【傅继弟教授颅内感染脑积水团队病例】
袁某,男,1岁,在孕检时就被诊断为先天性脑积水。因为当时患儿头围及发育未见明显异常,母亲就在足月后生出了这个外表健康的小宝宝,但患儿颅内的脑积水一直牵动着其父母的心。患儿出生后行颅脑MR检查可见颅内脑室系统扩张及脑出血(图一)。

图一:可见脑室系统扩张及右脑室内出血
因脑室系统扩张未出现颅高压症状,且出血量少,当地儿童医院给予内科治疗后患者出血吸收,脑积水仍存在,未给予治疗,智力及生长发育未见明显异常。
在患儿约10个月大即2020年09月份时家属发现患儿发育较同龄人缓慢,没有言语,不会爬也不能走,为了治疗就诊于浙江大学附属儿童医院,医院诊断为脑积水,并于当时给予行 第一次 脑室腹腔分流术,术后复查颅脑CT可见分流管位置可。(图二)

图二:第一次脑室腹腔分流术后
出院后1周患儿无诱因出现 发热,最高39.0℃ ,伴有恶心、呕吐,在安徽当地省级三甲医院行相关检查及腰穿检查脑脊液后培养细菌为表皮葡萄球菌,考虑患儿为颅内感染,给予美罗培南+万古霉素抗感染治疗10余天,效果差,仍高热39.0℃。
【 第一次 ommaya囊植入】
于2020-10-20再次转至浙江三甲医院治疗,医生考虑颅内感染诊断明确,并于10-22在全麻下行侧脑室腹腔分流管拔除术+脑室储液囊 (ommaya囊)植入术 ,术后持续脑室储液囊抽取脑脊液引流,并给予利奈唑胺抗感染治疗1月余。
中途行脑脊液细菌检查可见头状葡萄球菌,根据药敏结果给予更改抗生素为 美罗培南0.37g q8h联合稳可信185mg q8h 静滴抗感染治疗,效果仍差,复查脑脊液仍可见头状葡萄球菌 生长。
【 第二次 ommaya囊植入】
颅内感染治疗约2个月后为解决脑积水及颅内感染病灶在全麻行 神经内镜下第三脑室底造瘘术+右侧脑室储液囊取出术+左侧脑室储液囊埋置术 ,术后仍持续抗感染治疗;于2020-12-15根据药敏结果调整抗生素为:稳可信180mg q8h静滴+利福平胶囊0.09g q12h口服抗感染治疗,抗感染治疗差,可见 溶血葡萄球菌生长。后再次给予调整抗生素为:稳可信+利福平胶囊0.09g q12h口服抗感染治疗,治疗效果仍差。
【 第三次 取囊、ommaya囊再植入】
颅内感染治疗约3个月后左侧储液囊皮肤穿刺可见红肿,为防止皮皮下感染于2021-01-12在全麻下行 左侧脑室储液囊取出+右侧脑室储液囊埋置术 ,术后患儿脑室引流不畅,并给予加用凯福隆泵注抗感染治疗,控制感染仍差。
【 第四次 取囊+内镜+引流】
于2021-01-15患儿储液囊梗阻,急诊给予神经内镜下脑室冲洗术+侧脑室外引流术+脑室储液囊取出术,术后给予头孢他啶+稳可信+海正美特+利福平抗感染治疗。
【 第五次 ommaya囊植入】
于2021-01-22感染仍存在,给予停用利福平,同时使用鞘内注射阿米卡星,剂量从1mg开始,每日1次,并且每日加量1mg,直至5mg/天,并持续使用5mg剂量鞘内注射1周。于2021-01-27患儿脑室外引流管脱出,在全麻下行左侧脑室储液囊埋置术,术后给予每日抽取脑脊液。
转入北京傅继弟教授颅内感染-脑积水治疗组
患儿经常规颅内感染治疗约3个多月, 颅内感染仍存在,为了进一步治疗颅内感染,转入傅继弟教授颅内感染-脑积水团队。
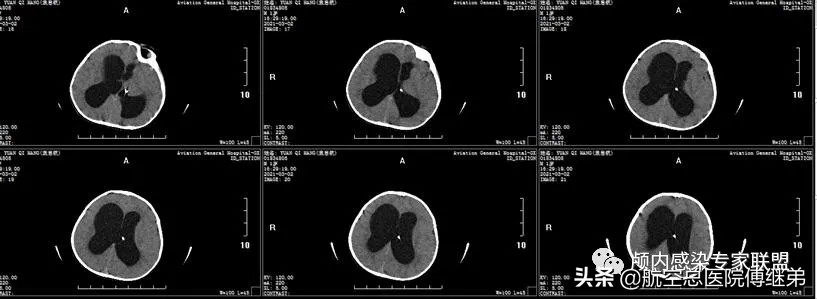
患儿于2021-03-02入院,入院时烦躁,瞳孔及肢体活动尚可,骨窗膨出,呕吐。查脑脊液检查可见:白细胞 389.0*10^6/L 单个核细胞 38% 多核细胞 62.0% 葡萄糖 0.37mmol/L。入院时复查颅脑CT可见储液囊(ommaya囊)存在,脑室系统仍扩张(图三/四)。

