“医生,牙齿不吃饭不疼,吃到硬东西,尤其像小骨头、牛肉干等,有时候吃芹菜,还会疼,怎么回事啊?”
“您的牙齿有裂纹了,治疗起来很棘手,效果可能不好,这颗牙以后再也不能吃硬东西了。”
“啊……做了治疗,也不能吃硬东西了,生活还有什么乐趣?”
牙齿有了裂纹,患者很痛苦,治了效果不好,不治又痛;医生也很棘手,治了不能保证疗效,不治又于心不忍。隐裂牙,让医患双方都很纠结,苦恼不已。
究竟什么是隐裂牙?
隐裂牙是指表面有细小裂纹的牙齿。裂纹位于牙齿浅层时,通常没有什么症状,吃饭睡觉也不会有什么不舒服;裂纹位于牙齿深层时,往往咬硬东西或是吃有韧性的食物,会出现咬合疼痛,严重的时候,不吃饭也会出现疼痛。

图1 牙齿表面的隐裂纹
隐裂牙怎么产生的?
隐裂纹的产生很复杂,有先天因素,也有后天的原因。
先说先天的因素,牙齿的生长发育过程极其复杂,但是很奇怪,每个人相同位置的牙齿形状大同小异。图2是正常牙齿的牙尖,我们可以发现,每个牙尖光滑圆钝,坡度平缓。但是有的牙齿牙尖高耸(见图1),有时候甚至孤峰独立,很容易形成隐裂纹,引起疼痛。

图2 正常的牙尖
再说后天的原因,有的朋友喜欢吃硬东西,非常享受食物在嘴巴里嘎嘣的感觉;还有些朋友生性豪爽,要大口喝酒,大块吃肉,开酒用开瓶器,嫌麻烦,直接一口咬掉;另外有些特殊职业,像鞋匠,喜欢用牙齿咬小零件……这些习惯都容易造成隐裂牙。
怎么发现隐裂牙?
碗上出现了裂纹,我们可以放在手上,各个方向看,各个方向检查,但有隐裂纹的牙齿,不能放在手上,任我们把玩检查。
而且有隐裂纹的牙齿,常常没有龋洞,舔上去、摸上去都没有什么异常,很难自己发现,需要到医院检查。
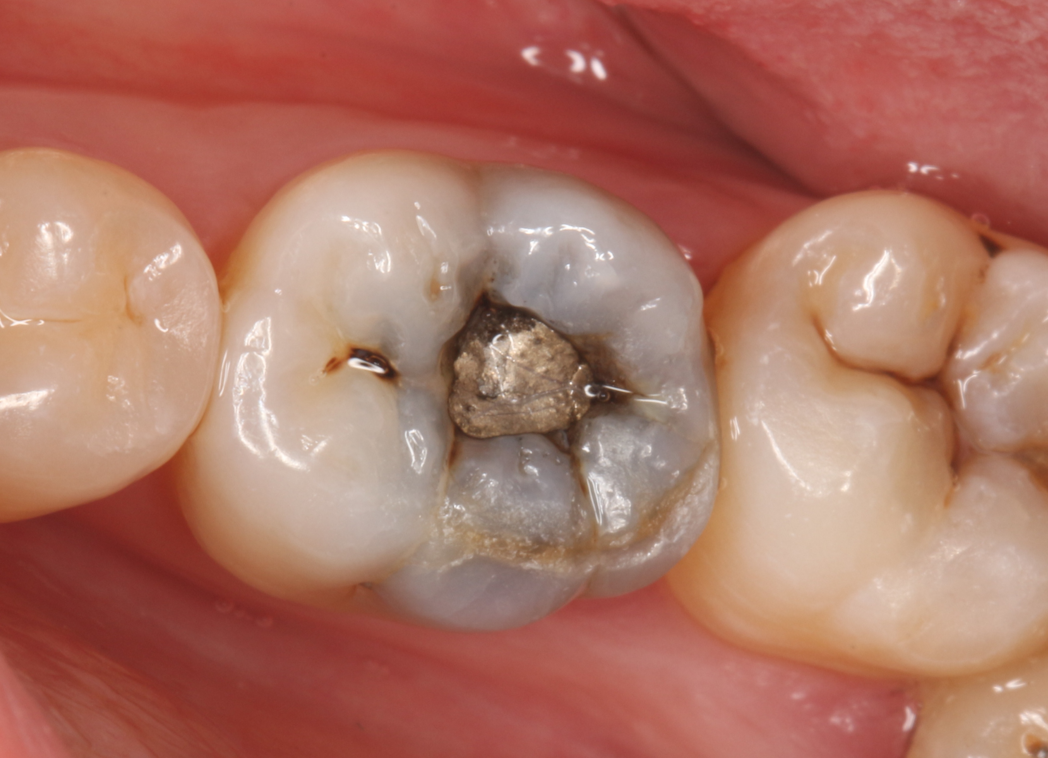
有些隐裂纹非常隐蔽,光凭眼睛,还不够,需要借助其他的方式,比如染色、光传导技术等。下面的一例隐裂牙,就非常隐蔽,肉眼根本看不出,只有在将原来补的材料全部去除干净后,才发现了隐裂纹。

图3 牙齿表面是原来补的材料,又产生了蛀牙,但是看不到隐裂纹

图4 拆除原来的补牙材料,去除龋坏的组织,发现了隐裂纹
因此,去医院找医生检查,是必须的。
隐裂牙怎么治疗?
有隐裂的牙齿,没有任何症状,自己注意不要咬硬物,平时多注意就可以;轻微的酸痛敏感,除了注意不要吃硬东西,还可以去医院调磨牙齿,降低牙齿的咬合力量,同时可以结合防酸牙膏进行治疗。
最最头痛的是,有明显疼痛症状的隐裂牙。完善的治疗方案是先行根管治疗,然后做一个牙冠进行保护。但是周期长、花费高,疗效还不能保证,所以患者十分纠结:“我花了时间,也花了钱,到最后既不能吃硬东西,还不能保证牙齿一定能留得下来,说不定什么时候裂了,就要拔掉。”常常无所适从,做不了决定。
其实,对于这样的状况,医患双方摆正心态即可:
医生,与患者充分沟通,告知病情,说清利弊,征得患者同意后,积极救治;
患者,充分了解病情,权衡利弊,信任医生,配合治疗。
隐裂牙,留住了,是幸运;留不住,是归宿。
世上的事,不是件件都能成功;嘴里的牙,也不是颗颗都能留住。你我尽心了,尽力了,可以无悔矣!
隐裂牙治疗重点:不痛,自己管;小痛,医生帮忙管;大痛,医生一定管。