内容提要:34岁,脑干出血后,昏迷一年,到底经历了什么?我们都曾一度放纵不养生,难道曾与中风,与死神擦肩而过?
吸取点教训,从生活方式能能控制的地方,避免自己入坑。
中风后再去治疗,只能靠医生和身边的人了。
扪心自问:昏迷一年,有谁会照顾你?
一,病史回顾
患者男性,2012年右眼视网膜脱落手术治愈。2017年发现高血压。患者并未重视,患者喜欢熬夜,且未规律用药。2020年6月,突发昏迷1小时,呼120,而入我院急诊科,当时血压230/130mmHg,压眶无反应,瞳孔缩小至1mm,对光反射消失。四肢肌力2级。颅脑cT示:脑干出血(约18毫升)并破入脑室,系统以及部分向下延伸入椎管内伴周围蛛网膜,下腔出血,脑水肿。双肺下叶背侧血液坠积性改变。双肺下叶膨胀不全,伴两肺炎症。
二,手术记录
全麻插管后,左侧额部手术切口切开头皮,电钻钻孔引流管穿刺,并缝合头皮,术中顺利失血约20毫升。
三,术后复查脑cT
右脑大脑脚-延髓-脑桥内可见团状不规则的高密度阴影,范围约38毫米×32毫米×59毫米,估计出血35毫升。
四,其它阳性化验
B超:①左室壁增厚,心包少量积液②脂肪肝。③胆囊小结石④右侧颈静脉13X4mm低回声团,考虑血栓。⑤双肾周围炎症。
一月后,双下肢深静脉血流缓慢。
五,手术引流2月后cT
患者脑干血肿病灶趋于软化周围水肿范围略减轻,右侧侧脑室引流中耳骨术后改变双肺炎症,双肺下叶膨胀不全。双扇周围舌亮炎症,双髋关节周围软组织肿胀钙化。
六,昏迷一年中,全靠父亲照顾,可怜天下父母心
由于病情基本稳定,患者一直在昏迷中,家属考虑出院自行康复治疗。
患者有4个孩子,由孩子妈妈奶奶照顾。
