CAR-T(Chimeric Antigen Receptor T-Cell Immunotherapy),即嵌合抗原受体T细胞免疫疗法。该疗法是一种出现了很多年但近几年才被改良使用到临床中的新型细胞疗法。在急性白血病和非霍奇金淋巴瘤的治疗上有着显著的疗效,被认为是最有前景的肿瘤治疗方式之一。正如所有的技术一样,CAR-T技术也经历一个漫长的演化过程,正是在这一系列的演化过程中,CAR-T技术逐渐走向成熟。
这种新的治疗策略的关键之处在于识别靶细胞的被称作嵌合抗原受体(chimeric antigen receptor, CAR)的人工受体,而且在经过基因修饰后,病人T细胞能够表达这种CAR。在人体临床试验中,科学家们通过一种类似透析的过程提取出病人体内的一些T细胞,然后在实验室对它们进行基因修饰,将编码这种CAR的基因导入,这样这些T细胞就能够表达这种新的受体。这些经过基因修饰的T细胞在实验室进行增殖,随后将它们灌注回病人体内。这些T细胞利用它们表达的CAR受体结合到靶细胞表面上的分子,而这种结合触发一种内部信号产生,接着这种内部信号如此强效地激活这些T细胞以至于它们快速地摧毁靶细胞。
近年来,CAR-T免疫疗法除了被用来治疗急性白血病和非霍奇金淋巴瘤之外,经改进后,也被用来治疗实体瘤、自身免疫疾病、HIV感染和移植排斥等疾病,具有更广阔的应用空间。基于此,针对CAR-T细胞疗法取得的最新进展,小编进行一番盘点,以飨读者。
1.Nat Med重大突破!北大开发更安全的新型CAR T疗法
doi:10.1038/s41591-019-0421-7
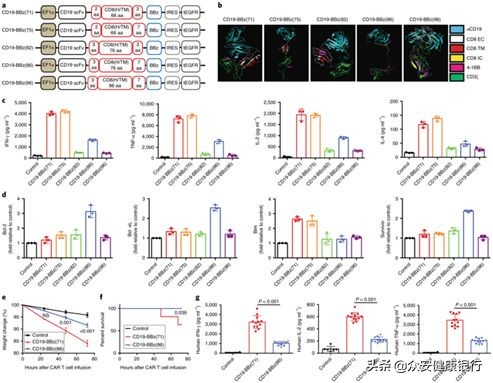
CAR T疗法近日取得了重大突破,来自北京大学肿瘤医院的朱军教授团队和南加州大学Si-Yi Chen教授团队合作在Nature Medicine上发表了最新研究,表明他们的新方法可以消除CAR T疗法的严重副作用,使得这种疗法更加安全。

图片来自doi:10.1038/s41591-019-0421-7。
“这是一个重大突破。”南加州大学Norris癌症综合中心的Si-Yi Chen教授说道。“我们创造了一个全新的CAR 分子,可以有效*伤杀**癌细胞,但是发挥作用的速度更慢,毒副作用更小。”在25名淋巴瘤病人身上进行的实验表明这种改进版的CAR T疗法不会产生严重副作用。尽管这项研究的目的是测试这种CAR T 疗法的安全性,但是11名接受常规剂量治疗的病人中有6名病人已经进入完全消退期。
CAR T疗法通过将病人血液中的T细胞分离后进行工程化处理,使其表面携带嵌合抗原受体(chimeric antigen receptors, CARs),随后这些细胞被回输到病人血液中,它们可以识别并*伤杀**癌细胞。这种疗法已经被FDA批准一年多,事实证明它是一部分白血病和淋巴瘤病人的救命稻草,给那些濒临死亡的病人带来了持久的疾病消退。但是这种疗法常常会产生严重甚至致命的副作用。这些副作用主要由于CAR T细胞在血液中快速增殖并释放大量细胞因子产生,严重的细胞因子释放综合征会导致致命的多器官损伤和脑水肿。
而在这个最新的CAR版本中,研究人员调整了CAR 的序列和形状,使得这些CAR T细胞可以*伤杀**癌细胞,但是产生的细胞因子更少,增殖速度更慢,因此血液有足够的时间清除细胞因子。
“这个改进版的CAR T细胞可以在病人体内增殖并分化为记忆细胞,因此会产生强烈而持久的抗癌效应,同时我不会引起毒副作用。”Chen说道。“毒副作用是现在CAR T疗法面临的最大问题,我们希望这种改进版的CAR T疗法可以用于治疗门诊病人。”
2.PNAS:基于纳米抗体的CAR-T细胞有望治疗实体瘤
doi:10.1073/pnas.1817147116
