
夏季一到,天气炎热,不少宝宝就容易出现各种各样的皮肤问题,例如湿疹、痱子等等,让妈妈们焦虑不堪。
不仅如此,很多妈妈都表示湿疹和痱子真的太像了,根本傻傻分不清楚,一顿乱护理,宝宝的肌肤状况不仅没有变好,反而越来越糟糕
所以今天,小K就来给妈妈们科普一下,宝宝最常见的两种皮肤问题——湿疹与痱子,到底怎么区分与护理

痱子也叫热疹,是由于汗液分泌增加,被汗液泡软了的皮肤角质层堵塞了汗腺导管和汗孔,汗液潴留在表皮和汗导管周围的组织内,从而就形成了痱子。
简单来说,痱子的出现和出汗密切相关。这也就是为什么宝宝的痱子通常发生在夏季的原因。

正常出汗vs汗液堵塞
而湿疹的成因就相对复杂多了,比如说肌肤的屏障功能障碍、遗传体质、环境诱发、免疫调节紊乱等等。而美国儿科学会(AAP)发布的湿疹指南中指出,目前研究认为,皮肤屏障功能障碍是导致湿疹的主要原因。

妈妈们最最关心的来了,那么痱子和湿疹到底要怎么区分呢?不要着急,小K给妈妈们整理了帮助区分的3大小妙招,赶紧get一下


图片来源: www.webmd.com
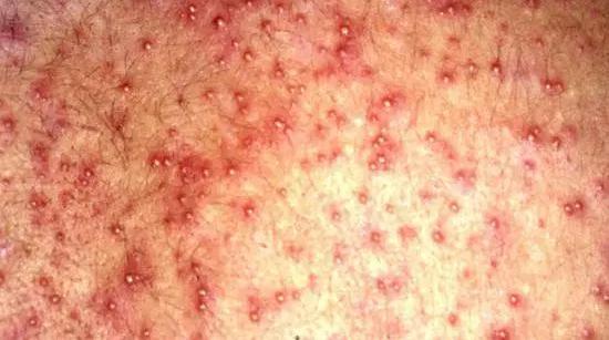
从表面上看,痱子是有很多小丘疹组成。放眼一看,是红彤彤的一片,其实仔细看像是一粒一粒的“小水泡”,密集分布,摸上去仿佛有微微扎手的感觉。
而湿疹是怎么样的呢?妈妈们看下面这张图

图片来源: www.medicalnewstoday.com
很明显,与一粒一粒的痱子不同,湿疹是片状的,湿疹的表面可能还会出现脱屑小裂口或者渗水的情况。
怎么样?看下来妈妈们是不是发现痱子和湿疹的直观差别还是挺大的?


图片来源: www.medicalnewstoday.com
仔细看看上面这两张对比图,是不是很明显左边:湿疹 右边:痱子?

一般来说,痱子多会出现在颈部、胸背、肘窝等部位,宝宝也常产生在头部、前额等经常出汗的地方。

图片来源: www.youlai.cn
而湿疹则通常来说任何部位都有可能产生,但是更加容易出现在比较干燥、经常受到摩擦的部位,比如说脸颊、手肘、膝盖等等。

图片来源:eczema-prevent.blogspot.com

总得来说,痱子是来得快也去得快,在注意通风及降温,环境变得凉爽后,痱子一般会出现好转。
而湿疹不经过保湿等护理,会变得越来越严重,而且容易反复发作,演变为慢性。

想必妈妈们在了解了痱子及湿疹的成因后,能够瞬间明白这两者的大致护理方向:痱子注意干爽,千万别捂;而湿疹则要注重保湿。

1注意保持室内凉爽
夏天很多妈妈会纠结开不开空调的问题,担心吹空调对孩子不好。其实只要调控好温度,以24℃为宜,另外注意空调风口不要对着宝宝吹。夏天开空调其实是有助于宝宝预防痱子的。
2每天洗澡
宝宝洗澡的水温注意不要太高,大概30℃左右为宜。洗澡能够清洁宝宝肌肤,避免汗腺堵塞,引发痱子。洗澡时也不可用清洁力过强的沐浴露,选择一款温和的宝宝沐浴露很重要。

3不要用痱子粉
宝宝长出痱子后,不建议妈妈用痱子粉。因为痱子粉在遇到汗水后更加容易堵塞毛孔,从而加重宝宝的痱子情况。

1注意宝宝肌肤保湿
对于宝宝肌肤来说,保湿非常重要。做好保湿工作可以缓解肌肤干燥带来的不适,也有助于修复皮肤屏障。对于湿疹宝宝来说,最好使用温和不含香料的润肤霜,减少对皮肤的刺激。

2减少对皮肤的刺激,选用纯棉宽松衣物
宝宝的衣物和盖被应该选择舒适的浅色纯棉制品,尽量减少化纤、皮毛制品对肌肤的刺激。穿衣也要尽量宽松,穿盖不宜太多。
宝宝的湿疹和痱子一直是困扰着妈妈们的两大超级难题。在日常生活中,不管是湿疹还是痱子,在经过科学的护理仍未见好转之后,一定要寻求医生的帮助,不要擅自给宝宝滥用激素类药膏,以免危害宝宝健康。
—参考文献—
[1]Atopic Dermatitis: Skin-Directed Management,American Academy of Pediatrics December 2014, 134 (6) e1735-e1744
[2]白晓云.婴儿湿疹临床表现与治疗的相关研究进展[J].广东化工,2019,46(20):67-69.
[3]匡文娥.婴儿湿疹的治疗与护理[J].基层医学论坛,2019,23(27):3995-3996.
[4]赵绘.痱子和痱毒[J].中国农村医学,1982(03):10-11.
[5]叶焱.夏季儿童痱子的防治[J].新农村,2003(07):26.