现在的学生*党**,有几个是不玩手机不玩平板电脑的?有点年轻人甚至刷牙时都在看剧刷微博……这样会导致什么样的后果?牙齿没刷干净呗!
之前就有媒体报道,每天有90%的中国人“假装在刷牙”,说的可能就是你!并且报道中还提到,中国人平均的刷牙时间只有1分钟,很多人都是凭借从小到大的习惯,嘴里含一口水,拿起牙刷洗唰唰,然后就匆匆完事了。
据统计,不好好刷牙的人,患龋齿的几率是坚持正常刷牙人的 2.67 倍,牙周疾病也随之而来。
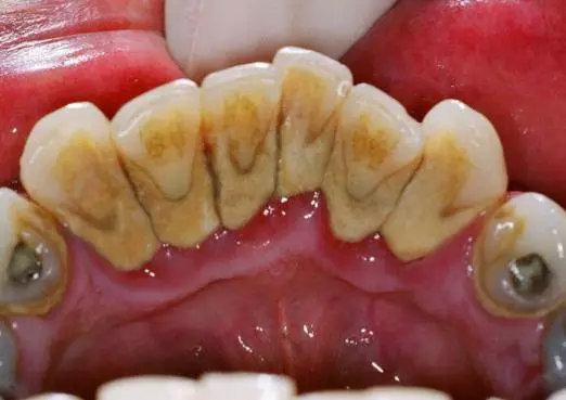
虽然每天都刷两次牙,但是外面的是干净了,但是里面却结了一层很硬的、黄黄的东西!这究竟是什么?

其实,这种黄色物质就是牙结石的初始形态,又被叫做牙垢,是沉积在牙面上已钙化的或正在钙化的菌斑及其他沉积物,一般是食物残渣、坏死脱落的口腔上皮细胞及唾液中的矿物质。

钙化是沿着牙菌斑附着牙面的内侧发生、持续进行的,刚开始形成时较软,大约数月后达到极点,就会如水壶里的水垢一样坚硬。虽然咀嚼食物、舌颊压力等原因,牙结石不会无限制地沉积,但牙结石终究不是什么好看的东西!
而牙结石是如何形成的?广大口腔医院的专家解释道:
大致分为三个阶段,第一阶段:吃东西5分钟后,残留在口腔中的食物就开始形成牙菌斑,

第二阶段则是12小时后,牙菌斑正式诞生,10天内就会发展壮大,

第三阶段就轮到牙菌斑开始老去,与口腔唾液和新的食物残渣钙化,形成牙结石,一代代地慢慢堆积,越来越大,越来越硬,直到刷牙也无法清除的地步。
牙结石的规模壮大之后,就会开始扰袭你的牙齿,会慢慢侵蚀牙齿,特别是牙龈,这个时候刷牙刷出血、牙龈红肿、口臭什么的,统统都来了!
随着牙结石的“根基”进一步巩固,牙周病也会形成,再进一步,牙齿甚至会开始松动脱落。

广大口腔专家说——其实刷牙只能清除牙齿表面和舌苔上的食物残渣,而牙线也只是清除牙间隙内的脏东西,但牙齿背面却一直是个死角位置,牙垢一旦钙化,牙齿背面将会成为牙周病的“第一案发现场”。那我们该怎么办呢?答案只有一个:洗牙!