一场虚惊,让疑似肿瘤的问题变得急迫
李同学是电脑狂人,尤其是放暑假后,经常连续几小时坐在电脑前不肯起来,最近发现右手腕背侧有凸起的肿块,摸起来硬硬的,还有点疼痛。
由于电脑玩得不爽,他才觉得有必要解决这个问题。有网友说,问百度胜过请医生!上网一查,发现手腕部原来是骨肿瘤好发部位,恶性的还不少!于是,惊出了一身汗来,再无心思玩电脑了。问父母吧,但父母上网也查不到好办法,觉得还是陪他到医院看病靠谱!

手腕背侧凸起的肿块,是什么呢?
医生问了问、摸了摸,又申请了X光拍片,发现骨头本身没有问题,告诉他们说不是骨肿瘤,应该是腱鞘囊肿。在他们将信将疑之际,为了打消他们的焦虑,又为小李申请了腕部的MRI检查,最终明确了腱鞘囊肿的诊断,完全排除了骨肿瘤的可能。
什么是突起?肿块与肿瘤又是什么?
不乏有人咨询身上的“疙疙瘩瘩”是什么肿瘤之类的问题,但检查后却发现多数算不上问题,只是一些骨性突起而已,有的只是类似肿瘤的肿块;当然,其中确实也还有一些,是真正长了肿瘤。
那么,突起、肿块、肿瘤各是什么东西?
众所周知,每个人都会有骨架(骨骼系统),大约由206块(部分人可能多于或少于这个数)骨头构成。这些骨头长短粗细各不相同,不少还很不规则。基本上每块骨头都会或多或少地与肌腱、韧带等结构相联系,由于牵拉的缘故而形成隆起的部分,就显示为突起;与其他骨头形成关节或联接的部分也可表现为突起。

第7颈椎解剖图,其棘突特别长,在后颈部容易摸到
所以说,突起通常是正常的解剖结构。比较表浅且容易被摸到的突起,常常被当成很重要的体表标志,帮助医生作定位诊断。例如胸骨角、剑突、髂前上棘、髂后上棘、第七颈椎棘突、肩峰、肩胛下角等等,都是正常的骨性标志,不要认为是异常。
不过,某些人的“骨性标志”长得特别粗大,有些甚至会比其他人多长几块骨头,这就属于“变异”,与“有病”还有些区别。
肿块、肿瘤各是什么?相互间有什么关系?
肿块通常是指体表或体内可以被摸到(或观察到)的团块状病变;而肿瘤则是指细胞变异后不断增生而形成的新生物。肿块与肿瘤,都属于“病态”,即都表示“有病”了,两者之间有交叉,但并不能划等号。
换一句话说:肿块很可能是肿瘤,但并不都是肿瘤;而肿瘤虽然多数表现为肿块,但也未必一定表现为肿块。

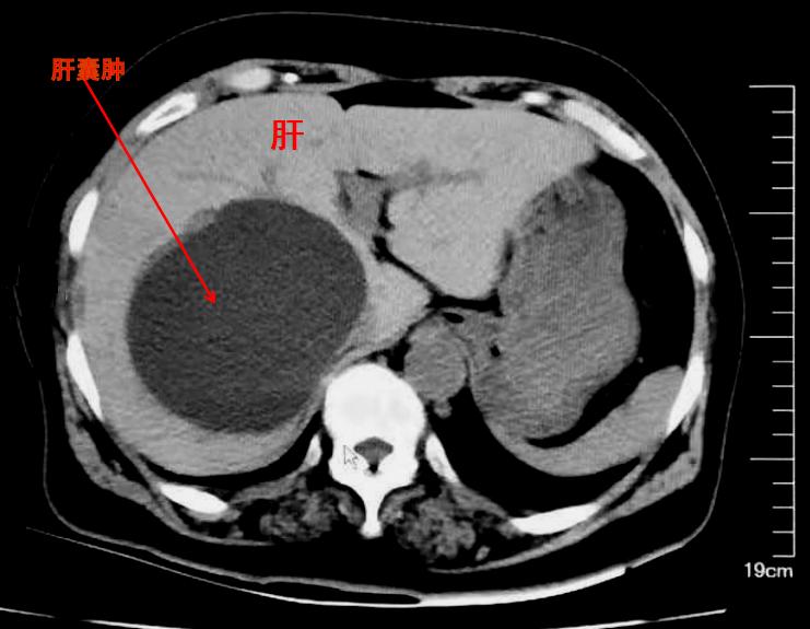
肝囊肿,并不是肿瘤
举一些实例来看:囊肿、血肿、肉芽组织增殖等,都不是肿瘤,但却通常表现为肿块,在前面的病例中,小李的腕部所摸到的腱鞘囊肿,就表现为肿块,但却并不是肿瘤(有时也被称为肿瘤样病变)。

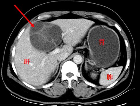
与前图相似,但却是真肿瘤(囊腺瘤)
大多数的肿瘤表现为肿块,可为实性肿块(如纤维瘤、脂肪瘤、畸胎瘤,肺癌、肝癌、肠癌等),可为囊性肿块(如卵巢囊腺瘤、囊性肾癌等),也有的表现为囊实性肿块(如神经鞘瘤、囊腺癌等)。但也有些肿瘤如白血病、淋巴瘤等,很可能就找不到肿块,而是需要通过血液检查甚至是骨髓穿刺才能诊断。
清楚了吗?
如何鉴别粗大的突起、肿块或肿瘤?
对于专业的医生来说,熟悉正常的解剖以及常见的变异应该属于基本功,许多这样的日常咨询,通过简单的体格检查,基本上就可以做出有把握的结论了。但是,也得警惕“经验主义”造成疏忽,因想当然而出现错漏。
而对于普通民众来说,当摸到一个突起的时候,既无须过于紧张,也不能随意忽视。特别是当某些突起特别粗大、伴有疼痛不适,或短期内有变化的情况,应该及时到医院去寻求专业的帮助才对,想当然地觉得没事,也许届时找不到后悔药。
那么,如何才能得到专业、权威性的结论呢?当然是进行影像学检查,将肉眼看不到的结构清晰地显示出来,诊断和鉴别才不会误入歧途。
此外,在影像引导下的病理活检,对于肿瘤性病变的鉴别也很重要。
如何优选影像学检查来鉴别诊断?
一般来说,首选X线摄片检查是基本次序,因为它对骨性病变的观察比较满意,而且整体观最佳。CT检查能提供更为清晰的骨质结构细节,诊断符合率更高,往往是作为X线摄片仍难以诊断时的后续手段。而MRI检查,最适于关节及软组织病变的观察,如果临床诊断指向这些部位,就可直接选择MRI检查,更为准确快捷。

MRI检查示大腿肿块为肌间慢性血肿
说回小李的腱鞘囊肿,它好发于腕部的背侧或掌侧、足踝部等处,多为长期、过度摩擦关节,造成肌腱、腱鞘的损伤和炎症所致,囊壁为致密的纤维组织,囊内为无色透明的胶样液体。临床表现为较硬的软组织肿块,可伴有疼痛,影响关节活动。
由于腱鞘囊肿并非来源于骨,所以在X线及CT片上往往见不到明确的影像,选择MRI检查是合适的。但为了排除骨肿瘤的诊断,首选X线摄片也没错,两者结合,诊断就更为明确了。
最后送个“彩蛋”给大家,是几句顺口溜:骨头长突起,原因不单一;影像可鉴别,无须干着急!肿瘤与肿块,不宜划等同;百度含糟粕,影像可建功。