来源:华夏影像诊断中心1、急性阑尾炎
1病 理
(1)急性单纯性:阑尾轻度肿,浆膜充血;
(2)急性化脓性(蜂窝织炎性):显著肿胀、增粗,管壁小脓肿形成,腔内积浓,周围形成局限性腹膜炎;
(3)急性穿孔性(坏疽性):管壁全部/部分坏死,腔内积浓,穿孔部位大多在血运较差远端部位;
(4)阑尾周围脓肿:化脓坏疽或穿孔发展较慢,大网膜移至其周并包裹。镜下可见中性粒细胞浸润,可伴出血、黏膜坏死,浆膜面充血、纤维素渗出。
2临 床
定位不清脐周疼痛,伴恶心、呕吐、发热及食欲缺乏等。6-8/10+h后逐渐下移固定右下腹部(转移性右下腹痛,特征)。查体麦氏点压痛、反跳痛。实验室白细胞和中性粒细胞升高。
3影 像
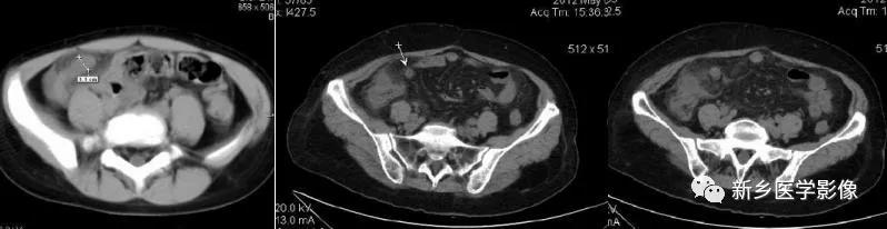
(1)超声:阑尾和粪石,后者伴声影;阑尾管径>6mm,呈不可压闭的、一侧盲端管状结构。
(2)CT:阑尾扩张,管径>6mm,壁增厚,增强强化。阑尾周围炎,周围(脂肪)“条纹征”即周脂肪内斑点/条纹状模糊英、局部筋膜增厚、系膜密度增高等。阑尾粪石,其他有盲肠增厚、阑尾周液体积聚、“箭头征”(肠道内造影剂汇集在盲肠尖端(阑尾起始部)形成箭头样或鸟嘴样改变)。

4鉴 别
(1)右下腹其他炎性病变:盲肠、升结肠憩室炎,阑尾淋巴异样增生,回盲部克罗恩病等。
(2)阑尾来源肿瘤伴阑尾炎。
(3)部分妇科疾病:右侧输卵管妊娠、卵巢囊肿扭转、卵巢滤泡破裂、急性附件炎等。
(4)右下肺炎和胸膜炎。
2、慢性阑尾炎
1概 述
由急性转化来(持续症状>3W)。大部急性愈合后遗留阑尾壁纤维组织增多,阑尾腔因瘢痕收缩而狭窄,或阑尾与周围器官粘连形成,易反复发作。
2病 理
阑尾壁不同程度增生和纤维化,腔可局限或全长性狭窄、闭塞,可有粪石。镜下壁内慢性炎性细胞浸润,见纤维化改变。
3临 床
右下腹慢性疼痛,可持续性,抗感染有好转。实验室检查可正常。
4影 像
(1)BE:阑尾仅部分显影或不显影,单个/多个充盈缺损改变。阑尾显影外形不规则分节状、粗细不均,扭曲,边缘不光整。
(2)CT:类似急性阑尾炎。阑尾扩张(管径>6mm)、阑尾尖端增厚、粪石、网膜系膜组织密度增高粘连、淋巴结肿大、“箭头征”、脓肿、蜂窝织炎、积液

3、阑尾周围脓肿
1概 述
急性阑尾炎穿孔后一种并发症,占4%-10%。
2病 理
右下腹/盆腔内脓肿,腔内脓液,内部可见粪石。
3临 床
急性阑尾炎病史。中老年人多,可伴高热中毒症状,右下腹扪及肿块。
4影 像
(1)超声:右下腹/盆腔脓肿,可见粪石。
(2)CT:右下腹/盆腔囊性肿块,壁薄或厚,增强环形强化,内部可见粪石;也可为边界不清、密度不均软组织影,强化不明显。肿块与盲肠关系密切,与周围结构粘连,内可见小气泡/气液平面。临近肠曲反射性淤积,可伴气液平面。