1989年,比利时布鲁塞尔自由大学的两名本科生被要求测试骆驼的冷冻血清,偶然间发现了一类以前未知的抗体。它是人体抗体的小型化版本,仅由两条重蛋白链组成,而不是由两条轻链和两条重链组成。正如他们最终报道的那样,这类抗体的存在不仅在骆驼中得到证实,而且也在美洲驼和羊驼中得到证实。
嵌合抗原受体(CAR)-T细胞疗法具有很高的治疗血癌的前景,它通过对患者自身的T细胞进行基因改造,使得它们更好地攻击癌细胞。比如,达纳-法伯/波士顿儿童癌症癌症与血液疾病中心当前正在利用CAR-T细胞疗法治疗复发性急性淋巴细胞白血病(ALL)。但是,CAR-T细胞并不擅长清除实体瘤。人们在实体瘤上很难找到可以作为安全靶标的癌症特异性蛋白。实体瘤也受到胞外基质和免疫抑制分子的保护,其中胞外基质是一种起着屏障作用的蛋白网络,免疫抑制分子削弱T细胞攻击。
30年后,在一项新的研究中,来自美国波士顿儿童医院和麻省理工学院的研究人员发现这些微型抗体(mini-antibody)经进一步缩小后可形成所谓的纳米抗体(nanobody),可能有助于解决癌症领域的一个问题:让CAR-T细胞疗法在实体瘤中发挥作用。相关研究结果于2019年4月1日在线发表在PNAS期刊上,论文标题为“Nanobody-based CAR T cells that target the tumor microenvironment inhibit the growth of solid tumors in immunocompetent mice”。论文通讯作者为波士顿儿童医院细胞与分子医学项目免疫学家Hidde Ploegh博士。论文第一作者是波士顿儿童医院细胞与分子医学项目的研究生Yushu Joy Xie。
通过在两种不同的黑色素瘤小鼠模型中进行测试,这些基于纳米抗体的CAR-T细胞杀死肿瘤细胞,显著减缓肿瘤生长并改善这些小鼠的存活,并且没有产生明显的副作用。Ploegh认为这些经过基因改造的T细胞通过多种因素发挥作用。它们对肿瘤组织造成损伤,而这往往会刺激炎症免疫反应。靶向EIIIB可能以一种减少肿瘤血液供应的方式损害血管,同时让它们对癌症药物更具渗透性。
3.JEM:首次直观地观察到CAR-T细胞抵御血液癌症的过程
doi:10.1084/jem.20182375
当癌症从机体免疫系统中逃逸时,我们的防御系统就会变得无能为力无法有效抵御癌症,嵌合抗原受体T细胞(CAR T细胞)或许就能展现出一种潜在的免疫疗法,其能有效应对肿瘤,但某些患者疾病的复发往往给当前的疗法提出了巨大挑战,近日,来自巴斯德研究所等机构的科学家们通过研究鉴别出了CAR T细胞的精确功能,或能优化未来癌症的治疗手段,相关研究刊登于国际杂志The Journal of Experimental Medicine上。

图片来自图片来源:tasnimnews.com。
研究人员首次观察到了CAR T细胞抵御肿瘤的过程,利用新型高分辨率体内成像技术,研究者观察到了淋巴瘤小鼠的骨髓组织,这就能帮助他们调查CAR T细胞的整体行为并实时分析CAR T细胞和肿瘤之间的相互作用。即使CAR T细胞相比其它细胞而言更具活性,但研究者指出,一般而言,一种CAR T细胞能够直接在识别靶点大约25分钟内疚能杀灭肿瘤细胞。
研究者Philippe Bousso说道,基于实验性数据的数学模拟技术证实,CAR T细胞的效率在于它们会直接参与并杀灭癌细胞而不是将其它免疫细胞招募至肿瘤部位,此外,能够浸润到骨髓中的CAR T细胞数量或在治疗效率上也扮演着关键角色。然而目前细胞浸润的一个主要障碍就是,血液中的CAR T细胞能够遇到肿瘤细胞和表达CD19的B淋巴细胞;研究者还观察到,CAR T细胞能形成细胞聚集物,其会被困在肺循环中,抑制其迁移到肿瘤位点,因此在注射CAR T细胞之前降低表达CD19细胞的水平或许就能够改善小鼠的总体存活率。
