经常有网友留言说:“逯主任,我平时不抽烟、不喝酒,怎么就查出来肺结节啊,您看用不用治疗,会不会变成肺癌啊,能不能不做手术啊?”

目前随着影像学技术的提高,各类结节的检出率也越来越高,基本1mm左右的结节都能被发现,肺结节用不用治疗的问题,我之前已经讲过很多次,中医讲究治未病,所以对于肺结节,还是建议能治疗的时候,尽早治疗。
至于很多人说吃中药根本消散不了结节,我个人觉得也没必要去解释太多,临床案例可以说明一切,身体是自己的,该如何选择正确的治疗方法,相信每个人心里自有定论,何必做口舌之争!

姜某,男,44岁,山东威海人,是当地一家事业单位的中层管理者。平时比较注意养生,不抽烟、不喝酒,定期参加单位组织的体检,平时除了血压有点高,其他指标一切正常。
在2020年12月体检中查出肺结节,直径约3mm ,同时还有肝囊肿4mm,姜某比较担心,于是又挂了当地省医院胸外科的号,尽管医生一再告诉他,结节良性可能性比较大,但是他个人觉得肺里长了一个不好的东西,看不见摸不着,说不定哪天就变成肺癌了。
姜某托北京的一位亲戚帮忙打听治疗肺结节的方法,其亲戚的同事家属在我院工作,于是通过介绍,于2021年在2020年12月17日来医院找到我就诊。
疾病史:左肺多发肺结节,最大直径3mm,肝囊肿4mm
症状:咳嗽咳痰,失眠,多梦,入睡困难,耳鸣
辨证:属痰气交阻
治疗:行气化痰,消肿散结,安神定志
处方:黄芩,黄连,白芍,阿胶珠,通草,生牡蛎,浙贝母,法半夏,夏枯草,琥珀粉,陈皮等。
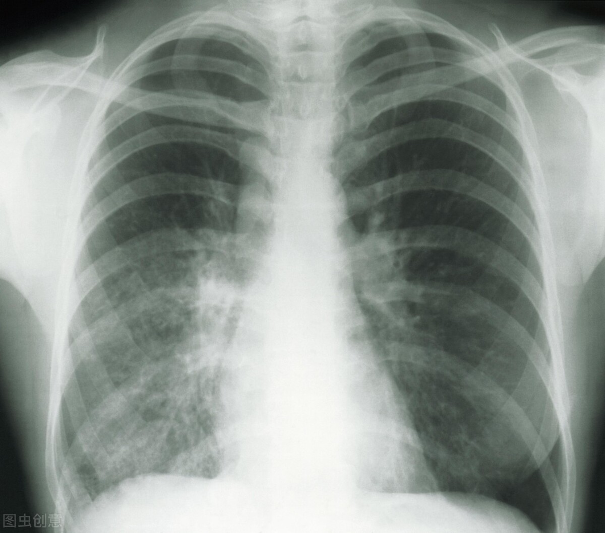
前后经过将近3个月的中药调理,姜某再次复查时,报告提示肺结节和肝囊肿都消失不见(如下图)

温馨提示:以上药方仅做临床案例分析,具体用药及用量,须根据个人体质、症状、病情综合辨证,不可擅自照方抓药!
写在最后:中医并不能消散所有的肺结节,对于炎性结节和腺瘤样增生(癌前病变)有比较好的治疗效果,对于肺结节体积较大,恶性特征明显的,还是建议及时手术切除,以免发生癌变,延误治疗。
如果您有月经不调、失眠、湿疹、*麻疹荨**、银屑病、肺结节、甲状腺结节、腰椎间盘突出等方面的问题,可以点击 私信 留言,出诊之余,我会尽快回复!