患者父亲年近70,头发花白,但是家里其它人没空,照顾患者的重任自然落在父亲身上。
患者每日的饮食通过鼻饲灌入。
患者每天都进行两次被动体育锻炼。由患者父亲执行。
不定期邀请医生上门针灸服务。
七,昏迷针灸护理一年后复查CT。
患者脑干出血后的坏道形成交钱大致相仿。右侧侧脑室引流中,额骨术后改变同前大致相反,左额叶软化灶。新见小脑密度减低,怀疑脑梗死。
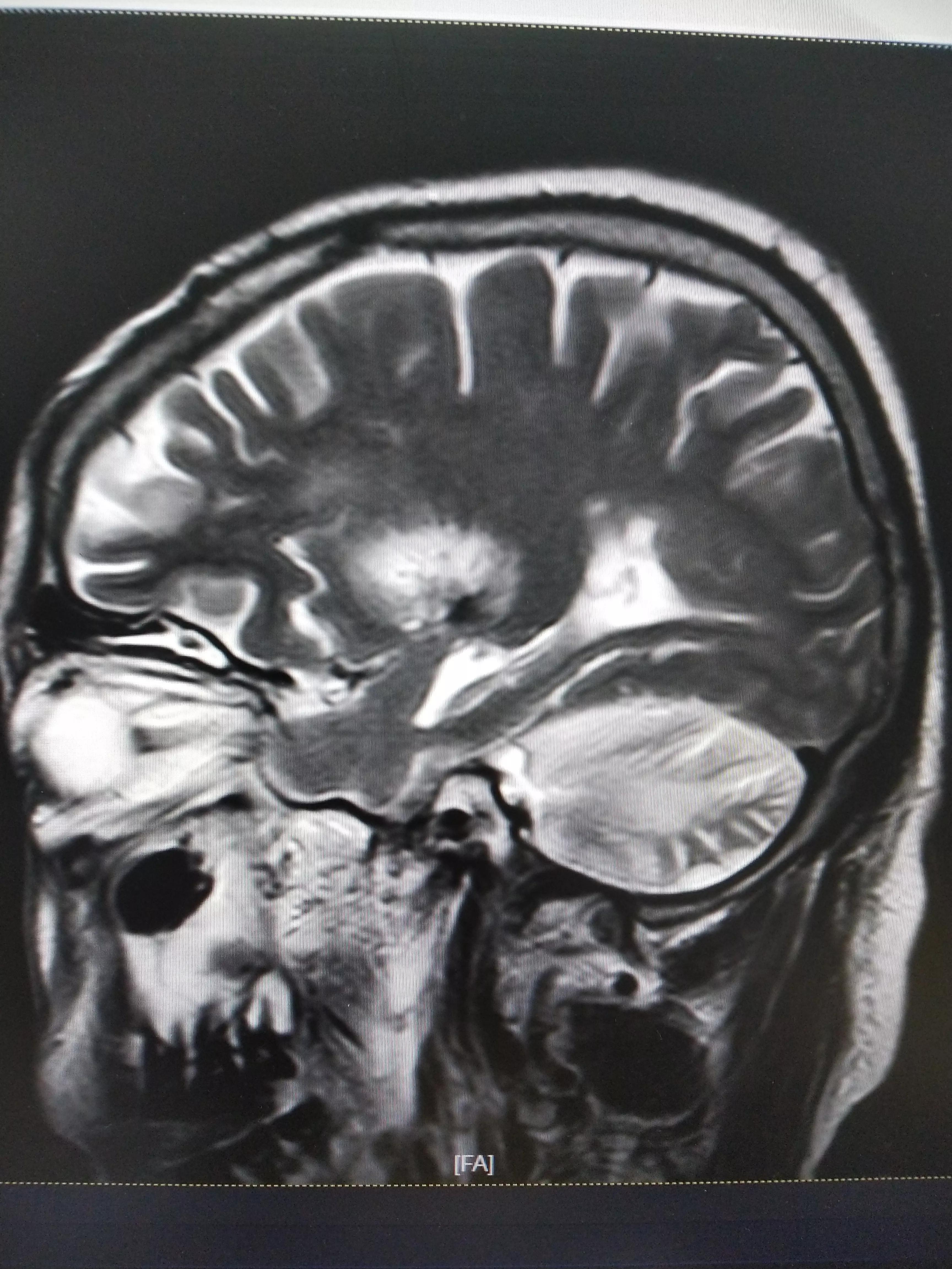
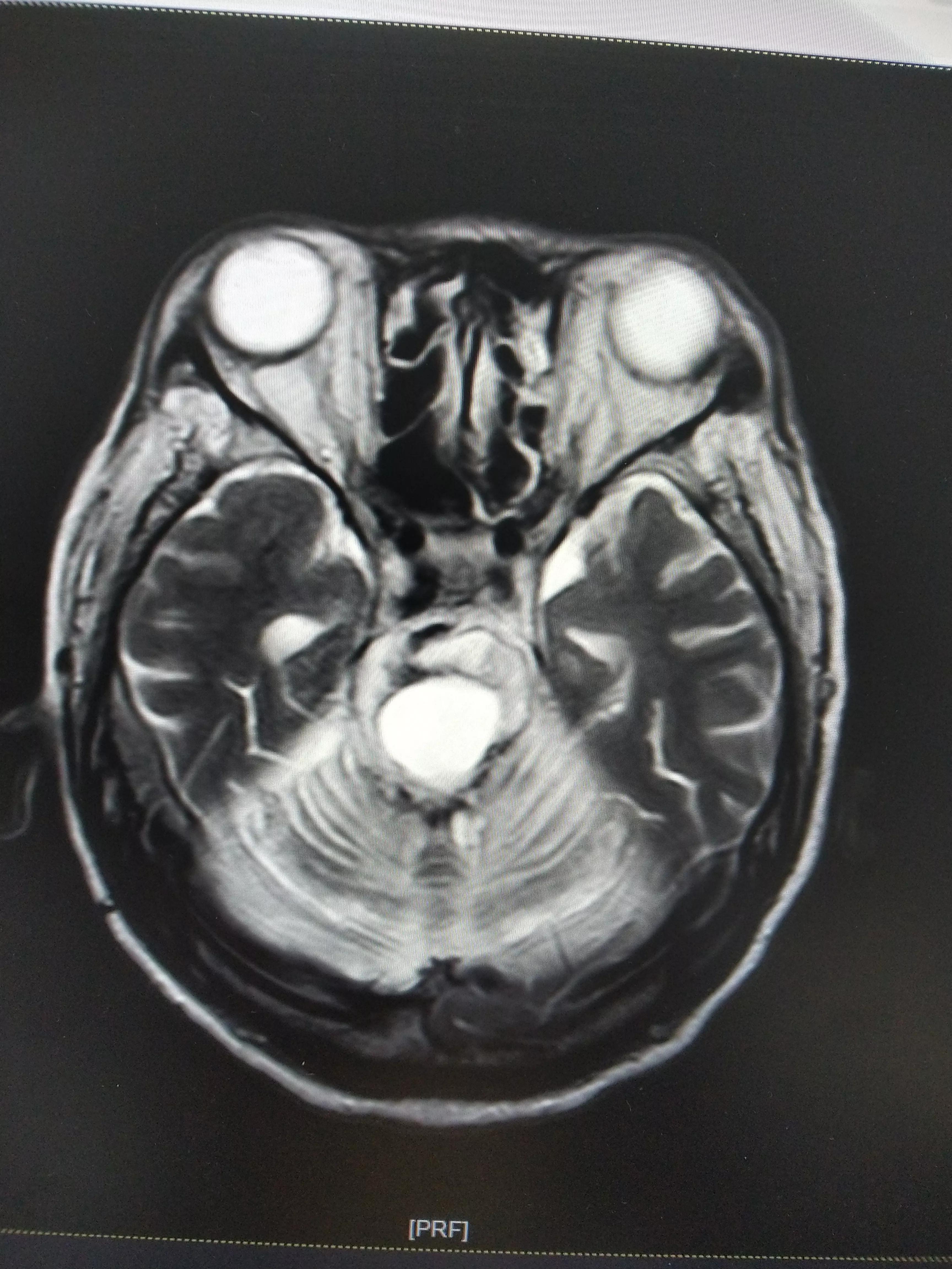
七,昏迷一年后复查颅脑核磁MR
1,脑干出血后,多发性软化灶2,双侧,额叶,顶叶基底节多发脑梗/腔隙性脑梗死。
3,双侧额叶,顶叶,基底节。异常信号考虑胶质增生可能。
4,脑积水。
5,脑萎缩脑白质病变(DWML1级,PVH1级)。
八,昏迷一年后症状体征
患者昏迷,偶有低热,伴咳嗽,胃管进食,体重无明显下降,尿管在,没有明显的肌肉萎缩。四肢肌力2到3级,对疼痛有逃避反射。神经系统评分28分。GcS评分=E1V1M3=5分。
九,目前治疗方案
西医方面:基础治疗如降压,消炎。肌张力高予乙哌立松。
中医方面:以针灸治疗为主。取穴双侧上下肢。穴位有百会、本神、神庭、印堂、水沟、双侧手三里、外关、合谷、足三里、阳陵泉、悬钟、太溪、太冲。每日一次,电针半小时。
十,案例引人深思
1,人昏迷时,象不象睡着了,在变老吗?
答:从患者皮肤及体重来看,皮肤光泽,肌肉无萎缩,没有明显变老。但患者大脑MR显示脑萎缩,脑白质变性,多发腔梗,提示可能患者大脑已早衰近20岁。
