
头晕或眩晕,是老年人最常见的临床症状之一,有的人描述为头重脚轻,有倾倒感、摇晃感醉酒感或者踩棉花样的感觉,而有的人则描述为天旋地转、不敢睁眼,仿佛自己在旋转或者周围的物体在旋转。对于后者的体验,可能几乎每个人都会立即到医院诊疗,而对于前者的体验,有些人却并不怎么当回事,尤其是对那些几乎每天都有感觉到头晕 / 眩晕的老年人来说,更是不怎么在意。但相对来说,那些头晕轻的患者,其病重的风险可能是最大的。最近我院就来了一头晕相对较轻的老年患者,其救治的及时性和家属的积极、配合,让该患者躲过了残疾甚至死亡的风险。
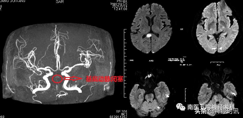
这位 74 岁阿婆,因头晕 1 天,加重并伴有全身乏力半天入院,只是感觉头脑晕沉,平时有高血压,说话以及手脚活动都没大碍,也没有肢体麻木、视物不清等不适,急诊就诊后就收进了我院心血管内科,管床医生接诊体查后凭借其多年的临床经验,并不认为是高血压病引起,就给她申请了一个头颅的检查,检查后着实让人吓了一跳,霍,脑子里的一条大血管不见了,并且其他序列还有异常信号影,如下图所示,考虑为脑梗死,就紧急邀请了神经内科医生会诊。

神内医生王亚军医师赶到后查看患者并结合其检查,诊断明确,就是脑梗塞,并且是基底动脉大血管梗塞,但症状却非常不典型,诊断困难,只有通过影像学检查才能明确,并且该动脉闭塞很是凶险,即使积极救治,其后期残疾或死亡的风险仍接近 80% ,也就是患者随时有致残或危及生命的可能,建议转神经内科积极治疗,心内科医生一刻也不敢耽误,立即办理转科流程,转入神经内科后查体患者言语变得不清,一侧肢体也变得没有力了,患者病情在逐渐加重,因是大血管堵塞,建议积极行介入手术治疗,开通堵塞的血管,该手术创伤小、出血少、疼痛轻、恢复快,但也有一定的风险,家属慎重考虑后同意手术治疗,我科遂联系导管室、麻醉科医师及神经介入手术相关人员行手术治疗。术中造影明确血管闭塞部位,全麻后,经积极的首过效应并给予单纯球囊扩张成形术后闭塞血管再通,且远端血管 血流充盈良好,观察十分钟后再次造影远端血流依然充盈良好,结束手术。

术后三天患者下床走路,头晕较前明显缓解,一周后患者出院,出院时言语清晰,无肢体麻木且肢体活动有力,恢复的和平时无区别。
虽然由大血管闭塞引起的急性脑梗死,目前相关指南只强烈推荐前循环大血管闭塞行血管内介入治疗,后循环大血管闭塞尚没有给出明确的指南推荐,但不得不承认一些后循环大血管闭塞的患者行血管内介入治疗后能收到很好的临床预后,特别是救治时间越及时,效果越好,所以对后循环大血管闭塞的救治探索仍任重道远。
该患者因头晕入院,头晕分类通常分为周围性头晕和中枢性头晕,周围性头晕虽然症状比较重,高达 50%~70% ,但预后结果常常较好;而占 20%~30% 的中枢性头晕,虽然比例小,但预后常常较差,严重时危及生命 。也许有些头晕有自限性,但有些头晕却是致命的,特别是有高血压、糖尿病、冠心病或血脂异常等基础病的老年人,患了头晕千万不要等,积极就诊于神经内科或耳鼻喉科,无论中枢性还是周围性,我们必为您的健康保驾护航。
南医五院神经内科制定了科室的三大业务建设特色是:卒中中心,危重病房,眩晕症。年门诊量: 3.5万,年住院量:3200人次;每年收治急性脑卒中病人1000人以上,脑血管病水平居于全省领先水平,每年静脉溶栓100人次以上,可熟练运用SWIM、ADAPT技术进行机械取栓手术,颅内动脉,颈动脉,锁骨下动脉,椎动脉球囊扩张、支架成形手术等均可熟练开展,2019年被中国卒中学会授予“综合卒中中心”并连续3年进入脑卒中数据管理全国前100强;获评“优秀卒中数据管理中心”,目前处于建设高级卒中中心的迎评阶段。对眩晕症尤其是耳石症提供精准的定位判断和手法复位,耳石复位成功率位于全省前列;床边TCD、床边脑电图等诊疗技术在我科均能熟练开展。床边神经康复大部分得到开展,对病人的吞咽功能、日常生活能力、焦虑、抑郁等心理障碍能进行有效评价和治疗,是国家帕金森联盟及地图基地,对帕金森病人提供规范诊治建议。是华南中枢神经系统感染联盟单位,同时收治:癫痫、痴呆、周期性瘫痪各类神经疼痛及神经损伤、脊髓疾病及脊髓亚急性联合变性、运动神经元病、Alzheimer病、重症肌无力等疾病。
南医五院神经内科自 2000年被评为“广州市青年文明号”,2007年被评为“广东省青年文明号”。2013年顺利定期通过省级青年文明号星级动态复审。自创建青年文明号以来,多人次被医院评为先进个人。3人次被评为“广州市青年岗位能手”。“团结精诚”是科室的核心文化理念被月发行量60万份的广东省老干局创办的《秋光》杂志重点报导。科室以创建“广东省青年文明号”为抓手,在科室的东走廊建设文化长廊,由著名书法家题字“善德博爱、悬壶济世、生命所托健康所系”,让每一位医护人员无时无刻地接受医学人文熏陶,回归从医初衷,每季度在科室开展“和谐之星”、“服务之星”、“调皮蛋”的“两星一蛋”评比,有效地促进了科室医护人员的沟通和团结、加强了科室以病人为中心,以科室为家的服务意识和团队理念,近5年获得广东省卫生科研基金项目1项、广东省中医药局基金项目3项、,同时积极开展脑血管病预防宣传工作,“红手环”项目至今已经覆盖从化地区82个地点,受惠的基层医护人员和群众超过30000人次以上,对中风患者提供肢体功能康复指导,开设卒中门诊,定期回访,深受广大患者群众的好评。并已经形成了稳定成熟的科普品牌文化。开创了公众号、现场宣教、线上网络直播、电台广播、音乐会卒中宣传带动的全覆盖方式。2019获广东省“益苗计划”资助项目、2020年获得中国卒中学会“中风120先锋站”及“中风120最佳创意奖”“中风120英雄”等光荣称号。每月召开病友会,零距离、面对面、手把手的宣教深受患者的欢迎,卒中的知识也得到普及。大力推进延续护理服务:患者出院1周、1个月、3个月、6个月进行随访,形式多样化(电话、微信、上门随访)。2019、2020年全院品管圈大赛蝉联最佳表现奖。获得2019年全国品管圈大赛二等奖。2年来获得横向课题3项。
编辑:王亚军
审核:黄艺洪