研究者还发现,细胞活性水平的差异还依赖于其解剖部位,骨髓中CAR T细胞的活性要明显强于其它肿瘤位点,比如淋巴结等,这就使其能够对肿瘤细胞施加选择性压力并促进无法表达CD19的细胞出现。最后研究者Philippe Bousso总结道,通过识别能够发挥作用的CAR T细胞的优缺点或许就能帮助开发新型策略来利用CAR T细胞的活性有效治疗癌症患者。
4.Science子刊:利用CAR-T细胞有望治疗狼疮
doi:10.1126/scitranslmed.aav1648
尽管CAR-T细胞在治疗白血病和淋巴瘤方面声名鹊起,但科学家们如今证实它们能够治疗其他疾病。系统性红斑狼疮是一种自身免疫疾病。在自身免疫疾病中,B细胞产生的自身抗体导致其他的免疫细胞攻击多种组织。科学家们和临床医生试图通过清除B细胞来治疗狼疮,但没有取得成功。
在一项新的研究中,来自美国田纳西州大学健康科学中心的研究人员报道利用经过基因修饰表达靶向CD19的嵌合抗原受体(CAR)的T细胞杀死两种狼疮小鼠模型中的B细胞。这种疗法根除B细胞产生的自身抗体并延长这些小鼠的生命。相关研究结果发表在2019年3月6日的Science Translational Medicine期刊上,论文标题为“Sustained B cell depletion by CD19-targeted CAR T cells is a highly effective treatment for murine lupus”。论文通讯作者为田纳西州大学健康科学中心分子免疫学家Marko Radic。
这些研究人员从已显示出疾病迹象的两种不同的狼疮小鼠模型中纯化出T细胞。他们随后将一个基因导入这些T细胞中,这样它们就表达一种靶向CD19的CAR受体。他们在体外对这些经过基因修饰的T细胞进行大量培养并将它们注射回这些小鼠体内。他们证实相比于对照小鼠,通过CAR-T细胞清除CD19阳性B细胞和自身抗体的小鼠具有更长的寿命以及更健康的脾脏、肾脏和皮肤。他们还发现这些被导入的CAR-T细胞可持续至少一年的时间,并且同时继续降低B细胞的数量。
5.Blood:中和GM-CSF增强CAR-T细胞功能并降低它的神经毒性等副作用
doi:10.1182/blood-2018-10-881722
嵌合抗原受体T细胞(CAR-T)疗法是癌症治疗的新支柱,但是,因存在毒副作用,它的应用受到限制。这些毒副作用包括细胞因子释放综合征(CRS)和神经毒性。虽然IL-6R拮抗剂托珠单抗(tocilizumab)被批准用于治疗CRS,但是目前尚没有批准的治疗与靶向CD19 的CAR-T细胞(CART19)疗法相关的神经毒性的方法。近期的数据表明单核细胞和巨噬细胞促进CAR-T细胞治疗后的CRS和神经毒性产生。
在一项新的研究中,美国梅奥诊所的研究人员研究了将中和GM-CSF(granulocyte-macrophage colony-stimulating factor, 粒细胞-巨噬细胞集落刺激因子)作为一种控制CART19细胞相关毒副作用的潜在策略。他们证实利用lenzilumab中和GM-CSF并不会在体外和体内抑制CART19细胞功能。相关研究结果发表在2019年2月14日的Blood期刊上,论文标题为“GM-CSF inhibition reduces cytokine release syndrome and neuroinflammation but enhances CAR-T cell function in xenografts”。
