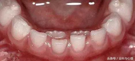
在换牙期,
孩子新的恒牙已经长出来了,
但乳牙却一直没有脱落,
这种现象在医学上叫“乳牙滞留”。
由于恒牙已萌出,
乳牙却不肯“退位让贤”,
恒牙被迫从乳牙后面“委曲求全”,
从而形成一前一后两层牙齿,
因此俗称“双排牙”。

现如今,
乳牙滞留的孩子越来越多,
发病率高达10%,
每十个换牙期的孩子
就有一个存在双排牙现象。


那么,究竟是何原因造成孩子的乳牙滞留?
一旦发现,家长该如何去应对?
又该在生活中注意些什么避免双排牙的出现呢?
就让小编来告诉你!
01
为什么会出现“双排牙”
正常情况下,恒牙胚位于乳牙根的舌侧,恒牙在萌出过程中逐渐向前上方移动,导致乳牙根吸收至脱落,随后恒牙萌出。以前的孩子基本都能正常的完成乳牙和恒牙的换替,可为啥现如今的孩子换个牙都会出现如此多的问题?

苹果削成块,甘蔗榨成汁,排骨剔下肉,玉米不让啃……相信现在生活中很多家长都是这样无微不至的呵护孩子的。但正是这种精细化的饮食方式,让孩子们失去了很多咀嚼锻炼的好机会。牙齿和颌骨得不到足够的刺激和锻炼,导致处于换牙期孩子们的乳牙迟迟赖在牙床上“不下岗”,恒牙萌出没有地方,只能在乳牙的边上挤出。可以说孩子出现双排牙,责任在家长身上。

02
乳牙滞留的后果
牙齿的错位不利于牙齿清洁卫生,容易形成牙垢和牙结石而导致口臭,甚至可能诱发龋齿、牙髓炎、根尖周炎等口腔炎性疾病。很多有双排牙的孩子,常捂着嘴说话及克制不笑,生怕被其他人发现嘲笑,渐渐压抑了自己爱笑的天性,甚至因此形成自卑的心理。

此外,乳牙滞留导致的恒牙位置异常,还会对孩子的颌骨发育、咀嚼效果、面部美观等造成影响。家长的溺爱反而害了孩子。
03
孩子已双排牙可咋整
很多家长突然发现孩子下门牙后面又冒出了一颗牙齿形成双排牙,还以为是发育异常或者是多生牙齿,不知如何是好。
发现孩子出现了双排牙,建议家长及早到正规医疗机构检查、拔除。如果乳牙已经松动了,甚至有些只有牙龈连着,乳牙可能会自行随进食过程脱落。因此,孩子在进食过程需要多加注意。

04
家长切勿手动拔“双排牙”
有些家长认为拔牙是小事,看孩子有乳牙滞留,就自己在家里给孩子用手拔,忽视了潜在的风险。

这是因为,家中拔牙时,孩子会因紧张而可能将牙齿误吸入气管;如力度把握不好,会伤及恒牙;甚至会因乳牙和恒牙“长得很像”,存在误拔的风险。如果恒牙已萌出而乳牙还很稳固,建议尽快去正规的医院拔除,给恒牙腾出位置,这样恒牙就可以尽早有机会向着正常位置移动生长。

乳牙拔牙后,可先不考虑矫正。位置间隙足够的话,恒牙会在舌肌的作用下前移,排列到正常位置。只有发现间隙不足,前牙出现拥挤,根据口腔整体情况再考虑择期矫正。

05
如何预防乳牙滞留
希望家长能够改变观念,让孩子的牙齿多多接受锻炼,家长们应让孩子多吃些花生、甘蔗、苹果、玉米等耐嚼食物,保持对乳牙良好的刺激作用,促使乳牙按时脱落。如水果让孩子自己咬着吃,尽量少打汁、切块,这样使儿童的牙齿及口腔得到锻炼,有助于牙齿的替换及排列。也可以鼓励孩子多吃些硬质粗纤维食物,比如豆类、甘蔗、坚果类、和粗粮。

换牙期要多关心孩子的口腔,
以便发现问题及时处理,
定期去检查牙齿。
各位宝爸宝妈,
加强刺激,预防乳牙滞留,
让每位小宝贝都可以自信的笑出来吧~


来源:江苏疾控