
疟疾是严重危害人类健康的疾病之一,据世界卫生组织(WHO)统计,目前世界上仍有90多个国家为疟疾流行区,全球每年发病人数达3亿~5亿,年死亡人数达100万~200万, 其中80 %以上的病例发生在非洲 。我国疟疾防治结果明显,经过世界卫生组织现场评估,2021年6月30日通过了国家消除疟疾认证。
输入性疟疾报告病例较去年同期上升明显,尤其进入夏季,连续报告多例病例,且病情较急,形势严峻。面对疟疾,我们应该怎么办呢?下面就请大家跟着小编了解一下疟疾。

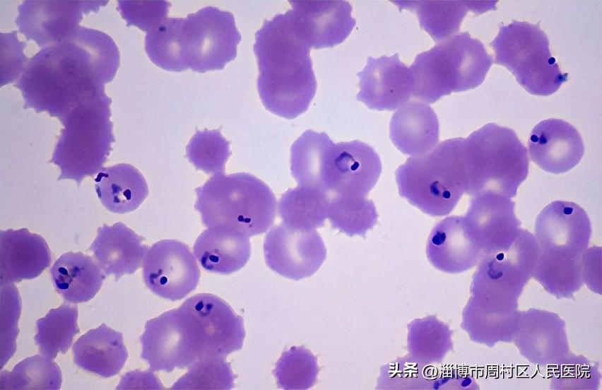
(红细胞内为疟原虫)
什么是疟疾?

疟原虫是疟疾(malaria)的病原体。寄生于人体的疟原虫有四种,即间日疟原虫、三日疟原虫、恶性疟原虫及卵形疟原虫。
疟原虫主要分为三个发育期:
①滋养体:分为早期与晚期滋养体
②裂殖体
③配子体
疟疾在人体内是如何寄生的?

寄生于人体的4种疟原虫生活史基本相同,需要人和按蚊二个宿主。在人体内先后寄生于肝细胞和红细胞内,进行裂体增殖。在红细胞内,除进行裂体增殖外,部分裂殖子形成配子体,开始有性生殖的初期发育。
疟疾的致病性如何?

疟原虫主要致病阶段为红内期裂体增殖期,可引起周期性寒热发作、贫血和脾肿大等临床症状。
1、 潜伏期: 疟原虫入侵人体到疟疾发作时间。
2、 疟疾发作: 典型表现为周期性寒战、发热、出汗三个连续阶段。
3、 贫血: 多次发作后可出现贫血。
4、 脾肿大: 急性期脾明显肿大。
疟疾应该如何预防?

我国目前的疟疾防治策略是执行“因地制宜、分类指导、突出重点”的方针,采取相对应的综合性防治措施,坚持长期作战,反复斗争。对于个人防护,我们应该注意以下几点:
1、外出时,了解当地的疟疾防治情况,注意防护。
2、 疟疾主要通过蚊虫传播 ,出行至疟疾发病率较高的地区时注意防蚊。
3、疟疾的典型发作表现为 寒战 、 高热 和 出汗退热 三个连续阶段。若外出后出现以上症状,请及时就医,并主动告知外出史。