“胃粘膜下隆起性病变性质待定”,现在经常看到胃镜医生会给一个这样的诊断,病人看到后常常很紧张,因为不懂往往无所适从,有的甚至吓得不轻。
遇到这种情况怎么办?
首先,要搞清楚什么是胃粘膜下隆起,必须先明确胃壁的结构,胃壁分几层?粘膜下指什么?
胃壁分四层:粘膜层、粘膜下层、肌层、浆膜层。

1、粘膜层:
包括上皮层、固有层、粘膜肌。
2、黏膜下层
由疏松结缔组织和弹力纤维组成,起缓冲作用,此层含有较大的血管、神经丛和淋巴管。
3、肌层
胃壁的肌层很发达,由三层平滑肌组成。外层为纵形肌、中层为环形肌、内层为斜形肌。
4、浆膜层
胃壁的浆膜层是胃的外膜,实际上是腹膜覆盖在胃表面的部分。
胃粘膜下隆起,其实简单的说就是在胃的粘膜层以下的隆起,区别于生长在胃粘膜表面的隆起性病灶。这样的病灶通常胃镜下所见粘膜表面是完整、光滑的。
随着这几年胃镜下微创治疗的广泛开展,胃粘膜下隆起绝大多数都可以通过胃镜做微创手术,不像以前需要开腹或腹腔镜手术。
因为有了治疗的手段,某种程度上也促使内镜医生更关注胃粘膜下隆起的检查。
所以这几年胃镜报告上,常常会出现“胃粘膜下隆起性病灶”的诊断。

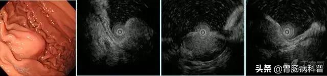
图 1
图 1 A-B 胃体上后壁间质瘤;D-E 胃窦前壁间质瘤,以上病变均起源于黏膜第四层,与周围黏膜界线清晰,与肌层延续处可观察到「喇叭口」样结构(箭头所示)
有胃粘膜下隆起的病人常常会遇到几个问题:
1、胃粘膜下隆起一般都不做活检。曾经有病人质疑,为什么发现隆起,不给我取活检?其实很简单,既然在粘膜下,一般活检是不可能取到有意义的组织的。也就是说取了也白取,没有意义。
2、胃粘膜下隆起一般医生都会建议做EUS检查。其实就是做超声内镜检查。也就是说在胃里做超声波检查,这样可以判断粘膜下隆起到底位于胃壁的哪一层?到底有多大?大概属于什么性质的东西(囊性、实性等等)?
3、有些病人还需要结合CT检查。有些粘膜下比较大的隆起性病灶,有时还需要结合CT检查,以进一步判断病灶的性质、大小、与邻近组织的关系等等,以便选择最佳的治疗方法。
胃粘膜下隆起常见哪些情况呢?
1、腔外压迫。一种是正常器官的压迫,比如脾脏压迫,导致胃里看到粘膜下隆起。另一种是腹腔其它部位的肿瘤,比如胰腺的囊肿、胆囊肿瘤等等。B超或CT检查有利于鉴别。
2、囊性包块或血管。这种情况多见于囊肿、血管畸形等等,多属于良性,一般不需要处理。
3、实质性肿块。多见间质瘤、平滑肌瘤、脂肪瘤、异位胰腺等等,从大小可以几毫米到几公分不等,常常需要借助超声胃镜、CT等进一步检查,具体性质往往需要术后病理明确。

图 2胃神经内分泌瘤。
白光下胃体下前壁可见扁平黏膜下隆起,表面可见血管显露,EUS 下黏膜深层-黏膜下层可见低回声病变
而这样的粘膜下隆起预后好坏,除了与病变不同有关系外,比如脂肪瘤预后很好。

图 3胃平滑肌瘤。
A 胃体小弯可见黏膜下隆起;B EUS 下固有肌层可见圆形、均匀低密度回声;C-D HE 可见梭形细胞,免疫组织化学可见α-SMA(+)
也常常与病变大小密切相关,比如小的间质瘤预后良好,而大的间质瘤常常恶性程度高,容易转移复发,有些还需要化疗,具体情况也还要结合术后病理结果分析。

图4 异位胰腺(浅型)。
白光胃角可见脐样黏膜下隆起,超声内镜下可见黏膜肌层-黏膜下层有一界线不清之偏高回声病变

图5 胃体异位胰腺(深型)。
白光下胃体大弯可见半球型黏膜下隆起,超声内镜下可见一界线模糊的偏高回声病变,起源于黏膜下—固有肌层,类似肌层增厚表现
看了以上的介绍,相信大家不难看出,胃粘膜下隆起单纯胃镜甚至结合超声胃镜和CT检查,都不能完全确定病变的性质,只有术后病理,才能确诊。
胃粘膜下隆起是不是都需要手术呢?
其实胃粘膜下隆起并不是一定都需要手术。
比如腔外正常器官的压迫、脂肪瘤、血管瘤(血管畸形)、粘膜下囊肿等等完全不需要手术,而对于一些小于一公分的、考虑可能是间质瘤、平滑肌瘤的,也可以暂时不手术,注意定期复查。
但有一点,如果你一定希望明确粘膜下隆起到底是什么,那必须手术获得病理,才能明确。
胃粘膜下隆起一般需要选择什么手术方式呢?
随着这些年胃镜技术的飞速发展,现在很多胃粘膜下隆起已经不需要开腹或行腹腔镜手术了。
ESD(内镜粘膜下剥离术)、POEM(经口内镜下肌切开术)、以及隧道技术等等已经完全可以解决绝大多数胃粘膜下隆起的微创手术治疗。
胃粘膜下隆起术后需要注意什么?
这里特别要强调的是术后病人一定要记得看看病理结果。尽管大多数胃粘膜下隆起都是良性病变,但具体情况还是需要病理判断。
术后多久需要复查、需不需要进一步治疗,也需要结合病理情况决定。
比如比较大的间质瘤,根据病理免疫组化判断,如果恶性程度较高,一定要密切随访,有的还需要结合化疗。