来源:河南省儿童医院
因为“胃病”呕吐3年
对于楠楠妈妈来说,世上最长的路是不是“套路”,而是寻找女儿“胃病”真相之路。
这条路她陪孩子走了3年。

“孩子晚上终于可以睡个囫囵觉。”在河南省儿童医院胸心外科住院部,楠楠妈妈激动地说。对大外科、胸心外科主任翟波、护士长冯瑞玲、管床医生程文哲等医护人员连声感谢,用锦旗表达谢意。
3年前,1岁的楠楠因为不明原因的恶心、呕吐,检查后诊断为“胃肠道功能很差,脾胃虚弱”,吃了很多药,一直不见好转。
后多次去外地医院就诊,也一直未见好转,病因不明。
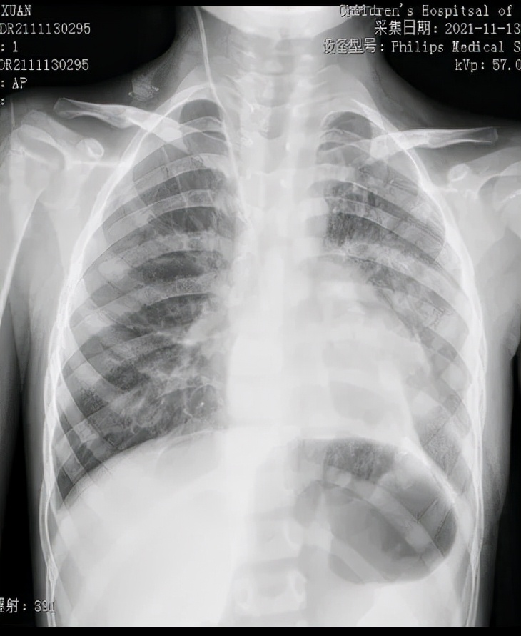
真相了!胃和肠管跑到胸部
前不久,楠楠呕吐加重,妈妈特别慌,赶紧带着孩子去当地医院就诊,在做了上消化道造影后,医生发现孩子左侧胸部有肠管存在,怀疑膈疝,建议转诊到上级医院。
在河南省儿童医院胸心外科,程文哲医师诊断楠楠为先天性膈疝。影像资料显示,楠楠的左肺严重受压,如果继续压迫,左肺将失去功能甚至危及生命。
据了解,先天性膈疝一般都是小婴儿期就会有症状,很少有这么大年龄才发现的。
归位!胸腔镜下受压迫的肺膨开
完善术前准备后,楠楠就被推进手术室,翟波主刀,陈振良、程文哲共同为她行胸腔镜下膈疝修补术。

术前

术后
在胸腔镜视野下,可看到楠楠的左侧胸腔内充满了胃和肠子,而左肺则受压变小,医生们帮助腹腔各脏器回到它们原本的位置,紧接着修补了缺损的膈肌,最后让受压的左肺重新膨开了。
胸腔镜手术的顺利完成大大减少了对患儿创伤,为预后打下了良好的基础。
护理到位!4岁小患儿顺利出院
术后,还有呼吸关、感染关、营养关等一系列的挑战。
胸心外科医护团队集体讨论分析病情,确定治疗、护理方案。
管床医师积极与患者家属沟通病情,护理团队及时向医生反馈患儿状况,为楠楠妈妈提供心理安抚和情感支持。
11月21日,经过20天的治疗和护理,楠楠于顺利出院。2021年是牛年,胸心外科医护祝愿楠楠从此“牛”转乾坤,往后余生幸福健康……
怀着满满的感激之情,楠楠的妈妈为胸心外科翟波主任、程文哲医师和全体医护人员送上了两面锦旗,诉说沉甸甸的情谊,这里面有感激、支持、信任、理解和对医护人员的激励。
胸腔镜下微创治疗膈疝
以前,患儿的膈疝一般都通过传统开放手术进行,但切口长不美观,对患儿的创伤大,术后不利于恢复。程文哲医师说:“微创手术仅需3个5毫米小孔就能解决。此次手术的成功,需要手术医生高超的技术和经验;需要麻醉科医生密切配合,提供镇痛、维持患儿呼吸、循环的平稳;还需要儿童重症监护病房术后危险期的抢救监护体系。”
膈疝
人体的胸腔和腹腔是两个体腔,中间有一道像墙一样的肌肉组织叫膈肌,将胸腔和腹腔分开。简单地说,膈疝就是原本应该在腹腔里的胃、肠、肝、脾“跑”到了胸腔里,将胸腔内的心与肺压迫得偏离了原本的位置。膈疝可对患儿心肺功能发育造成不同程度的影响,是新生儿急危重症之一。

先天性膈疝是由于胚胎发育异常导致膈肌缺损,腹腔脏器疝入胸腔,压迫肺脏造成肺发育不良及其它畸形。据报道,先天性膈疝的发病率为1/3700~1/2600,其病死率高达40%~60%。主要死亡原因是CDH合并的肺发育不良,新生儿期即可发病,一旦确定诊断,应尽早行手术治疗。