再者,在利用lenzilumab中和GM-CSF后,在患者来源的异种移植物中,CART19细胞增殖得到增强,并且对白血病的持久控制得到较好保持。在出现CRS和神经炎症的急性淋巴性白血病异种移植模型中,GM-CSF中和导致髓样细胞和T细胞在中枢神经系统中的浸润减少、神经炎症显著下降并阻止CRS产生。
最后,这些研究人员在CAR-T细胞制造期间通过CRISPR/Cas9破坏GM-CSF,构建出缺乏GM-CSF的CART19细胞。与正常的CART19细胞相比,这些缺乏GM-CSF的CAR-T细胞维持正常功能并且在体内具有增强的抗肿瘤活性,以及提供了总体存活率。
6.Nature:重磅!在CAR-T细胞疗法中,找到一种抵抗T细胞衰竭的新策略
doi:10.1038/s41586-019-0985-x
越来越多的癌症患者正在接受一种有前景的称为CAR-T细胞疗法的新疗法。在这种疗法中,将患者自身的T细胞从体内取出,它们经过基因改造后更好地识别癌细胞。这些经过基因改造的T细胞随后被灌注回患者体内,在那里它们发起免疫反应以摧毁癌症。CAR-T细胞疗法挽救了血癌患者的生命,但是存在一个缺点:由于一种称为T细胞衰竭(T cell exhaustion)的现象,进入实体瘤的T细胞可能停止发挥作用。

图片来自Nature, 2019, doi:10.1038/s41586-019-0985-x。
如今,在一项新的研究中,来自美国拉霍亚免疫学研究所(LJI)的研究人员找到了一种抵抗T细胞衰竭并让CAR-T细胞疗法更有效的方法。他们发现一个称为Nr4a转录因子的蛋白家族在调节与T细胞衰竭相关的基因方面起着突出作用。通过使用小鼠模型,他们证实利用缺乏Nr4a转录因子的CAR-T细胞治疗小鼠可让肿瘤缩小和提高生存率。相关研究结果于2019年2月27日在线发表在Nature期刊上,论文标题为“NR4A transcription factors limit CAR T cell function in solid tumours”。论文通讯作者为拉霍亚免疫学研究所信号转导与基因表达部门的Anjana Rao博士和James P. Scott-Browne博士。
这些研究人员证实Nr4a转录因子确实在调节T细胞衰竭中发挥作用。接受Nr4a缺失的CAR-T细胞输注的大多数小鼠存活下来,而且它们的肿瘤在90天的实验过程中发生消退并保持较小的体积。相反,几乎所有接受具有天然存在的Nr4a转录因子的正常CAR-T细胞输注的小鼠在第35天死亡死于它们的肿瘤。
7.因图片重复等问题,Nature期刊撤回一篇关于利用CAR-T细胞疗法治疗脑癌的论文
新闻来源:Nature Retracts Paper on Delivery System for CAR T Immunotherapy
2018年9月,由美国贝勒医学院科学家领导的27名研究人员在Nature期刊上发表了一篇标题为“A homing system targets therapeutic T cells to brain cancer”的论文。这篇论文报道了一种允许免疫细胞胞越过血脑屏障并靶向难以触及的脑瘤的新技术。在出版后同行评审网站PubPeer上收到50多条匿名的评论后,这篇论文于2019年2月20日被撤回。
在这篇论文中,贝勒医学院肿瘤学家Nabil Ahmed、在贝勒医学院从事多年研究的埃及儿童癌症医院57357(Children’s Cancer Hospital Egypt 57357)研究员Heba Samaha及其同事们针对很难让免疫疗法中使用的免疫细胞到达脑癌的难题提出了一种潜在的解决方案。Ahmed是这篇论文的通讯作者。Samaha是这篇论文的第一作者。这些研究人员报道了利用一种“归巢系统”对T细胞细胞进行改造,使得它们牢固地结合血管表面上的分子,并给它们添加一种能够识别癌细胞的嵌合抗原受体(CAR),这样它们在小鼠中能够成功治疗胶质母细胞瘤,即一种侵袭性的脑癌。
