(声明:本文仅用于科普用途,为了保护患者隐私,以下内容里的相关信息已进行处理)
【基本信息】男,14天
【疾病类型】新生儿肺炎
【治疗医院】杭州市红十字会医院(三甲)
【治疗方案】予以患儿吸氧治疗,吸痰治疗,予凯福隆针、红霉素针微泵静推抗感染治疗,予博利康尼、普米克氧气雾化治疗
【治疗周期】住院8天,不适随诊
【治疗效果】患儿不咳嗽,呼吸道通畅
一、初识患儿
患儿刚刚出生14天,患儿系孕39周,于2019年12月21日经剖宫产娩出,五天前无明显诱因出现咳嗽,无气促,遂入我院急诊进行住院治疗。入院后进行查体,T:37.0℃,P:142次/分,R:42次/分,BP:82/46mmHg。神清,反应可,张力不高,全身皮肤巩膜无黄染,无出血点,咽充血,双肺呼吸音粗,可闻及少许粗湿啰音,心律齐,心音中等,心前区未闻及心杂音,腹部膨隆,肝脾未及明显肿大,脐蒂已脱。四肢肌张力正常,原始反射存在。患儿自出生以来,一直母乳喂养,身体健康,无感冒发烧。门诊以“新生儿肺炎”收治入院。

二、治疗过程
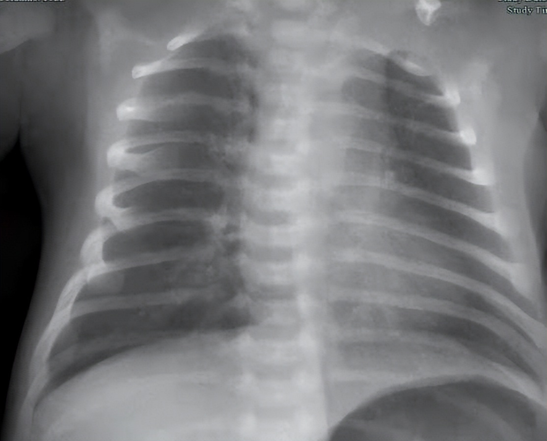
患儿入院后,基于“新生儿肺炎”的考虑,进一步完善胸片,血常规+CRP,血凝常规,血型检测,血气电解质乳酸CO分析,尿常规等相关检查。这些检查是为了进一步确诊患儿是否是新生儿肺炎,从而排除其他误诊。检查结果示患儿双肺有散在模糊影,白细胞增多,血红蛋白增多,CRP全血快速定量<1mg/L,血型Rh阳性,血型为O型,尿比重正常,尿中葡萄糖,蛋白质,红细胞阴性。

基于上述检查结果,考虑患儿咳嗽两周,并结合查体患儿双肺呼吸粗音,闻及少许粗湿啰音,可以临床诊断为新生儿肺炎,遂予以患儿吸氧治疗,吸痰治疗,予凯福隆针、红霉素针微泵静推抗感染治疗,予博利康尼、普米克氧气雾化治疗。对新生儿加强监护和护理,注意保暖,使患儿体温达36.5℃,环境温度在50%以上。吸净口咽、鼻部分泌物,保持呼吸道通畅,定期翻身拍背有利于痰液排出。注意患儿营养,母乳喂养注意不要使患儿呛咳。
经过住院治疗后,患儿咳嗽次数减少,鼻部呼吸通畅,睡眠佳,复查血常规,白细胞恢复正常,胸片模糊影减少。
三、患儿在治疗中注意事项
1、对患儿加强监护和护理,注意保暖,保持呼吸道通畅,供给足够的热量和液体。
2、患者家属应时刻关注患儿的生命体征,如呼吸、心率、体温,如发现异常,及时告知医生。
3、保持室内空气新鲜,温湿度适宜。

四、患儿的治疗效果
经住院治疗8天,患儿精神状态佳,无明显咳嗽,无鼻塞,喉间痰鸣少许,无喘息气促,无呼吸暂停,无发热,无少吃少动少哭,无尖叫抽搐,大便偏稀,小便无特殊。进一步复查患者白细胞恢复正常,胸片模糊影减少。查体咽无充血,双肺呼吸音粗,未见明显干湿啰音。
五、患儿在日常生活中的注意事项
1、坚持母乳喂养,及时添加辅食,新生儿第十五天开始补充维生素D。
2、要给孩子布置一个舒适洁净的生活空间,孩子所用的衣被、尿布应柔软、干净,哺乳用具应消毒,父母及其他家属护理患儿时应注意洗手。
3、如出院后再次出现咳嗽、皮肤黄染,或患儿出现精神差,体温异常等表现应及时就诊。

六、医生感悟
新生儿肺炎一般指感染性肺炎,可发生于宫内、出生时或出生后。它是新生儿最常见的疾病之一,也是新生儿死亡的重要原因。据统计,全世界每年有100万~200万新生儿死于新生儿肺炎。
新生儿肺炎是可以预防的。由于感染引起的新生儿肺炎,从母亲怀孕期间就应该开始预防。怀孕的母亲要做好孕期保健,保持生活环境的清洁卫生,更要注意个人卫生,防止感染性疾病的发生。孩子出生后,给孩子提供一个洁净舒适的生活空间,孩子所用的一切衣物都需洁净,哺乳用具应消毒。家长也要注意个人卫生,勤洗手,长通风,尽量避免到人多的公共场所,防止上呼吸道感染进而预防肺炎的发生。
一旦患儿被确诊新生儿肺炎,应及时就医。保持患儿舒适体位,让患儿保持安静,减少氧的消耗及减轻心脏负担;患儿咳嗽时给予正确的拍背方法;注意观察患儿呼吸频率;协助护理人员观察输液速度,防止过快引起心力衰竭;保证热量供绐,喂养应耐心,少量多次。患儿病愈后加强体质锻炼,多进行户外活动,在寒冷季节外出时,注意保暖。家长应定期进行健康检查及预防接种。
姓名:黄文渊
单位:杭州市红十字会医院
科室:儿科
职称:主治医师