肝囊肿简单来说肝囊肿就是在肝脏组织中存在的一个小水囊。肝囊肿的发病原因多与先天因素有关,属于良性疾病,生长缓慢,大多数不需要治疗,定期体检复查“肝囊肿”不发生变化即可,目前还没有预防办法,也不能通过药物治疗和预防。
大多数肝囊肿无症状,仅在B超或CT检查时偶然发现,少数较大的肝囊肿可表现为右上腹痛或不适。由于成人单纯性肝囊肿的发病率较高,因而与其他肝病或肝外疾病并存的机会较多。因此,在确定肝囊肿引起的右上腹痛或不适时,必须排除引起上述症状的其他疾病。若肝功能异常,应考虑同时合并其他肝病的可能。
【肝囊肿的治疗应视其大小、性质及有无并发症而定】
【1】对于单个小于5cm的肝囊肿,如果位于肝脏实质内,没有对肝脏内的主要大血管及胆管造成压迫,没有任何临床症状,可以观察,建议每年复查超声,了解其生长情况。
【2】如果造成肝内大血管或胆管的压迫,就需要到正规医疗机构就诊,由肝胆外科医生评判病情,并提出治疗计划。对于位于肝脏表面的大于5cm的肝囊肿,需要进行手术治疗,手术很简单,在腹腔镜下打开囊壁,充分引流就可以了。对于小于5cm的肝表面囊肿,若没有对周围脏器造成压迫症状,可以观察,若出现压迫症状,如上腹饱胀、疼痛等,根据具体情况决定是否治疗。


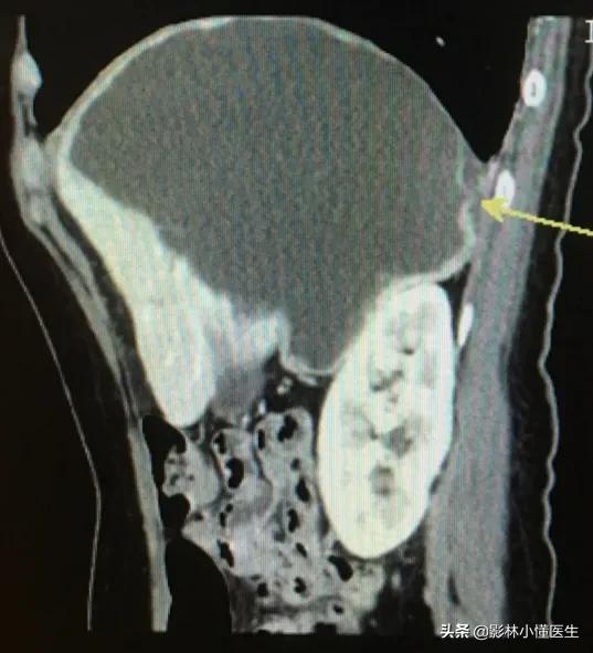
囊肿较大,约10cm局部伴出血、破裂。
处理的原理很简单,就是把“水球”内的水引出来或让其不再产生水。包括①囊肿穿刺抽液术,②囊肿开窗术,③囊肿引流术,④囊肿切除术。小一点的囊肿通过穿刺引流或注入无水酒精、破坏囊肿上皮细胞,使其不再产生水,囊肿也就不会长大了。大的囊肿可通过微创手术(腹腔镜)在囊肿上开一个口子,让水引流至腹腔,水就可以吸收了。有些囊肿需要切除部分肝脏。如果是多囊肝采取上述处理就比较困难了,当其影响了肝功能时,需要进一步治疗。