中老年人上下公交车一定要注意,脚步要稳,切莫推搡,避免发生跌倒。
63岁的王大娘,在上公交车的时候,由于当时上车人数较多,再加上炎热的天气致使她脚不稳,发生了跌倒。当时她就感觉左小腿疼痛难忍,一同出行的乘客帮她拨打了120,送到我们医院后,发现她左小腿部位的皮肤有擦伤,有肿胀,并有少量的渗血情况出现,按压时有明显的疼痛以及骨擦感。
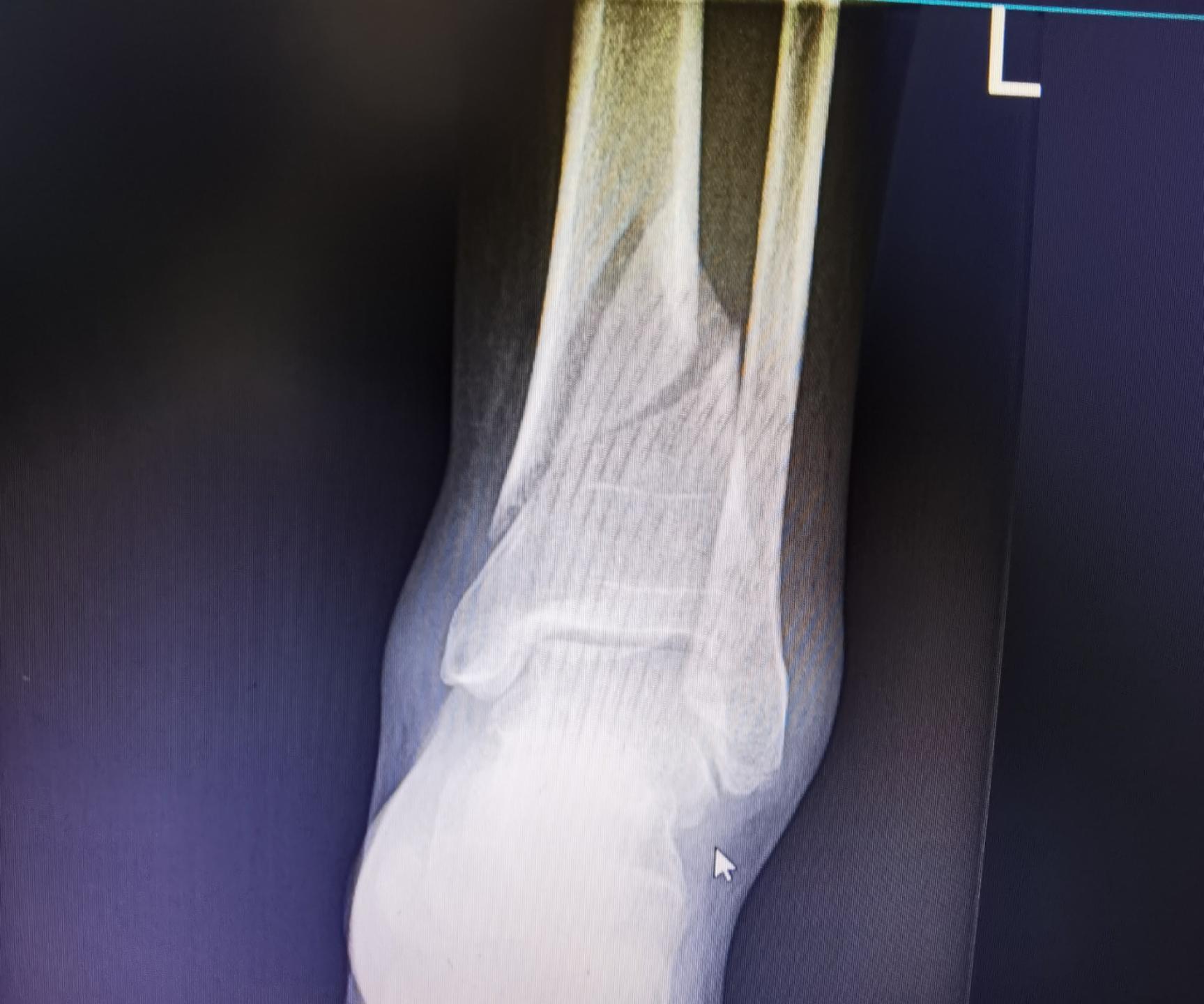
做完CT检查后,结果显示为:左侧胫骨远端骨折,左侧腓骨下段骨折,部分断端可见错位,局部软组织肿胀,需要即刻住院,并安排手术治疗。



王大娘收治到病房后,先给她做局麻的状态下,做了左下肢的跟骨牵引进行悬吊制动,之后对王大娘擦伤的部位用双氧水、生理盐水及络合碘进行清创处理,然后使用冰袋在左小腿软组织肿胀处进行冰敷治疗以预防局部软组织肿胀的加重,予以依诺肝素钠抗凝、地佐辛止痛治疗。
