来源:即时超声
扫查方法:
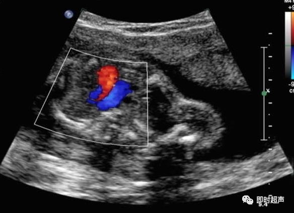
探到胎儿四腔心后,探头稍向胎儿头侧偏移即可显示三血管-气管切面,正常三血管-气管平面从左到右依次显示:肺动脉、主动脉弓、气管、上腔静脉。

胎儿正常三血管-气管平面示意图

胎儿三血管气管切面


三血管-气管切面的观察内容
- 从左到右依次是肺动脉、主动脉弓和上腔静脉
- 内径从左到右依次递减
- 主动脉弓位于气管的左侧
- 肺动脉和主动脉弓血流都流向脊柱,呈后向血流
- 肺动脉经动脉导管与主动脉弓共同汇入降主动脉
主要内容:
- 血管数目的异常
- 血管内径的异常
- 血管走形的异常
- 血流方向的异常
- 可能出现的伪像
- 三血管气管切面再认识
一、血管数目的异常
血管数目减少
永存动脉干
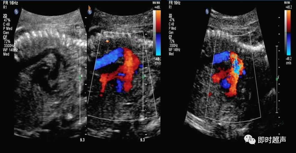
大动脉转位——肺动脉发育不良

并不是仅见一根血管就是永存动脉干

血管数目增多1:双上腔静脉、肺静脉异位引流(心上型)、伪像


如何鉴别永存左上腔静脉和肺静脉异位引流?
- 观察肺静脉有无开口进入左心房
- 追踪观察异常血流引流途径,是进入右上腔静脉还是心房
永存左上腔静脉


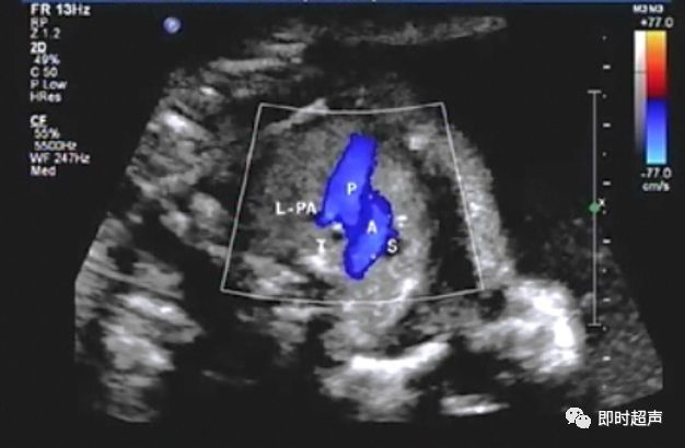
二、血管数目增多2
- 迷走右锁骨下动脉
- 正常的奇静脉
- 下腔静脉离断伴
奇静脉连接

正常奇静脉

迷走右锁骨下动脉


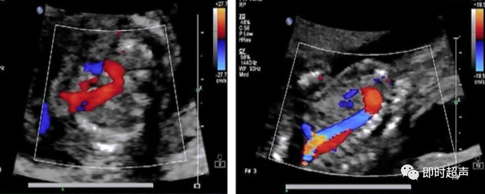
如何鉴别奇静脉和迷走右锁骨下动脉
- 多普勒频谱
- 观察清楚起止部位
三、血管内径的异常
- 血管内径:肺动脉变细
- 法洛四联症
- 肺动脉闭锁
- 右室双出口
- 永存动脉干

右室双出口

法四

肺动脉狭窄

肺动脉增粗、主动脉正常
肺动脉瓣缺如症

主动脉变细
- 主动脉瓣闭锁或狭窄
- 主动脉弓缩窄或离断
- 右室双出口


主动脉弓重度狭窄

肺动脉和主动脉都增粗
- 主动脉瓣大量反流
- 肺动脉瓣大量反流
- 房室传导阻滞
- 其他病变:心衰、胎儿盖伦静脉瘤、胎盘绒毛膜血管瘤等

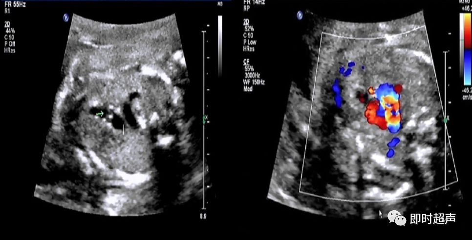
上腔静脉增粗
心上型完全性肺静脉异位连接或者Galen静脉动脉瘤样畸形的脑部循环流量增加。

