

医学影像设备如CT、MR、超声,甚至更为“高大上”的PET-CT、DSA,越来越多的应用于疾病诊断。由它们完成的检查项目最后都会由影像科室医生出具一份诊断报告,可就这小小一页报告,却常常让诸多病人茶饭不思、夜不能寐,究其原因就在于报告中的诸多描述让不明就里的朋友谈之色变。

下文就由徐州彩虹影像科王医生为您简单解读影像报告中的一些常见描述及其意义。
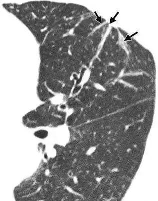
肺纹理增多(或者是增重/增加/增强)
肺纹理由肺动脉、肺静脉、支气管、神经、淋巴管等结构组成。造成肺纹理增多的常见原因有:
▶ 支气管性纹理增强——常见于支气管炎
▶ 血管性纹理增强——常见于心脏病变引起肺血改变
▶ 淋巴性纹理增强——常见于淋巴管炎、淋巴管转移
▶ 生理性肺纹理增多——常见于老年人和肥胖者
总的来说肺纹理增多这个诊断主观性较强。导致肺纹理增多的原因也有很多种,有病理性的,也有生理性或技术性的。孤立地报告肺纹理增多,临床价值不大。只有认真的分析肺纹理增多的具体性质和原因,并且与其他影像学特征、临床病史及技术条件结合起来综合考虑,才能得出正确的结论。

Fig 1 肺纹理增多(箭头所示)
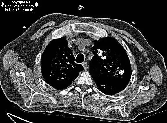
两肺索条、钙化,必要时定期复查
索条:指纤维性病变或纤维化,常见于慢性炎症或增殖性病变在修复愈合过程中,纤维成分逐渐代替细胞成分而形成瘢痕。说的再简单点就是“疤瘌”。
钙化:多属变质性病变,破坏的局部组织内钙盐沉积所致。说简单点就是各种原因导致的钙质在不该沉积的地方沉积了。
两者都属于陈旧性病变的范畴,要结合其它影像学征象和临床表现确定病因,建议1年复查一次。若医生考虑是结核病所致,一旦患者有临床症状应即刻复查;如果病变范围增大或钙化密度减低时,也要进一步检查。

Fig 2 肺内条索

Fig 3 肺内钙化
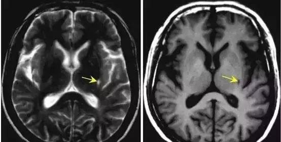
双侧基底节区腔隙灶(腔隙性脑梗塞)
双侧基底节区腔隙灶是CT诊断常用的非规范性术语,主要包括基底节区腔隙性梗死、扩大的血管周围间隙、脉络膜裂囊肿等,这些在CT图像上无法区分时,就会用腔隙灶来诊断。鉴别腔隙灶是生理性的还是病理性的,就要根据患者有无临床症状及体征,必要时还需要头颅磁共振(MR)检查。
|内容拓展(来自彩虹神经内科医生)——腔隙性脑梗死
腔隙性脑梗死,是脑梗死诸多类型中的一种(如果是微小血栓导致的腔隙性脑梗死,属于脑栓塞的概念),是大的脑动脉分出的的单个小穿通支血管闭塞引起的非皮质性小梗死(梗塞灶的直径一般在0.2-15毫米),这个概念最早来自19世纪,当时医生在尸体解剖中发现这类病灶,发现在大脑的中心部位及脑皮质的下面脑干上有很多的体积很小的缺血性的病灶,后来通过CT、磁共振等技术在活体上也得到了证实。不过,随着人们这类疾病认识的不断提高,腔隙性脑梗死这个诊断名词的争议也越来越大,临床应用也越来越少,它更多的被“脑小血管病”等诊断所替代。
至于“腔隙性脑梗死”发病的原因,目前的观点主要包括以下几种:
1. 小的穿通支动脉的小动脉硬化(主要是脂质透明变性)是常见病因,尤其是较小的梗死(长度为3-7毫米)。
2. 源自一些大血管,如大脑中动脉主干、脑底动脉环、基底动脉远端或椎动脉远端的穿通支动脉起始处的微粥样硬化斑。也就是说这些小穿支动脉的开口的地方由于斑块的完全或次全的遮盖,导致缺血。
3. 在某些情况下,虽然未经病理证实,但很多科学家仍怀疑微小栓子是这些小梗死的原因。
腔隙性脑梗死占所有的缺血性脑卒中(包括脑梗死和脑栓塞等)的15%-26%。
上面描述的三种腔隙性脑梗死病因中有两种与高血压相关性慢性血管病变有关。其他,如吸烟、糖尿病等因素也被认为参与其中。