起初,这些发现得到了积极的关注。这项研究在Nature期刊News & Views专栏发表的一篇文章中进行了讨论,在关联期刊Nature Immunology上作为研究亮点加以发表,并获得了一篇新闻稿报道、媒体报道和多次引用。Samaha在这篇新闻稿上说道,“这些研究结果是非常鼓舞人心的。我们观察到在所有接受治疗的动物中,带有这种归巢系统和CAR的T细胞让肿瘤大幅缩小。”
但是从2018年10月---也就是这篇论文在线发表几周后---开始,这篇论文中有关潜在图片处理的评论开始出现在PubPeer网站上,这个问题很快在社交媒体上引起了科学家的注意。
澳大利亚国立大学遗传学家Gaetan Burgio针对这份论文手稿发表了一篇广为流传的推文,在这篇推文中,他指出在这篇论文中鉴定出的所谓图片重复的程度是“相当特殊的”。他告诉《科学家》杂志,“如果你看一下[PubPeer]上的评论,那么你会发现差不多每张图片都存在重复的说法. . .而且原始数据与这篇论文中的图片并不相符。”
在这些评论在PubPeer上发表大约一周后,Nature期刊在这项研究中添加了一个编辑说明,意在提醒读者该期刊已开始调查对这篇论文中的数据提出的担忧。
根据2019年2月20日发布的这份撤回通知,“鉴于这篇论文中的图片表示和基础数据存在问题”,论文作者们正在撤回论文。在这27名论文作者中,除了Samaha之外,其他的论文作者都同意撤回这篇论文。
Ahmed在发送给《科学家》杂志的一封电子邮件中写道,“不幸的是,在这篇论文的几张图片的表示和基础数据中发现了问题。我立即通知了贝勒医学院的研究办公室,他们正在调查这些问题的原因。”
8.Sci Rep:新方法可监控CAR-T细胞
doi:10.1038/s41598-018-38258-z
嵌合抗原受体-T(Chimeric Antigen Receptor-T,CAR-T)细胞疗法已经在血液瘤病人身上产生了显著的疗效。但是这个领域存在的挑战之一就是缺乏检测免疫效应细胞表面CARs的简单有效方法。为此,近日来自南加州大学Keck医学院的研究人员开发了一种新的基于荧光素酶的方法(研究人员称之为Topanga试验)去检测T细胞表面CARs的表达。这个方法利用了一种叫做Topanga试剂的重组融合蛋白,由CAR靶标的胞外结构域和海洋荧光素酶或者其衍生物组成。
这个方法涉及将表达CAR的细胞与Topanga试剂共同孵育、几次洗涤以及荧光检测。这个方法可以检测基于免疫球蛋白或者非免疫球蛋白抗原结合结构域的CARs。
研究人员还发现在Topanga试剂上加上一个表位标签不仅可以实现一步纯化过程,还使得这个试剂可以通过流式细胞术来检测CARs细胞。同时,包含分泌的Topanga试剂的上清液可以不经任何蛋白纯化直接用于生物发光检测或者是流式细胞术检测。
基于此,研究人员认为Topanga试验是一种高度敏感、高度特异性、方便、实惠而功能齐全的检测CARs的新方法。
9.Sci Signal:科学家揭示CAR T细胞发挥抗癌疗效的分子机制
doi:10.1126/scisignal.aap9777
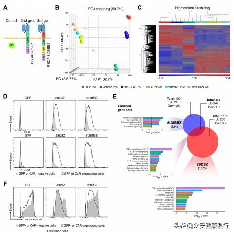
科学家们在过去十年中在开发一种新型的抗癌疗法——免疫治疗中取得了巨大的成功,这是一种通过激活人体自身免疫系统来攻击癌细胞的疗法。其中一种免疫治疗叫做嵌合抗原受体(CAR)T细胞疗法,已经在某些癌症病人身上取得了喜人的疗效,而两种CAR T细胞疗法(Kymriah和Yescarta)已经被美国FDA批准用于治疗急性成淋巴细胞性白血病和大B细胞淋巴瘤。尽管取得了如此巨大的成功,但是科学家们仍然没有完全搞清楚CAR T细胞发挥功能的机制。而近日一个由莫菲特癌症研究中心的研究人员完成的最新研究解决了这个问题,并阐明了CAR T细胞发挥作用的具体机制,相关研究成果于近日发表在《Science Signaling》上。