2,可怜天下父母心,孩子有一天能醒来吗?
目前看不到明显的希望,也还没到绝望的地步。父亲有时会叹气说孩子不该熬夜无度。但回想孩子天真烂漫的童年,昏迷前的欢声笑语。只能坚守着心中的信念,孩子会醒来的。国外曾有一女患者昏迷十年后醒来,半年后去世。
3,病案带来的反思,发病前基础状态
患者素有高血压,证明其动脉已经硬化。过度熬夜,过度劳累竟然会这么危险!?
假如时光倒流到昏迷前三个月,患者愿不愿意,调整睡眠,勿贪睡勿熬夜。积极运动,勿久坐,勿过量运动。熬夜当是一种最耗气血的运动。
我们录制的预防中风训练视频,本以为是为50岁以上人学习的。没想到34岁也会中风成昏迷,也许患者有意识,不能表达。他肯定想下床来跑一圈或散散步。
也许以前睡的太少,现在要补足3年的觉。
4,睡眠是从残血的状态转变成满血状态的重要生物学行为。
当人体劳累,犯困,气血不足,非常需要睡眠来补充体力的时候,如果。继续剥夺睡眠就会引起人体的气血运行产生紊乱,轻的呢会出现心慌,心率加快,呼吸急促,心肺功能在透支。人体肝脏的解毒功能下降,消化被抑制。人体产生的垃圾变多,肾的负担在加重。
如果能够及时的降低心率,降低呼吸频率,人体的五脏六腑就开始修复。特别是大脑就会产生阿尔法波,促进人体有序化程度增高,处于代谢率极低的深度睡眠状态。
5,中国式健身,熬夜加班的克星
我们平时练中国气功导引的目的,就是希望自己能够在清醒的时候,模拟深睡眠带来的新陈代谢低,身体有序化程度高的气功入静或冥想状态。
中国式健身博大精深,这是我们中国人的骄傲,是中国人恢复满血的重要工具,值得学习研究。



#埋头加班苦了肝#非常病例#