张XX,男,37岁
【主诉】
间断咯血7年余,咳嗽伴声嘶2月
【现病史】
患者2009年冬季无明显诱因下出现咯血,量不多,无发热,无咳嗽、咳痰,无头痛晕厥,无胸痛,无腹痛黑便,无尿痛血尿。在某医院胸部CT检查考虑肺部感染可能,结核待排,未予特殊处理,咯血自行停止
2010年12月患者再次出现咯血,量少,某医院胸部CT:双肺斑片影,右上肺为著。气管镜提示“气管粘膜轻度充血,糜烂”。痰找结核菌阴性。HRZ方案抗痨治疗3月,此后2年患者未出现咯血
2013年开始再次出现间断咯血,伴爬3楼即感活动后胸闷气促,“抗炎”治疗数日咯血即可停止
2015年咯血发作频繁,某医院行CTPA:右肺上叶及中叶见多发明显强化迂曲血管影,右上叶前段及后段肺动脉、右肺中叶外侧段肺动脉远端卷曲成团,邻近见早显静脉与之相连,右侧肺内多发磨玻璃样阴影,密度均匀,边界欠清。Echo:肺动脉高压(PASP149mmHg),右心增大,右室壁厚,三尖瓣及肺动脉瓣中量反流
既往史及家族史:患者自幼经常鼻衄;患者奶奶因消化道出血去世;其父亲、哥哥、哥哥的女儿、自己的女儿均有经常鼻衄病史
【查体】
血压 100/65mmHg,神清,精神可,双手掌可见毛细血管扩张。口唇无紫绀,颈静脉无充盈。双肺呼吸音清,未闻及干湿性罗音。心率90次/分,律齐,P2亢进,三尖瓣区可及2/6级收缩期杂音。肝脾肋下未触及。双下肢无浮肿,无杵状指。

【辅助检查】
血气分析:pH7.42,二氧化碳分压32.5mmHg↓,氧分压70mmHg↓,氧饱和度94.9%↓
血常规:血红蛋白144g/L,白细胞5.59*10^9/L,中性细胞53.8%,血小板188*10^9/L
N末端脑纳素原443pg/ml↑
生化:谷丙转氨酶12IU/L,谷草转氨酶17IU/L,总胆红素17umol/L,直接胆红素6umol/L↑,总蛋白61g/L↓,白蛋白40g/L,尿酸332umol/L,尿素氮4.0mmol/L,肌酐60umol/L,葡萄糖4.0mmol/L,钾4.0mmol/L,钠142mmol/L,氯103mmol/L
6MWT: 625m

【超声心动图】
1、重度肺动脉高压
2、右心扩大
3、右心室收缩功能正常
4、左室受压,成“D”型
【胸片】

【肺通气灌注显像】
结果:双肺散在性血流灌注受阻,两肺血流灌注较通气显像差。
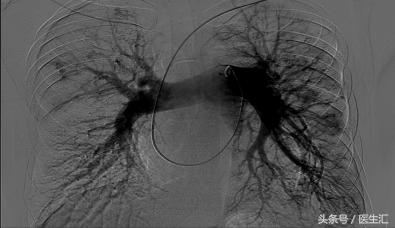
肺动脉造影+右心导管检查

造影所见:肺动脉主干及叶肺动脉明显增粗,双侧肺动脉分支未见明显扭曲,未见明显充盈缺损,可见弥漫性动静脉瘘,远端灌注良好
【右心导管检查】毛细血管前肺动脉高压,急性肺血管扩张试验阴性

【诊断】
1、遗传性出血性毛细血管扩张症
2、肺动脉高压
【治疗】
1、降低肺动脉高压治疗--波生坦62.5mg bid
2、改善心功能治疗--强心治疗--地高辛0.125mg qd
3、降低心脏符合治疗--利尿(呋塞米20mg po qod,伊迈格5mg po qod)
4、纠正内环境紊乱治疗--补钾(氯化钾缓释片1.0 tid po)
【总结】
关于HHT的治疗,无特效治疗手段,以对症治疗为主:如反复出血造成的贫血可给予铁剂或输血治疗;栓塞治疗,但60%左右会存在残留病灶;比较有前景的是基因治疗,但关键是找到代偿或修饰基因来克服Endoglin减少的负效应。