在确定王大娘左小腿软组织肿胀消退,局部擦伤可见好转的情况下,给王大娘进行可进行了左侧胫骨远端骨折闭合复位内固定手术,和左侧腓骨下段骨折闭合复位内固定手术,手术过程很顺利,两处骨折,两个切口,仅用时45分钟。术后继续给王女士冰敷,以防止局部软组织肿胀的进一步加重。
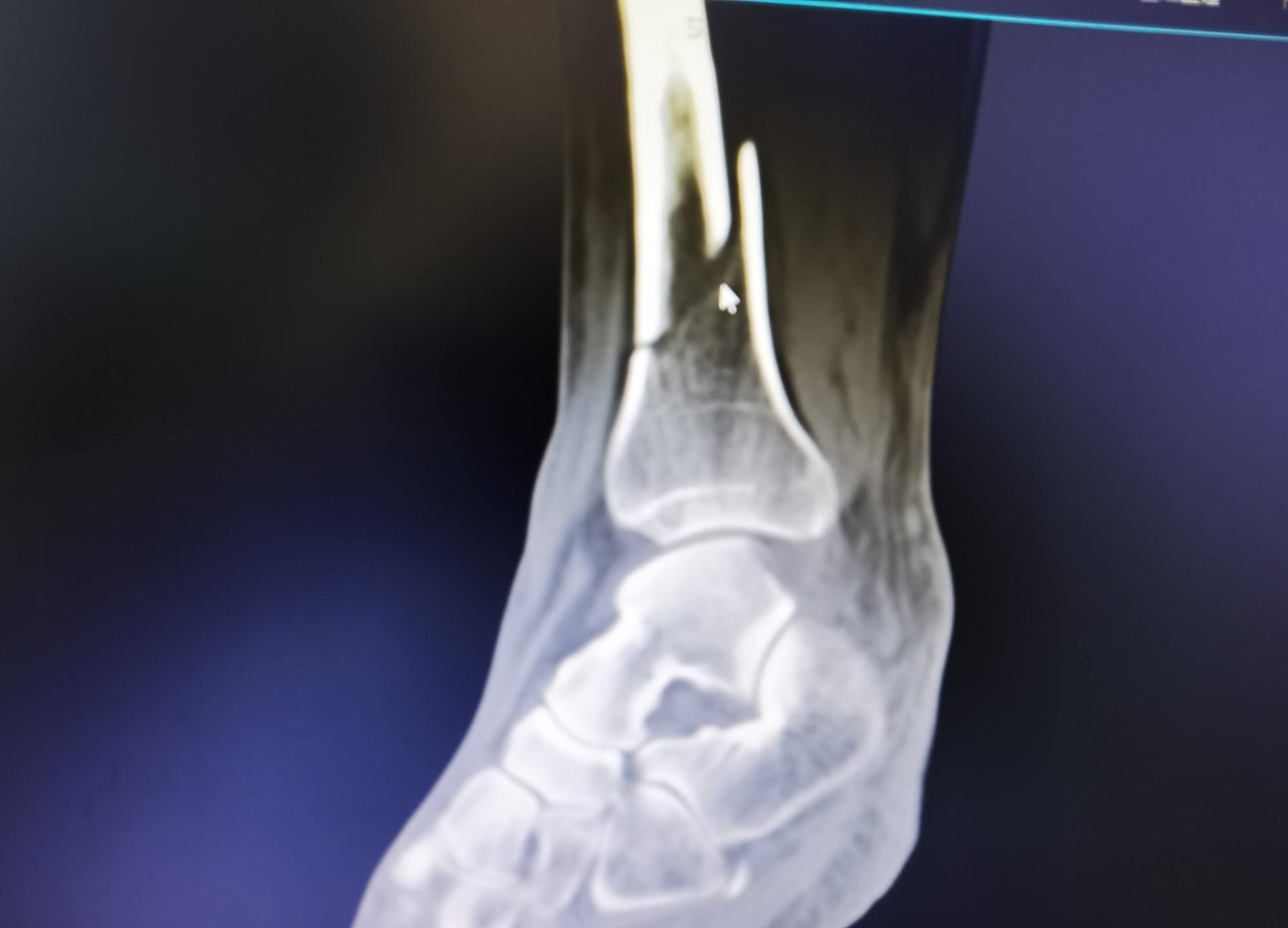
之后,术后复查时左小腿CT结果显示:左侧胫、腓骨骨折端复位良好,内固定位置良好。患者恢复得也很好,在术后第3天进行了左膝踝关节的主动屈伸功能活动,以预防后期的关节僵硬。


对于这类骨折,术后患者需要注意的事项,主要有以下3点:
1、适当抬高患肢,能够促进血液回流和骨痂形成,预防下肢发生水肿。
2、家属协助患者做适当活动,并遵医嘱进行抗凝治疗,预防下肢血栓形成。
3、清淡饮食,避免进食辛辣、刺激性的食物。
在这里,提醒中老年朋友,在日常生活中,要多留意,避免跌倒的发生。随着年龄的增长,人体的骨骼不胜于年轻时,一旦跌倒,会更加容易发生骨折。
#骨折##健康真知计划##王大夫讲“骨”事#