4月6日,经过24小时的留观治疗,孕妈妈何女士终于在家人的陪伴下平安出院了。回想起这短短一天时间的紧张、煎熬,以及常德市妇幼保健院孕产保健科医护人员对她的贴心照顾和用心服务,何女士一家内心都充满了感激之情。
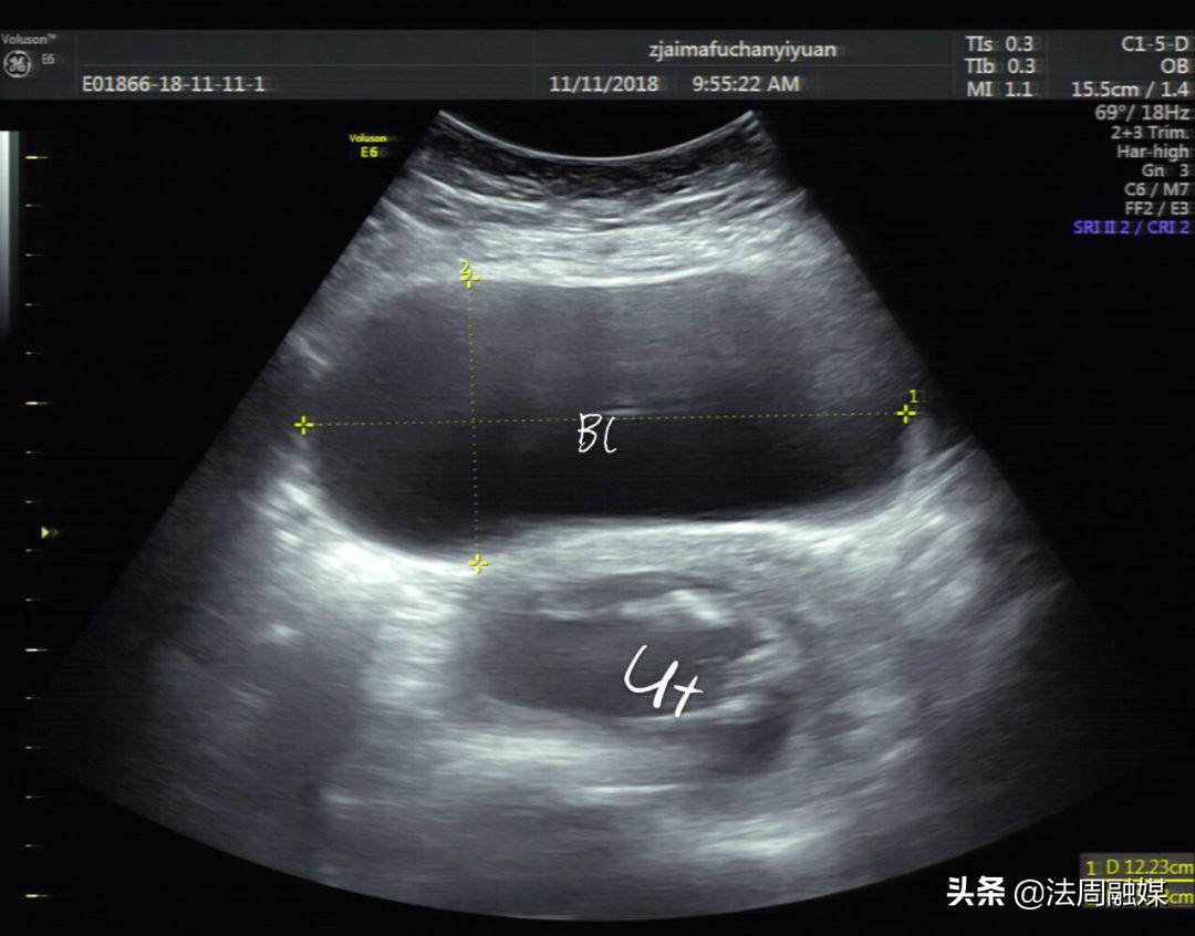
时间回到前一天。4月5日上午,何女士起床后发现自己排尿困难,并且下腹持续性胀痛,在丈夫的陪同下,夫妻俩来到常德市妇幼保健院就诊。孕产保健科主任杨御华见何女士左手按着下腹部且面色艰难,便优先接诊了何女士。经检查后怀疑是“尿潴留”,迅速开具了B超单并标明加急,第一时间为何女士安排了B超。经超声影像科童立里副主任医师B超检查:膀胱过度充盈,子宫明显后倾后屈位,宫内见胎儿回声,胎心胎动存在。确诊子宫箝闭症。

膀胱明显充盈表现细长,后方见妊娠子宫回声

子宫明显后倾后屈,宫颈细长
尿潴留是指膀胱内充满尿液而不能正常排出。按其病史、特点分急性尿潴留和慢性尿潴留两类。其中,急性尿潴留发病突然,膀胱内充满尿液不能排出,胀痛难忍,辗转不安,有时从尿道溢出部分尿液,但不能减轻下腹部疼痛。何女士的症状正属于急性尿潴留,且发病原因为子宫位置改变压迫膀胱颈导致尿液排出不畅,即子宫箝闭症,是产科急诊中罕见但又非常严重的并发症,发病率为 1/3000~1/10000。若未能识别或及时处理子宫循环障碍,可导致自然流产、早产、胎儿生长受限、甚至膀胱破裂、子宫破裂,胎儿损失率约 33%。

尿潴留缓解,子宫位置已转前位,宫颈远离尿道
尽管病因非常少见且病情凶险,但专家们还是凭借丰富的从医经验,迅速且精准地为患者找到了病根,并第一时间制定了治疗方案。当天上午,首诊杨御华主任为何女士插上导尿管,引流出500ml尿液后,何女士明显感觉疼痛缓解。随后,何女士被送往产科门诊观察及护理,夹闭后15分钟再次放出500ml尿液。观察半小时后,生命体征平稳,于下午再次引流出尿液1000ml,杨御华为其行手复位后在病房留观。4月6日,何女士顺利出院,杨御华嘱其行膝胸卧位一周,观察排尿情况,如有不适随诊。4月7日,经电话回访,目前何女士排尿正常,没有任何不适,母子平安。
常德市妇幼保健院专家提醒孕产妇,子宫箝闭主要为增大的子宫压迫周围脏器,不同孕周可表现不同临床症状。一旦妊娠期间出现逐渐加重的盆腔不适、下腹胀痛,排尿困难、尿频、尿急,反常性尿*禁失**,便秘,阴道流血、胎膜早破等症状,一定要及早就医,以免错过最佳治疗时机!(记者:易赛楠)