图片来源:Sci Signal。
考虑到CAR T细胞疗法的使用越来越广泛,莫菲特的研究人员认为明白这些疗法在病人体内发挥作用的具体机制至关重要。为了更好地明白CAR T细胞如何发挥效应,来自莫菲特的一个多学科研究小组使用了一系列基于蛋白组学的手段去比较靶向癌细胞上相同分子但是胞内设计和抗癌活性不同的CAR T细胞。研究人员发现第二代和第三代受体可以结合一系列分子,其中一些甚至是功能相反的。重要的是,只有第二代CARs能够刺激类似于自然版本的CD3ζ的表达。研究人员发现第二代受体的这个活性依赖于胞内区域的结构设计,而与共刺激分子受体或者是结合区域的结构无关。此外,通过详细的磷酸蛋白组学分析,研究人员发现与第三代受体相比,第二代受体能够更有效地激活下游信号分子。
“这些结果表明第二代CARs可以激活其它来源的CD3信号,这也许导致了更强烈的信号和更有效的抗癌效应。”领导该研究的莫菲特免疫学系副教授Daniel Abate-Daga博士说道。该研究团队希望他们的研究可以让研究人员对CARs有更深入的了解,从而改善CAR的设计和抗癌活性。通过系统分析与CARs相互作用的信号蛋白及不同CARs结构激活的信号通路,研究人员可以提供新工具用于开发功能更可控的新受体。
10.AXL蛋白靶向药物有望提高CAR-T细胞疗法治疗B细胞血癌的反应率
新闻来源:Researchers identify new strategies that may improve CAR-T cell therapy
在一项新的研究中,梅约诊所血液学者Saad Kenderian及其团队开发出一种新的策略,它可能改善嵌合抗原受体(CAR)T细胞(CAR-T细胞)疗法在治疗癌症中的表现。他们在美国圣地亚哥举办的2018年美国血液学会年会上介绍了他们的临床前研究结果。
Kenderian实验室博士后研究员Reona Sakemura博士说,“在CAR-T细胞治疗中,医生会提取出患者的T细胞,对它们进行基因修饰,从而使得它们能够识别和抵抗癌症。一旦将这些经过基因修饰的T细胞重新灌注回患者体内,它们就寻找和最终杀死癌细胞。”
Sakemura说,CAR-T细胞疗法的反应率因疾病而异。比如,在B细胞急性淋巴细胞白血病(B cell acute lymphoblastic leukemia)中,相比于常规的化疗,CAR-T细胞疗法的反应率在90%以上。在淋巴瘤和慢性淋巴细胞白血病等其他血癌中,CAR-T细胞疗法的反应率仍然很低。
为了提高CAR-T细胞治疗这些癌症的有效性,Sakemura及其同事们开发出一项策略,即将CAR-T细胞疗法与一种靶向 “AXL”蛋白的药物联合使用。这种蛋白存在于癌症表面上和癌症微环境内部。这种称为“TP-0903”的药物不仅能够杀死癌细胞,而且还会增强CAR-T细胞攻击癌细胞的效力,从而潜在地降低与CAR-T细胞治疗相关的毒性。
11.NEJM:针对CAR-T细胞疗法KYMRIAH的2期临床试验表明52%的弥漫大B细胞淋巴瘤患者反应良好
doi:10.1056/NEJMoa1804980
在一项利用tisagenlecleucel(商品名为KYMRIAH,一种CAR-T细胞疗法)开展 的II期临床试验中,一个国际研究小组评价了利用这种CAR-T细胞疗法治疗93名患有复发性或难治性DLBCL患者的疗效和安全性。他们发现52%的患者对这种疗法反应良好,其中的40%的人完全缓解,12%的人部分缓解。相关研究结果于2018年12月1日在线发表在New England Journal of Medicine期刊上,论文标题为“Tisagenlecleucel in Adult Relapsed or Refractory Diffuse Large B-Cell Lymphoma”。