5鉴 别
(1)阑尾黏液囊肿:病史。
(2)右下腹或盆腔其他原因脓肿。
4、阑尾残株炎
1概 述
阑尾切除后少见并发症,为阑尾切除时根部残留过长(1-5cm),残端反复发作炎症。
2病 理
分急性单纯性、化脓性、坏疽性阑尾残株炎及阑尾残株周围脓肿。
3临 床
阑尾切除术后1年左右出现。基本和阑尾炎相同,右下腹痛、恶心、呕吐。
4影 像
1)急性单纯性:长轴“蚯蚓”状或“豆棒”弱回声区,短轴“靶环征”。
2)化脓性:残端慢性增粗直径约1-1.5cm,壁增厚>0.3cm,常见“双层征”,周围线状暗区包绕。
3)坏疽性:残端轮廓不清或形态消失,,腔内粪石强回声团伴后方声影,穿孔时管壁回声中断,周不规则液性暗区。
4)周围脓肿:阑尾区周围见轮廓模糊,回声不均的弱回声或混合回声区。
5)间接征象:阑尾残株周围肠管扩张、腹水,肠系膜周围淋巴结肿大。

5鉴 别
需与盆腹腔脓肿、回盲部肿瘤、结核、淋巴结、阑尾残端瘘、胃肠道穿孔等。
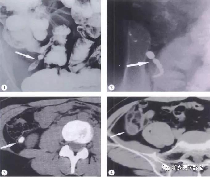
5、阑尾黏液囊肿
1概 述
由阑尾腔近端阻塞导致远端黏膜上皮组织中的黏液细胞分泌黏液聚积、囊状扩张。
2病 理
囊状扩张,切开其内黏液性物质。黏液性肿瘤包括黏液性囊腺瘤和囊性癌为引起常见原因。镜下壁由富黏液上皮组成,显示绒毛结构,环形累及阑尾。
3临 床
无特异性,常见右下腹疼痛不适,有时仅右下腹包块。
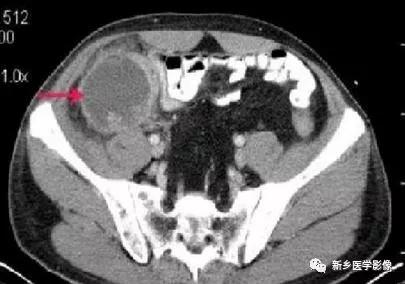
4影 像
(1)BE:盲肠内侧壁光滑球形肿块压迹,末端小肠推压移位。阑尾未见钡剂充盈。
(2)右下腹卵圆形肿块,有或无钙化声影。腔内以低度回声典型。
(3)CT:盲肠尖区域薄壁囊性肿块,边界清晰,呈长圆形,与盲肠间解剖关系密切,环形钙化壁。增强壁强化,内容物无强化。腔内出现气泡/气液平伴感染。腹膜假黏液瘤典型为腹膜分叶病变,使空腔脏器移位或变形,实质器官边缘呈“扇贝”改变。
(4)MRI:右下腹囊性肿块,冠状面位髂肌和腰大肌形成“V”形间隙内,与盲肠关系密切,可位于盲肠内下方或后下方,盲肠外压改变。

5鉴 别
(1)阑尾周围脓肿;(2)肠重复畸形、系膜囊肿等;(3)卵巢肿瘤、囊肿、积液。
6、阑尾类癌
1概 述
阑尾是胃肠道类癌常累及部位。典型起源阑尾上皮下神经内分泌细胞。>70%发生在阑尾远1/3段(远离基底),直径<1cm。类癌<1cm很少转移,1-2cm50%可转移,>2cm80%转移。
2病 理
较硬黏膜下结节,切面黄色。镜下由小细胞组成,有统一、圆形细胞核,无明显核仁。无明显分裂活动、不典型细胞或核异性改变。有岛状、小梁形、腺体、弥漫形。
3临 床
多数无症状。引起阑尾梗阻,出现阑尾炎表现。对放疗不敏感,化疗暂时有效。
4影 像
影像学较少,反映出其典型体积小、局限于阑尾远端、低并发症特点。
5鉴 别
急性阑尾炎:阑尾基底部类癌引起梗阻需鉴别。
【版权声明】本平台属公益学习平台,转载系出于传递更多学习信息之目的,且已标明作者和出处,如不希望被传播的老师可与我们联系删除
更多影像内容请*载下**放射沙龙APP,大夫免费读片,医学生线上交流学习资料,视频