植所带来的高风险及后续并发症。
专家简介

冯云 教授
教授,博士生导师,北京大学第三医院眼科主任医师、角膜眼表专科副主任;第十二届国家药典委员会委员;中华医学会眼科视觉生理学组委员;中国医师协会眼科分会青年委员;中华医学会北京医学会眼科分会青年副主任委员;海医会眼外伤学组委员;中国视力残疾康复专业委员会常委;中国女医师协会眼科分会青年委员;中国眼视光明日之星。life member of Asia Pacific Ophthalmic Trauma Society(APOTS)。英国雷丁大学(university of Reading, UK)组织工程角膜专业访问学者;卫生部健康快车白内障扶贫项目四川站及喀什站医务主任。
在各类角膜病方面具有丰富的临床诊断与治疗经验,擅长各类角膜移植手术,白内障手术,复杂前节重建,角膜内皮移植术,眼前部外伤化学伤等眼表疑难病的诊治等。执业经历:毕业于北京大学医学部临床七年本硕连读,毕业后在北京大学第三医院眼科工作至今。2008年获得国际眼科及视觉学术大会(ARVO) travel grant奖。2011年国际眼科协会ICO(international council of ophthalmology)fellowship获得者。2018 亚洲角膜病协会ACS(Asian Cornea society) educational grant 获得者,新加坡SNEC/SERI 临床fellow。国家自然基金评审专家。