四、血管走形的异常
平行走形

肺动脉和主动脉平行走形

侧动探头连续观察即可观察到动脉导管走形迂曲,但还是汇入降主动脉

动脉导管瘤


胎儿动脉导管瘤的预后
- 动脉导管迂曲扩张和动脉导管瘤对新生儿最常见的影响就是动脉导管未闭。但随着研究的深入,发现动脉导管未闭的发生率并不是很高。
- 但有文献报道,少数动脉导管瘤会发生严重的并发症,甚至导致新生儿死亡。因此,如在产前发现动脉导管瘤或迂曲扩张,应提示临床并追踪。
晚孕期胎儿右心扩大的鉴别诊断
- 晚孕期常可观察到胎儿右心比左心大,这常常会造成检查医生的担忧。
- 一般而言,晚孕期胎儿右心就会比左心稍大,这主要是由于胎儿肺循环阻力升高的原因,所以只是右心稍大,大可不必紧张。
- 但如果是右心明显比左心大,那我们就要仔细甄别
- 晚孕期导致胎儿右心扩大的疾病有:妊娠糖尿病、胎儿心脏畸形、胎儿心肌疾病(心肌致密化不全,心内膜弹力纤维增生症)等。
- 如果没有其它病因而仅仅是动脉导管瘤或妊娠糖尿病的话,那么胎儿预后基本良好。
- 如果有胎儿畸形则需明确是何种畸形,再判断预后。
右位动脉导管


U形走行

右位主动脉弓

下腔静脉离断伴奇静脉或半奇静脉连接

五、血流方向的异常
主动脉弓或肺动脉血流方向相反是导管依赖型心脏畸形的典型表现
动脉导管依赖型心脏畸形,是指出生时新生儿的存活依赖于动脉导管的开放,如果动脉导管闭锁了,那么体循环和肺循环之间的沟通也就终止了,新生儿就会迅速死亡的一类心脏畸形。
诊断动脉导管依赖型心脏畸形的意义?
一旦存在动脉导管依赖型心脏畸形,就是十分严重的心脏畸形,一般而言都应该终止妊娠。但对仍要继续妊娠的孕妇而言,意义就更加重大,因为对新生儿而言,保持动脉导管的开放等待紧急手术是它们唯一的生命线。
主动脉弓血流反向
左心发育不良综合症(二尖瓣或主动脉瓣闭锁或重度狭窄)

肺动脉血流反向
右心发育不良综合症(三尖瓣或肺动脉瓣闭锁或重度狭窄)


三血管气管切面可能遇到的伪像
血流方向显示引起的伪像

解决方案:改变探头方向,使主动脉和肺动脉位于脊柱的同侧
部分容积效应和血流的外溢引起的伪像

主动脉弓离断

主动脉弓离断定义:升主动脉与降主动脉之间的主动脉弓离断,下肢血供通过动脉导管由右心提供。分类主要根据中断位置与头臂血管的相对关系。A型:左锁骨下动脉远端中断。B型:左颈总动脉远端中断。C型:头臂干远端中断。

解决方案:
显示三血管气管切面时侧动探头,显示主动脉弓肺动脉汇入降主动脉
三血管气管切面再认识一
三血管气管切面正常能否除外圆锥动脉干畸形?——不能
什么是圆锥动脉干畸形
- 圆锥动脉干畸形是指在胚胎发育时期由于圆锥隔发育异常而引起的一系列先天性心脏畸形,预后不良。
- 主要包括:法洛四联症、肺动脉瓣缺如综合症、伴室间隔缺损的肺动脉瓣闭锁、左(右)室双出口、大动脉转、永存动脉干
三血管气管切面再认识二
肺动脉内径正常能否除外肺动脉瓣闭锁或狭窄?——不能

肺动脉瓣闭锁时肺动脉是否一定变细?
- 肺动脉不一定变细,因为肺动脉的血液是由主动脉经动脉导管来反向灌注的,只要动脉导管足够粗,肺动脉内径是可以不变细的。
- 但肺动脉的血流方向一定是和主动脉相反的。
- 所以诊断时不能依靠肺动脉的内径来判断有无肺动脉瓣闭锁。
三血管气管切面再认识三
主动脉血流反向是否就一定是主动脉瓣闭锁?——不是
主动脉瓣闭锁
主动脉瓣闭锁是指主动脉与左心室的连接消失,瓣膜被纤维条索替代或增厚融合而启闭运动消失,它通常是左心发育不良综合症中的一种类型,其最主要的血流特征就是在三血管气管切面上,主动脉弓变细,血流方向与肺动脉相反。
主动脉血流反向就是主动脉瓣闭锁吗?——显然不是的
II型或III型主动脉弓缩窄或离断,三血管气管切面可以出现主动脉和肺动脉血流反向
鉴别点:
1.升主动脉、主动脉弓和降主动脉的粗细对鉴别诊断液无明显帮助
2.主动脉瓣无启闭运动是主要的鉴别点,即无经过瓣膜的前向血流信号
II型或III型主动脉弓离断液可以有动脉导管逆向供应左锁骨下动脉或左颈总动脉的血流,因而可以表现为主动脉弓血流反向,但反向血流明显变短