在这些93名患者中,在治疗1年后,65%的患者没有复发,包括79%的完全缓解者。在这项称为JULIET或NCT02445248的临床试验中,患者中位无进展生存率尚未达标。在这次临床试验中,没有人死于这种治疗。
论文共同作者、美国芝加哥大学医学院细胞治疗项目主任、医学教授Michael Bishop博士说,来自JULIET临床试验的更多的有希望的数据“导致美国食品药品管理局(FDA)在2018年5月1*批日**准利用tisagenlecleucel用于治疗DLBCL”,“我们当前的结果表明这是具有提供长期益处的潜力的一个积极的迹象。”
Bishop说,“总的来说,这是非常令人兴奋的。在治疗12个月后的癌症复发是非常少见的。我们的第一位患者,在2016年5月接受治疗,已返回工作两年半了。这项临床试验表明CAR-T细胞疗法能够提供较高的持久缓解率。”
12.Cell:抑制谷氨酰胺代谢可改善CAR-T细胞免疫疗法的疗效
doi:10.1016/j.cell.2018.10.001
美国范德堡大学免疫生物学教授Jeffrey Rathmell博士和他的同事们之前已证实细胞燃料葡萄糖在促进炎症和清除病原体的T细胞的活化和功能中起着重要的作用。
在一项新的研究中,Rathmell团队将他们的注意力转向另一种主要的燃料:谷氨酰胺。他们证实谷氨酰胺会启动一种代谢信号通路,这种通路促进一些T细胞发挥功能,并且抑制其他的T细胞发挥功能。相关研究结果于2018年11月1日在线发表在Cell期刊上,论文标题为“Distinct Regulation of Th17 and Th1 Cell Differentiation by Glutaminase-Dependent Metabolism”。

图片来自Cell, doi:10.1016/j.cell.2018.10.001。
这些研究人员原本期待抑制谷氨酰胺代谢就像阻断葡萄糖代谢那样阻止T细胞的活化和功能。他们使用一种药物抑制谷氨酰胺代谢第一步中的谷氨酰胺酶(glutaminase)。他们还研究了谷氨酰胺酶编码基因遭到靶向剔除的小鼠。他们吃惊地发现在这些小鼠中,某些T细胞---即那些介导抗病毒反应和抗癌反应的T细胞---在谷氨酰胺酶活性缺乏的情形下表现得更好。其他的参与炎性疾病和自身免疫疾病的T细胞表现得比较差。
Rathmell说,这些研究结果与之前的针对癌细胞中谷氨酰胺代谢的研究相吻合。Rathmell说,“这种抑制谷氨酰胺酶的化合物在某种肿瘤中有效,在其他肿瘤中不起作用。这项研究发现的结果是对T细胞也是这样的:一些T细胞需要这种通路,一些T细胞不需要这种通路。如果我们阻断这种通路,引发自身免疫反应的T细胞表现不佳,但是具有抗癌作用的T细胞表现得更好。”
这些研究人员在过敏性哮喘、炎症性肠病和慢性移植物抗宿主病的小鼠模型中证实了清除谷氨酰胺酶活性可阻止炎症和疾病产生。这种谷氨酰胺酶*制剂抑**具有显著的安全性,有望改变用途用于潜在地治疗一系列炎性疾病和自身免疫疾病。
为了研究抑制谷氨酰胺酶对介导抗癌反应的T细胞的影响,这些研究人员在接受CAR(嵌合抗原受体)T细胞(CAR-T细胞)免疫疗法的小鼠模型中使用这种谷氨酰胺酶*制剂抑**。 CAR-T细胞是经过基因改造后特异性地识别癌细胞的T细胞,具有癌症*伤杀**能力。在这种小鼠模型中,他们发现接受这种谷氨酰胺酶*制剂抑**治疗能够增强CAR-T细胞的功能,但是这种增强的功能在一段时候后会丢失。较短地接触这种谷氨酰胺酶*制剂抑**可改善CAR-T细胞的功能,而且CAR-T细胞能够持续存在更长的时间。