图三 脑室系统扩张,皮下储液囊植入

图四 脑室系统扩张,皮下储液囊植入
查看患儿头顶,可见ommaya囊位置巨大皮下积液,皮肤膨起且穿刺部位红肿,濒临破溃(图五),按压质韧,压力高,患儿躁动、吐奶。

图五 鼓起的皮肤,皮下可触及储液囊,多次穿刺抽取脑脊 液后可见中心皮肤红肿,濒临破溃
入院后完善相关检查,于2021-03-04在全麻下行脑室腹腔外引流术+原储液囊取出术。术后复查颅脑CT脑室引流管位置可(图六),术后早期引*脑流**脊液为淡黄色,患儿状态逐渐改善(图七)。

图六 术后复查颅脑CT脑室引流管位置可

图七:治疗后状态改善,脑脊液外观色黄
留取脑脊液常规、生化及脑脊液细菌培养可见细菌生长。(图八、九、十)

图八

图九

图十
经过系统抗感染治疗后3天复查脑脊液细菌已回报阴性(图十一)

图十一
持续抗感染及脑脊液净化治疗后脑脊液细菌培养一个月内连续8次阴性,脑脊液化验达标后,为患者行脑室腹腔分流术治疗。

术后三个月复诊,患儿已经可以像同龄儿童一样走路和游戏,智力发育正常。

傅继弟教授专家点评:
儿童颅内感染合并脑积水的治疗方式,与细菌种类密切相关。一般阳性球菌积极治疗不会造成严重的室管膜、脑实质损伤。真正导致阳性球菌感染的脑积水患儿残疾的,是“不充分”的体外引流!
该病例患儿在感染期间,医生的处理一直都是积极的,所以脑组织并未受到明显影响,最终脑组织厚度恢复正常,没有萎缩。
颅内感染的迁延不愈,主要原因是ommaya囊的非适应症使用。患儿一共做了五次颅脑手术,均与ommaya囊相关,我们在使用储液囊治疗时,需要考虑以下几点:
1、患者是否为慢性、轻度积水
2、是否已经存在感染
3、头皮厚度
4、头皮清洁度能否长时间稳定
5、预计携带时间
其实头部并不适合长期、反复穿刺(下图为ommaya头皮穿刺损伤),因为儿童头皮菲薄。其次,多次穿刺可能造成毛囊进入皮下并生长,且感染的脑脊液会储存于皮下,逃避抗感染治疗。
因此,少即是多,简即是足。去除感染物,充分的脑室体外引流,完整的局部联合全身抗感治疗,周期并不长,却可以避免感染复发。

儿童ommaya穿刺头皮损伤