主动脉瓣闭锁时升主动脉和主动脉弓是否变细?
- 是的,升主动脉和主动脉弓变细,因为升主动脉和主动脉弓的血液是由肺动脉经过动脉导管来反向灌注的,但即使导管足够粗的话,其血流也可以流向降主动脉,而不是一定要流向升主动脉和主动脉弓,因此他们是明显变细的。而且在三血管气管切面上,主动脉弓的血流方向也一定是和肺动脉相反的。
- 但诊断时不能根据升主动脉和主动脉弓的血流反向来判断有无主动脉瓣闭锁。
三血管气管切面再认识四
肺动脉和主动脉内径和血流正常,胎儿肺动脉瓣和主动脉瓣正常吗?——不一定
胎儿肺动脉瓣和主动脉瓣轻度狭窄可以没有任何改变,而仅仅只有瓣膜的增厚、回声增强,开放无法贴壁等征象,不会有动脉内径和血流的改变,因此在胎儿心脏筛查时,一定要观察半月瓣的开放和启闭运动,否则就会漏诊肺动脉瓣和主动脉瓣轻度狭窄。
肺动脉瓣闭锁和永存动脉干的鉴别
- 肺动脉瓣闭锁时肺动脉内径明显变细,同样永存动脉干的肺动脉也明显变细,而有时观察肺动脉瓣及肺动脉的开口比较困难,因此有时两者很难鉴别。
- 这时寻找和辨识动脉导管就对我们鉴别诊断有极大的帮助,如果动脉导管血流反向,就是肺动脉瓣闭锁,如果血流方向正常,那就是永存动脉干
小结:
- 三血管气管切面对筛查胎儿心脏畸形起着十分重要的作用,它是胎儿心脏畸形筛查的重要工具,也往往是首诊的线索,可以为胎儿心脏畸形诊断提供重要的思路,但不能根据它来诊断具体的胎儿畸形。
- 但应当注意的是,三血管气管切面出现异常,那么胎儿心脏一定有异常,可以转诊给对胎儿心脏诊断有经验的医生。
- 但三血管气管切面看似正常时,也应当重视,不能放过任何蛛丝马迹。右室双出口和矫正型大动脉转位就可以有正常的三血管气管切面。

胎儿心脏三血管切面显示小窍门
一、胎儿长轴切面:
首先进行胎儿长轴切面,调整探头左右旋转键或探头方向,将胎头放在操作者右侧。这样切出来的横断面为从胎儿头侧往脚侧观看。与脚侧往头侧观看时大血管分布的方位相反。所以,提倡将胎儿头侧放在操作者右侧,好与大多数资料接轨,也便于快速确定大血管的位置是否正确。
如下图:
以CT横断面解剖为例

(这是从胎儿头侧往脚侧观看的解剖示意图)

(这是从胎儿脚侧往头侧观看的解剖示意图)
二、找出胎心,将探头逆转90度,过心脏横切显示四腔切面,此时图中胎儿胸椎侧为12点钟,胸骨侧为6点钟,3点钟为胎儿左侧,9点钟为胎儿右侧。

三、探头向胎儿脚侧平行移动直至胃泡、肝脏横切面出现并分析腹主动脉和下腔静脉的左右关系,有否内脏反位等。
四、探头向胎儿头侧平行移动直至出现心脏四腔切面。
为便于描述,将这个横切面图分左外上、左外下、右外上、右外下四项限;操作者左侧为左外项限,操作者右侧为右外项限。见下图:


(为便于描述,将这个横切面图分为左外上、左外下、右外上、右外下四项限;操作者左侧为左外项限,操作者右侧为右外项限,此时不分几点钟位置。)
五、应用你自己的左手作心脏模型,当实际操作时可帮助你认别主肺动脉等大血管的方位:
左手做成折叠手:大拇指先向掌心折叠,它代表主肺动脉;食指弯曲压在大拇指上 ,它代表主动脉;中指伸直,它代表上腔静脉;近腕关节端的手背代表心尖。其它两指无任务,故让它们折叠着。




(当胎儿仰卧位,胎儿心尖指向外上项限,肺动脉在外上项限。如图示。
大拇指为主肺动脉PA;食指为主动脉;中指为上腔静脉。)



当胎儿右侧卧位,胎儿心尖指向内上项限,肺动脉在内上项限。如图示。
大拇指为主肺动脉PA;食指为主动脉;中指为上腔静脉。



六、根据大拇指的走向,旋转探头找出右室流出道,此时右室流出道在主动脉干的前方,主动脉居中央。
另一方法是:主肺动脉应在12点至3点钟之间查找。
如果为镜像右位心者可用右手作心脏模型,方位相反;对右旋心者,肺动脉方位不变,只有心尖方位改变。
七、左室长轴切面:
心尖在外上及内上项限者,探头平移至心尖快消失时将探头向胎儿头侧顷钭(即仰视角)30-40度左右;心尖指向外下及内下项限者,探头向胎儿头侧平行移动至大血管短轴切面时,(即胎儿右肩背上部)探头向胎儿脚侧顷钭(即府视角)30-40度左右查看。是否有效请大家试试。
【版权声明】本平台属公益学习平台,转载系出于传递更多学习信息之目的,且已标明作者和出处,如不希望被传播的老师可与我们联系删除