您还记得那个阳光爱笑的内蒙女孩儿梅梅吗?2020年1月,刚满10岁的梅梅 因为摔倒后昏迷在当地医院初步确诊为脑胶质瘤,因当地治疗手段有限,一家人克服重重困难赴京寻医,通过影像学和立体定向穿刺活检明确诊断为大脑胶质瘤病(GC)。梅梅就诊于北京华信医院(清华大学第一附属医院)放疗科,我院放射影像科与放疗科联合会诊后,明确了梅梅的肿瘤范围,为她制定个性化方案,实施精准放疗后,梅梅顺利出院。北京卫视“北京您早”栏目也对梅梅的治疗情况进行了报道,并引起了社会广泛关注。
时光匆匆而逝,小姑娘身体恢复的怎么样了?
视频加载中...
一年后的2021年3月,梅梅再次来到我院放疗科进行复查。“孩子长胖也长高了,比之前更加精神了!”放疗科副主任张瑞萍开心地告诉梅梅父母:“肿瘤控制得非常好,没有复发征象!”她的父母听到这句话如释负重,相信这也是每一位恶性肿瘤患者复查时最想听到的话吧!


GC是一种少见的中枢神经系统原发性肿瘤,病变弥漫(星形胶质细胞多见),可广泛浸润中枢神经系统,病变至少累及3个脑叶,尽管有些病理组织学仅表现为低级别星形胶质细胞瘤,但WHO神经肿瘤分类仍然定义为“Ⅲ级”。由于肿瘤范围广泛,边界不清,手术难以全切,目前多不主张手术切除,放化疗仍作为GC治疗的主要手段。
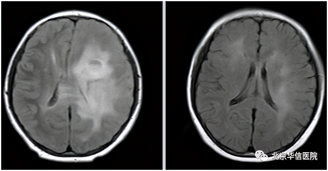
据文献资料显示,GC 患者预后极差,确诊后无进展生存期和中位总体生存期仅分别为10个月和13个月。另外,梅梅和常规的大脑胶质瘤患者病情还不太一样,她左侧额顶叶病变穿刺活检病理结果为小细胞胶质母细胞瘤(WHOⅣ级),恶性程度更高。现在距离确诊已经14个月了,局部病灶控制得非常好。此次复查还发现,梅梅左侧额顶叶高级别病变已经完全消失,这个治疗结果更加令人欣喜!

放疗前(左);放疗后(右)

放疗前(左);放疗后(右)
目前,我院放疗科积极开展儿童肿瘤的放疗,对于儿童群体,我们不能以“缩小的成人”对待,需要根据患儿病情反复斟酌、查阅文献,汲取业界前辈的经验,通过多学科会诊制定出个体化的治疗方案,在保证正常器官安全的前提下,对肿瘤实施精准“打击”,尽可能减轻对孩子生长发育的影响,造福更多的恶性肿瘤患儿!