Fig 4 脑内腔隙灶
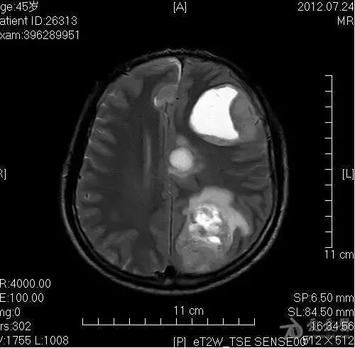
考虑占位性病变,建议某某检查
占位性病变是医学影像诊断学中的专用名词,通常出现在X射线、B超、CT等检查结果中。
是指被检查的部位有一个“多出来的东西”,这个“多出来的东西”可使周围组织受压、移位。
占位性病变通常泛指肿瘤(包括良性的、恶性的)、寄生虫等,仅仅是个现象而不涉及疾病的病因。
占位性病变绝不等于是癌症。
临床工作中,如果征象典型,可靠性80%-90%以上,一般报告肺癌可能性大、肝癌可能性大等。若可靠性在60%-70%,表述为:考虑占位性病变,医生会要求患者提供更详细的病史,以及参考其他检查,进一步明确诊断。各系统占位性病变最终诊断依赖于病理检查(穿刺取样或直接切下来放在显微镜下观察)。
对于此类描述,行业内有个玩笑话叫做“隔皮猜瓜”,即影像学检查是通过射线、磁场、超声等手段对于人体内部的大致形态进行的检查,和真正的打开身体的直接观察是有一定的差距的,即使再有经验的医生,也有拿不准的时候。
就像是再有经验的瓜农在不切开西瓜的时候都不能绝对保证哪个瓜熟的好哪个不好是一个道理。
疾病的表现千变万化,影像表现也就千变万化。但是不用开刀、穿刺等创伤,就能迅速的通过其把身体内部结构看出个大概,目前仍是疾病诊断不可或缺的手段,且随着技术的不断提高及医生们经验的不断积累,准确率也在逐步提高。

Fig 5 肝占位

Fig 6 颅内占位
某某病变,考虑: ①,②,③,建议某某检查
当影像学报告列举了多种诊断结果时,说明病变性质较难确定,需要做其他检查、治疗性诊断、活体组织检查等。
某某病变,考虑: ①,②,③,… 。这时的①,②,③是根据影像学表现并结合临床,按照可能性大小排列的, ①>②>③。
举个例子,右肺中上叶实变,考虑下述病变可能: ①炎症 ②肿瘤 ③结节病,建议: ①抗炎治疗后复查 ②肿瘤标志物检查 ③活检。
不除外某某病变
“不除外某某病变” 表示诊断该病变的可能性小于30%-40%。
“右肺中叶实变影,考虑炎症,不除外肺结核”的表述时, 提示:肺结核不是第一诊断,但又不能完全除外结核,需要抗炎治疗后复查,观察疗效。
“不除外的病变”大多指肿瘤或结核等恶性病变或传染性疾病,虽然可能性很小,但对患者可能产生严重的不良后果。
左肺中上叶团片影,考虑肺结核,不除外肿瘤性病变,建议:痰查病原菌或再次活检。
影像报告中的建议某某某
报告中影像医生建议进一步检查,多因为本次检查不能满足诊断需要,需进一步检查,内容包括:增强CT检查,核磁共振检查、PET-CT检查、病原微生物检查、内窥镜(胃镜、肠镜、支气管镜)、实验室检查(AFP、PSA、瘤标等)、穿刺活检等等。
建议抗炎治疗后复查:炎症和其他病变鉴别困难时,建议抗炎治疗后复查,抗炎治疗后病变变小或消失时说明是炎症,并能观察疗效;如果没有变化则考虑其它病变或特异性感染等,需要进一步检查 建议痰查病原菌:肺部病变可能为特异性感染性疾病时要痰查病原菌,主要针对肺结核病、真菌等感染,建议定期复查/密切观察:抗炎治疗后复查:(2-4周);建议密切观察(3月内);建议定期复查(3月、6月、12月、24月)。
报告中提到请结合临床
这句话存在的原因主要归咎于:患者病史不详、无其它检查结果、影像学表现不典型需要结合其它检查、职业史、生活史、饮食习惯等。因为有些疾病是复杂的,需要多科室医生结合各种相关检查汇总后才能综合判断。
好了,彩虹医生再为大家再总结一下:
“占位性病变”,多指肿瘤,但不绝对;
“血管粗细不均或信号缺失”,一般指血管狭窄或闭塞;
“炎性病变”,是大类型,不好确定是什么感染;
“可能性大”,是诊断顷向性;
“不除外…”,是需要进一步检查鉴别;
当说到期、型、度等概念,是对病变的进一步描述,有利于临床医师更好把握疾病特征。

所以当您拿到影像诊断报告后,不能只看诊断意见,要重视“影像学表现”的描述,影像描述一般比较客观,而诊断意见是影像医师个人阅片结果和个人经验的表达,有一定的主观性。

最后再提醒各位一句,影像诊断报告仅供临床参考,最终诊断是综合性的。病人或家属最好是咨询影像医生或临床医生,千万不可凭一纸报告,一知半解,盲目推断,空添烦恼或遗误病情。