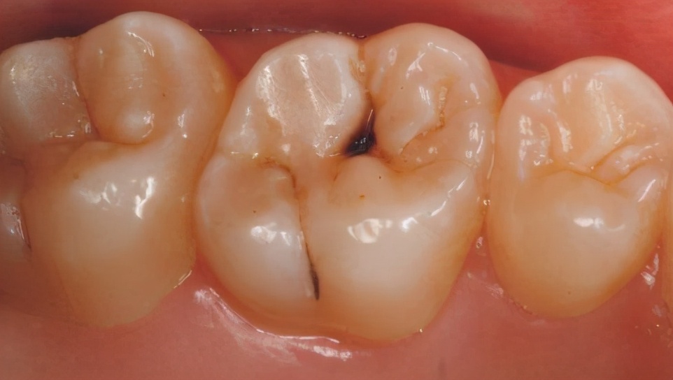
首先我们要正确地认识这个小黑点,究竟是什么原因导致的!一般来说,我们的牙齿出现小黑点,多是这两种情况:
1、色素沉着
如烟渍、茶渍、咖啡渍等。有喝茶或咖啡习惯的朋友应该能体会到,就算多么勤奋刷牙,残留在上面的茶渍、咖啡渍等是很难刷掉的。所以这时候,需要通过洗牙来去除!

2、蛀牙
另一种可能是,发生了蛀牙!从表面看是表现为一个黑点,如果这样的情况不及时干预,会由小黑点进而形成龋洞,形成蛀牙,这是一个慢性的过程,通常需要1.5-2年。
所以,发现后尽早地去处理是可以及时控制不让情况加重的;另外每半年或一年做一次口腔检查,也是可以及早发现问题及早治疗。

出现小黑点,要及时去医院检查,由专业的医生去判断是色素沉着还是蛀牙!
如果是蛀牙,任由小黑点继续发展的话会演变成明显的龋洞;久而久之,牙齿接触到冷热酸甜等食物会有刺激敏感,当损伤进一步到达牙髓(即“牙神经”)时,会疼痛难忍,尤其是夜间想睡个好觉都难!

但,生活中很多人都会习惯性拖延,牙齿出现问题不疼就不关,非得等到牙痛得受不了,才到医院就诊。这时可能单纯的补牙已经无法治疗了,可能还要做根管治疗甚至拔除患牙、进行假牙修复,费时费力又费钱,人还遭罪。这就是所谓的“小洞不补,大洞吃苦”。