
有人认为,人老了牙齿自然就会松动、掉落,不需要治疗。
还有人认为,牙齿掉了,重新镶一个或者种一个就好了。
实际上,如果保护得好,牙齿会跟随人体一辈子,不应该“老掉牙”。
在中国,成年人掉牙的“头号杀手”,是牙周病,与年龄无关。按照世界卫生组织对牙齿健康“8020”的标准——80岁的老人,嘴里至少应有20颗能正常咀嚼不松动的牙齿。

我们先从一个故事来认识牙周炎导致牙齿缺失的严重性。
时间回到1970年,在斯里兰卡的一个名为Pundaloya的小镇上,有75名采茶工人,由于经济、教育的滞后,他们不识字,也不懂得如何刷牙;落后的医疗条件使得他们没有进行任何口腔治疗,唯一能做的是把非常松动的牙齿拔除。很自然地,他们都患上了牙周炎,而且没有进行任何治疗。
医生对他们进行了长达40年的追踪观察(75名工人于40年后重新接受检查),发现平均每个人缺失了13.1个牙齿,年均失牙数0.33,即每3年掉1个牙齿;75人中只有4人没有缺失牙齿,而有12人已经掉光了全部的牙齿。经过数据分析,发现牙齿脱落与年龄无相关性,而与牙石量、牙龈出血指数等正相关!

当然大家可能认为这是一个极端的情况,那我们来看看中国的情况。根据《第三次全国口腔健康流行病学调查——2008》显示的结果,35至44岁年龄组平均牙齿数量29.5个,而65~74岁年龄组平均牙齿数量为20.7个,30年时间减少了8.8个牙齿,平均每年失牙数为0.293,即每三四年掉一个牙齿。

牙周炎与牙齿脱落的关系
按照从40到80岁的40年时间,积极治疗牙周炎的人将比不治疗牙周炎的人多出9.2个牙齿。因此,积极治疗牙周炎,非常有必要!

牙周炎患者被拔出的牙齿
图片来源:@西安牙医老聂
这是一个 30 多岁的小伙子,只是因为“牙齿松动”去就诊。但等待他的,却是晚期牙周炎患者的最终归宿——全口牙松动,拔除。
换句话说,他看起来一颗牙也不缺,但其实一颗牙也没有了——这就是晚期牙周炎患者面对的“无牙窘境”。
然而,对口腔大夫来说,这样“全口牙齿拔除”的骇人病例,却已经司空见惯。
2017年9月19日,原国家卫计委发布《第四次全国口腔流行病学调查》结果显示:我国成年人的牙周健康率仅为 9.1%,牙周炎是导致我国成年人牙齿丧失的主要原因。
换言之,90% 以上中国人的健康,都处于这项疾病的威胁之下——而他们对此毫不知情。
正因为如此,牙周炎被医学界定论为继癌症、心脑血管疾病之后,威胁人类身体健康的第三大杀手,也是口腔健康的头号杀手。
关键是——我们每个人都有可能遭遇。

每个人都可能遇到的“杀手”
首先,我们要认识一个基本概念:牙菌斑。
口腔里的致病菌以牙结石、牙菌斑等形式附着在牙齿上,如果没有被及时清理,它们首先会导致牙龈炎,出现牙龈红肿,刷牙出血等问题,如果不加以干预,牙龈炎向深部发展,就会导致牙周炎。
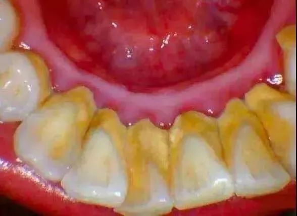
牙菌斑是附着在牙面上,特别是牙颈部的细菌性团块。这些团块因钙化而变硬成为牙石,菌斑和牙石是引起牙周炎的主要因素。
牙结石是附着在牙齿表面的硬性斑块,其外形似黄色干石灰块,较坚硬,易使牙龈出血。牙石上附着大量的菌斑。
牙周炎除牙龈红肿出血外,还会形成牙周袋,清洁变得异常困难,这将成为细菌的温床,它们会破坏牙齿周围的牙床骨。
牙周炎一旦发生,受累的就不是一两颗牙,而是整排牙遭殃。

烟盒警示包装
患有牙周炎,疾病满身跑
如果你有以下症状,得注意了——
-
牙龈红肿
-
刷牙或使用牙线时容易出血
-
牙龈萎缩、进食完容易有食物嵌塞
-
口腔异味(口臭)
-
牙齿和牙龈之间溢脓
-
牙齿松动移位
-
咬合关系的改变导致咬合时的不适(咬合无力)
-
活动假牙无法就位或不适等

除了毁掉一口好牙齿,牙周炎还有可能引起脑血管病、老年痴呆、冠心病、肺炎、慢性阻塞性肺病、幽门螺杆菌感染、糖尿病、关节炎、骨质疏松、早产、流产、男女不孕不育、低体重儿、甚至肥胖等多种疾病。

牙结石
这一切,大多都可以避免
与牙周炎的极高发病率形成鲜明对比的,是牙周炎患者的极低就诊率。
牙周炎最初表现为牙龈炎——“刷牙出血”,这也是最佳的干预治疗时机。但大多数人此时却认为这是“上火”,执念于自己在家“祛火消炎”。
但没有哪种“神药”能根治牙周炎。牙周炎不是上火,治本的关键更不在祛火,也不是靠声称能祛火的神药和牙膏,而是控制牙菌斑。

价格高昂种植义齿 图片来源:@种牙匠黄建生
牙周炎的诊断一旦确立,即预示着漫长而繁琐的治疗,这比早期单纯的牙龈炎治疗要复杂得多。
不仅花费不在一个档次,同时涉及到个人长期口腔卫生管理与维护水平的差异,疗效也因人而异。
于是,牙周炎的治疗在中国成了一个非常沉重的话题,似乎永远绕不开“治不好”的恶性循环。

牙周炎的治疗方式之一
与牙周炎的诊治困境相比,预防的惠民性和优越性,就显得极其显著。
早期干预和行为改变,基本上可以防止晚期牙周炎的无牙窘境。
反之,如果早期牙周炎患者拒绝治疗和忽视口腔卫生管理,那么最终极有可能像文章开头的小伙子一样,失去全部牙齿。
所以,如何正确、有效地预防牙周炎?
-
早晚正确地刷牙
-
每半年至一年进行一次超声洗牙
-
逐步戒烟

此外,对于牙周炎易感人群,牙龈未退缩者,需要掌握牙线的使用,已经退缩者,则选择牙间隙刷或冲牙器辅助。
需要强调的是,定期洗牙并不仅仅针对牙周炎患者,而是所有人。
洗牙能高效清除菌斑牙结石,维持牙龈健康,将牙周炎的始动因素消灭于萌芽状态。

洗牙前后对比
所以,大家要相信,“老掉牙”从来不是一种理所当然的状态。
我们应该想尽一切办法保留属于自己的天然牙齿,在这一过程中,生活习惯和口腔卫生意识,将起到决定性的作用。

来源 | 广东卫生信息、 武汉晚报、健康时报、丁香医生、东莞疾控
编辑 | 羊羊
